Tel:
+49 (0)241 95 163 153
Fax:
+49 (0)241 95 163 155
E-Mail:
orders@anticorps-enligne.fr

CBS anticorps

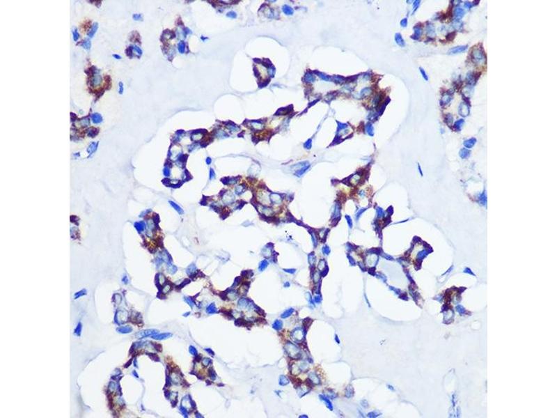
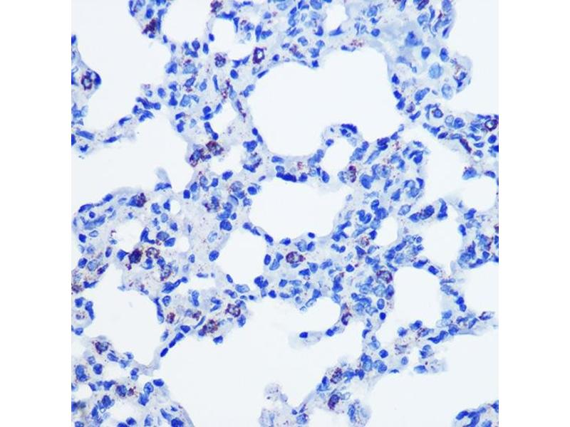
Cet anticorps anti-CBS Monoclonal Lapin (ABIN7266615) détecte spécifiquement CBS dans WB, IHC et IF. L’anticorps est réactif avec des échantillons de Humain.
N° du produit ABIN7266615
330,00 €
Plus frais de livraison 40,00 € et TVA
Destination: France
Envoi sous 8 à 10 jours ouvrables

Aperçu rapide pour CBS anticorps (ABIN7266615)

Antigène

Voir toutes CBS Anticorps
CBS (Cystathionine-beta-Synthase (CBS))

Reactivité

  • 70
  • 47
  • 15
  • 4
  • 2
  • 2
  • 2
  • 2
  • 2
  • 1
  • 1
  • 1
  • 1
Humain

Hôte

  • 82
  • 11
Lapin

Clonalité

  • 66
  • 27
Monoclonal

Conjugué

  • 49
  • 7
  • 6
  • 4
  • 2
  • 2
  • 2
  • 2
  • 2
  • 2
  • 1
  • 1
  • 1
  • 1
  • 1
  • 1
  • 1
  • 1
  • 1
  • 1
  • 1
  • 1
  • 1
  • 1
  • 1
Cet anticorp CBS est non-conjugé

Application

  • 74
  • 33
  • 32
  • 26
  • 16
  • 14
  • 13
  • 13
  • 9
  • 9
  • 5
  • 3
  • 2
  • 1
  • 1
Western Blotting (WB), Immunohistochemistry (IHC), Immunofluorescence (IF)
  • Fonction

    CBS Rabbit mAb

     Réactivité croisée

    Humain, Souris, Rat

    Attributs du produit

    Monoclonal Antibodies

    Purification

    Affinity purification

    Immunogène

    A synthesized peptide derived from human CBS

    Isotype

    IgG
  • Indications d'application

    WB,1:500 - 1:2000,IHC,1:50 - 1:200,IF,1:50 - 1:200

    Restrictions

    For Research Use only
  • Format

    Liquid

    Buffer

    PBS with 0.02 % sodium azide,0.05 % BSA,50 % glycerol, pH 7.3.

    Agent conservateur

    Sodium azide

    Précaution d'utilisation

    This product contains Sodium azide: a POISONOUS AND HAZARDOUS SUBSTANCE which should be handled by trained staff only.

    Stock

    -20 °C

    Stockage commentaire

    Store at -20°C. Avoid freeze / thaw cycles.
  • Antigène

    CBS (Cystathionine-beta-Synthase (CBS))

    Autre désignation

    CBS

    Sujet

    The protein encoded by this gene acts as a homotetramer to catalyze the conversion of homocysteine to cystathionine, the first step in the transsulfuration pathway. The encoded protein is allosterically activated by adenosyl-methionine and uses pyridoxal phosphate as a cofactor. Defects in this gene can cause cystathionine beta-synthase deficiency (CBSD), which can lead to homocystinuria. This gene is a major contributor to cellular hydrogen sulfide production. Multiple alternatively spliced transcript variants have been found for this gene. [provided by RefSeq, Feb 2016],HIP4,Amino acid metabolism,Cancer,Endocrine & Metabolism,Signal Transduction,CBS

    Poids moléculaire

    61kDa

    ID gène

    875

    UniProt

    P35520
Vous êtes ici:
Chat with us!