Tel:
+49 (0)241 95 163 153
Fax:
+49 (0)241 95 163 155
E-Mail:
orders@anticorps-enligne.fr

Histone 3 anticorps (H3K18me)

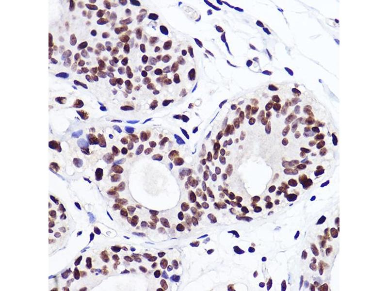
Cet anticorps anti-Histone 3 Monoclonal Lapin (ABIN7267683) détecte spécifiquement Histone 3 dans WB, IHC, IF et ChIP. L’anticorps est réactif avec des échantillons de Humain.
N° du produit ABIN7267683
330,00 €
Plus frais de livraison 40,00 € et TVA
Destination: France
Envoi sous 8 à 10 jours ouvrables

Aperçu rapide pour Histone 3 anticorps (H3K18me) (ABIN7267683)

Antigène

Voir toutes Histone 3 (H3) Anticorps
Histone 3 (H3) (Histone H3 (H3))

Reactivité

  • 1733
  • 1170
  • 1040
  • 48
  • 40
  • 37
  • 35
  • 33
  • 25
  • 23
  • 21
  • 20
  • 11
  • 7
  • 6
  • 6
  • 5
  • 4
  • 4
  • 4
  • 3
  • 3
  • 2
  • 2
  • 2
  • 2
  • 2
  • 1
  • 1
  • 1
  • 1
  • 1
  • 1
  • 1
  • 1
  • 1
  • 1
  • 1
  • 1
  • 1
  • 1
  • 1
  • 1
  • 1
  • 1
  • 1
  • 1
  • 1
  • 1
  • 1
Humain

Hôte

  • 1503
  • 258
  • 12
  • 5
  • 1
Lapin

Clonalité

  • 1145
  • 633
  • 1
Monoclonal

Conjugué

  • 949
  • 103
  • 70
  • 69
  • 67
  • 67
  • 67
  • 67
  • 29
  • 28
  • 24
  • 24
  • 18
  • 18
  • 18
  • 17
  • 17
  • 17
  • 17
  • 17
  • 17
  • 17
  • 17
  • 17
  • 7
  • 1
Cet anticorp Histone 3 est non-conjugé

Application

  • 1380
  • 600
  • 502
  • 413
  • 335
  • 307
  • 207
  • 205
  • 204
  • 188
  • 177
  • 125
  • 114
  • 48
  • 48
  • 37
  • 26
  • 25
  • 19
  • 15
  • 14
  • 7
  • 7
  • 7
  • 4
  • 3
  • 2
  • 1
  • 1
  • 1
  • 1
  • 1
  • 1
  • 1
Western Blotting (WB), Immunohistochemistry (IHC), Immunofluorescence (IF), Chromatin Immunoprecipitation (ChIP)
  • Épitope

    • 75
    • 51
    • 50
    • 49
    • 46
    • 46
    • 46
    • 45
    • 43
    • 43
    • 38
    • 36
    • 33
    • 32
    • 32
    • 29
    • 29
    • 29
    • 28
    • 25
    • 25
    • 25
    • 25
    • 24
    • 24
    • 23
    • 22
    • 22
    • 19
    • 18
    • 18
    • 18
    • 16
    • 15
    • 15
    • 14
    • 14
    • 14
    • 14
    • 12
    • 11
    • 11
    • 11
    • 11
    • 11
    • 11
    • 11
    • 10
    • 10
    • 10
    H3K18me

    Fonction

    MonoMethyl-Histone H3-K18 Rabbit mAb

     Réactivité croisée

    Humain, Souris, Rat

    Attributs du produit

    Methylated Antibodies

    Purification

    Affinity purification

    Immunogène

    A synthetic methylated peptide corresponding to residues surrounding K18 of human histone H3

    Isotype

    IgG
  • Indications d'application

    WB,1:500 - 1:2000,IHC,1:50 - 1:200,IF,1:50 - 1:200,ChIP,1:50 - 1:200

    Restrictions

    For Research Use only
  • Format

    Liquid

    Buffer

    PBS with 0.02 % sodium azide,0.05 % BSA,50 % glycerol, pH 7.3.

    Agent conservateur

    Sodium azide

    Précaution d'utilisation

    This product contains Sodium azide: a POISONOUS AND HAZARDOUS SUBSTANCE which should be handled by trained staff only.

    Stock

    -20 °C

    Stockage commentaire

    Store at -20°C. Avoid freeze / thaw cycles.
  • Antigène

    Histone 3 (H3) (Histone H3 (H3))

    Autre désignation

    Histone H3

    Sujet

    Histones are basic nuclear proteins that are responsible for the nucleosome structure of the chromosomal fiber in eukaryotes. Nucleosomes consist of approximately 146 bp of DNA wrapped around a histone octamer composed of pairs of each of the four core histones (H2A, H2B, H3, and H4). The chromatin fiber is further compacted through the interaction of a linker histone, H1, with the DNA between the nucleosomes to form higher order chromatin structures. This gene is intronless and encodes a replication-dependent histone that is a member of the histone H3 family. Transcripts from this gene lack polyA tails, instead, they contain a palindromic termination element. This gene is located separately from the other H3 genes that are in the histone gene cluster on chromosome 6p22-p21.3.,H3.4,H3/g,H3FT,H3t,HIST3H3,Histone H3,HIST1H3A,Signal Transduction,MAPK-Erk Signaling Pathway,MAPK-P38 Signaling Pathway,Epigenetics & Nuclear Signaling,Epigenetic Modifications,Methylation,Histone H3

    Poids moléculaire

    15kDa

    ID gène

    8290

    UniProt

    Q16695
Vous êtes ici:
Chat with us!