ITFG1 anticorps (AA 313-612)
Aperçu rapide pour ITFG1 anticorps (AA 313-612) (ABIN7267919)
Antigène
Voir toutes ITFG1 AnticorpsReactivité
Hôte
Clonalité
Conjugué
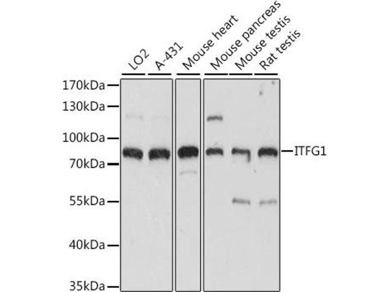
Application
-
-
Épitope
- AA 313-612
-
Fonction
- ITFG1 Rabbit pAb
-
Séquence
- LWGFVPFVDE QQPTEIPIPI TLHIGDYNMD GYPDALVILK NTSGSNQQAF LLENVPCNNA SCEEARRMFK VYWELTDLNQ IKDAMVATFF DIYEDGILDI VVLSKGYTKN DFAIHTLKNN FEADAYFVKV IVLSGLCSND CPRKITPFGV NQPGPYIMYT TVDANGYLKN GSAGQLSQSA HLALQLPYNV LGLGRSANFL DHLYVGIPRP SGEKSIRKQE WTAIIPNSQL IVIPYPHNVP RSWSAKLYLT PSNIVLLTAI ALIGVCVFIL AIIGILHWQE KKADDREKRQ EAHRFHFDAM
-
Réactivité croisée
- Humain, Souris, Rat
-
Attributs du produit
- Polyclonal Antibodies
-
Purification
- Affinity purification
-
Immunogène
- Recombinant fusion protein containing a sequence corresponding to amino acids 313-612 of human ITFG1 (NP_110417.2).
-
Isotype
- IgG
-
-
-
-
Indications d'application
- WB,1:500 - 1:2000
-
Restrictions
- For Research Use only
-
-
-
Format
- Liquid
-
Buffer
- PBS with 0.02 % sodium azide,50 % glycerol, pH 7.3.
-
Agent conservateur
- Sodium azide
-
Précaution d'utilisation
- This product contains Sodium azide: a POISONOUS AND HAZARDOUS SUBSTANCE which should be handled by trained staff only.
-
Stock
- -20 °C
-
Stockage commentaire
- Store at -20°C. Avoid freeze / thaw cycles.
-
-
- ITFG1 (Integrin alpha FG-GAP Repeat Containing 1 (ITFG1))
-
Autre désignation
- ITFG1
-
Sujet
- Modulator of T-cell function. Has a protective effect in graft versus host disease model (By similarity.,ITFG1,2310047C21Rik,CDA08,LNKN-1,TIP,Immunology & Inflammation,ITFG1
-
Poids moléculaire
- 68kDa
-
ID gène
- 81533
-
UniProt
- Q8TB96
Antigène
-