GTF2F2 anticorps
Aperçu rapide pour GTF2F2 anticorps (ABIN7267373)
Antigène
Voir toutes GTF2F2 AnticorpsReactivité
Hôte
Clonalité
Conjugué
Application
-
-
Fonction
- GTF2F2 Rabbit mAb
-
Réactivité croisée
- Humain, Souris, Rat
-
Attributs du produit
- Monoclonal Antibodies
-
Purification
- Affinity purification
-
Immunogène
- A synthesized peptide derived from human GTF2F2.
-
Isotype
- IgG
-
-
-
-
Indications d'application
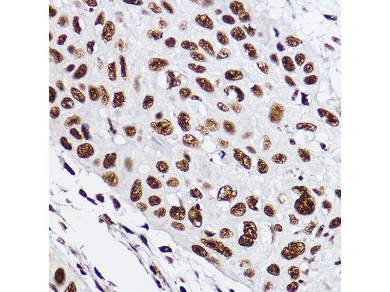
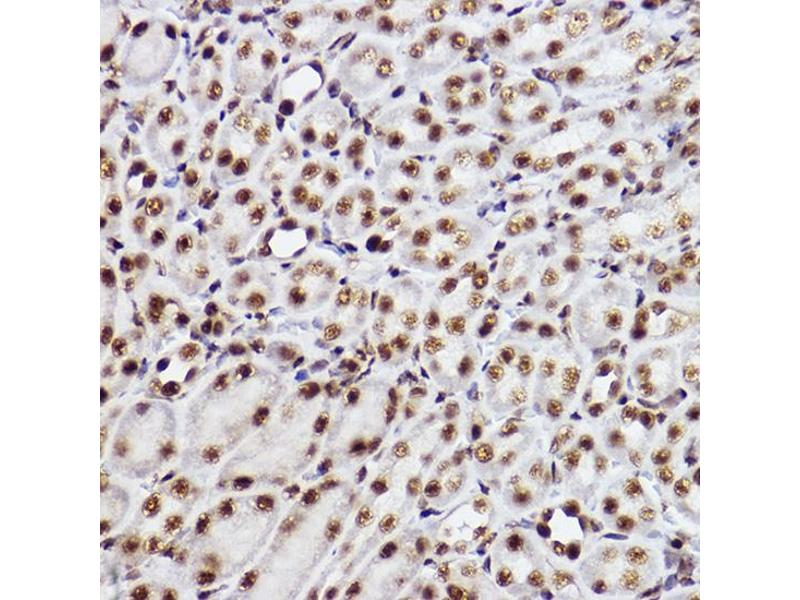
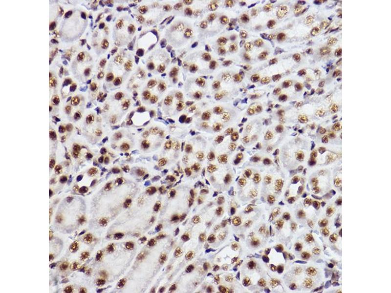
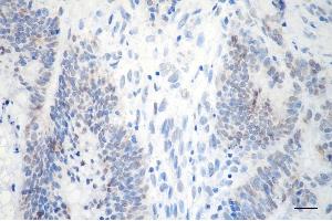
- WB,1:500 - 1:2000,IHC,1:50 - 1:200
-
Restrictions
- For Research Use only
-
-
-
Format
- Liquid
-
Buffer
- PBS with 0.02 % sodium azide,0.05 % BSA,50 % glycerol, pH 7.3.
-
Agent conservateur
- Sodium azide
-
Précaution d'utilisation
- This product contains Sodium azide: a POISONOUS AND HAZARDOUS SUBSTANCE which should be handled by trained staff only.
-
Stock
- -20 °C
-
Stockage commentaire
- Store at -20°C. Avoid freeze / thaw cycles.
-
-
- GTF2F2 (General Transcription Factor IIF, Polypeptide 2, 30kDa (GTF2F2))
-
Autre désignation
- GTF2F2
-
Sujet
- TFIIF is a general transcription initiation factor that binds to RNA polymerase II and helps to recruit it to the initiation complex in collaboration with TFIIB. It promotes transcription elongation. This subunit shows ATP-dependent DNA-helicase activity.,GTF2F2, BTF4, RAP30, TF2F2, TFIIF, general transcription factor IIF subunit 2,Epigenetics & Nuclear Signaling,GTF2F2
-
Poids moléculaire
- 30kDa
-
ID gène
- 2963
-
UniProt
- P13984
-
Pathways
- SARS-CoV-2 Protein Interactome
Antigène
-