Tel:
+49 (0)241 95 163 153
Fax:
+49 (0)241 95 163 155
E-Mail:
orders@anticorps-enligne.fr

CD34 anticorps

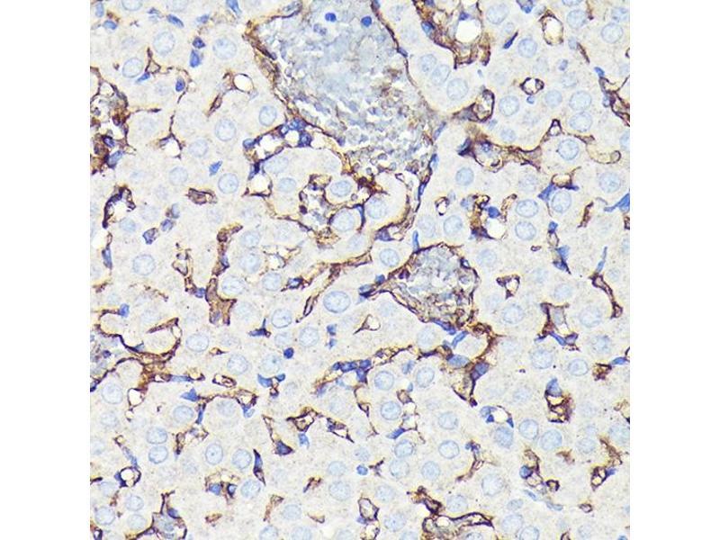
Cet anticorps Lapin Monoclonal détecte spécifiquement CD34 dans WB et IHC. Il présente une réactivité avec des échantillons de Humain.
N° du produit ABIN7266187
330,00 €
Plus frais de livraison 40,00 € et TVA
Destination: France
Envoi sous 8 à 10 jours ouvrables

Aperçu rapide pour CD34 anticorps (ABIN7266187)

Antigène

Voir toutes CD34 Anticorps
CD34

Reactivité

  • 375
  • 143
  • 141
  • 33
  • 30
  • 19
  • 19
  • 19
  • 18
  • 17
  • 10
  • 7
  • 6
  • 1
  • 1
Humain

Hôte

  • 221
  • 176
  • 29
  • 6
  • 4
  • 3
Lapin

Clonalité

  • 304
  • 131
  • 3
Monoclonal

Conjugué

  • 157
  • 35
  • 34
  • 27
  • 22
  • 8
  • 8
  • 8
  • 7
  • 7
  • 7
  • 7
  • 7
  • 6
  • 5
  • 5
  • 4
  • 4
  • 4
  • 4
  • 4
  • 4
  • 4
  • 4
  • 4
  • 4
  • 4
  • 4
  • 4
  • 3
  • 3
  • 3
  • 3
  • 3
  • 2
  • 2
  • 2
  • 2
  • 1
  • 1
  • 1
  • 1
  • 1
  • 1
  • 1
  • 1
  • 1
  • 1
  • 1
  • 1
  • 1
Cet anticorp CD34 est non-conjugé

Application

  • 290
  • 217
  • 109
  • 106
  • 59
  • 54
  • 47
  • 39
  • 37
  • 30
  • 28
  • 25
  • 21
  • 13
  • 7
  • 7
  • 6
  • 4
  • 4
  • 4
  • 4
  • 3
  • 3
  • 2
  • 2
  • 1
  • 1
  • 1
  • 1
  • 1
  • 1
  • 1
Western Blotting (WB), Immunohistochemistry (IHC)
  • Fonction

    CD34 Rabbit mAb

     Réactivité croisée

    Humain, Souris, Rat

    Attributs du produit

    Monoclonal Antibodies

    Purification

    Affinity purification

    Immunogène

    A synthesized peptide derived from human CD34

    Isotype

    IgG
  • Indications d'application

    WB,1:500 - 1:2000,IHC,1:50 - 1:200

    Restrictions

    For Research Use only
  • Format

    Liquid

    Buffer

    PBS with 0.02 % sodium azide,0.05 % BSA,50 % glycerol, pH 7.3.

    Agent conservateur

    Sodium azide

    Précaution d'utilisation

    This product contains Sodium azide: a POISONOUS AND HAZARDOUS SUBSTANCE which should be handled by trained staff only.

    Stock

    -20 °C

    Stockage commentaire

    Store at -20°C. Avoid freeze / thaw cycles.
  • Antigène

    CD34

    Autre désignation

    CD34

    Sujet

    The protein encoded by this gene may play a role in the attachment of stem cells to the bone marrow extracellular matrix or to stromal cells. This single-pass membrane protein is highly glycosylated and phosphorylated by protein kinase C. Two transcript variants encoding different isoforms have been found for this gene. [provided by RefSeq, Aug 2011],CD34,CD34 Molecule,GIG3,MORT1,Cancer,Cardiovascular,CDs,Cell Biology & Developmental Biology,Cell Type Marker,Cell Type Marker_Neuron marker,Endothelial Progenitors,Heart,Heart_Cardiogenesis,Hematopoietic Progenitors,Immunology & Inflammation,Mesenchymal Stem Cells,Neuroscience,Stem Cells,Tumor biomarkers,CD34

    Poids moléculaire

    120kDa

    ID gène

    947

    UniProt

    P28906
Vous êtes ici:
Chat with us!