Tel:
+49 (0)241 95 163 153
Fax:
+49 (0)241 95 163 155
E-Mail:
orders@anticorps-enligne.fr

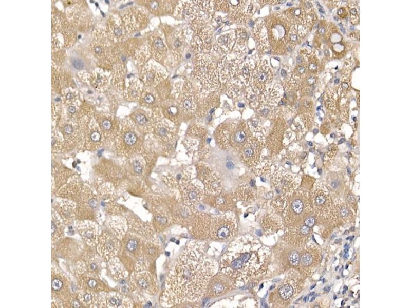
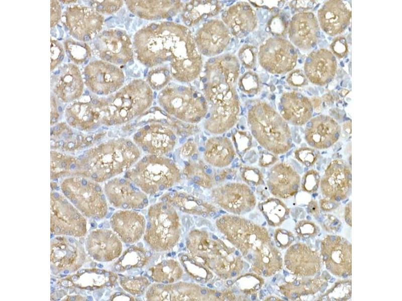
IL11RA anticorps

Cet anticorps Lapin Monoclonal détecte spécifiquement IL11RA dans WB, IHC et IF. Il présente une réactivité avec des échantillons de Humain.
N° du produit ABIN7267984
330,00 €
Plus frais de livraison 40,00 € et TVA
Destination: France
Envoi sous 8 à 10 jours ouvrables

Aperçu rapide pour IL11RA anticorps (ABIN7267984)

Antigène

Voir toutes IL11RA Anticorps
IL11RA (Interleukin 11 Receptor, alpha (IL11RA))

Reactivité

  • 57
  • 23
  • 11
  • 3
  • 3
  • 3
  • 3
  • 2
  • 1
  • 1
  • 1
Humain

Hôte

  • 55
  • 5
  • 4
Lapin

Clonalité

  • 33
  • 28
  • 2
Monoclonal

Conjugué

  • 34
  • 6
  • 3
  • 3
  • 3
  • 3
  • 3
  • 3
  • 2
  • 2
  • 1
Cet anticorp IL11RA est non-conjugé

Application

  • 49
  • 31
  • 15
  • 14
  • 14
  • 11
  • 3
  • 3
  • 1
  • 1
  • 1
  • 1
  • 1
Western Blotting (WB), Immunohistochemistry (IHC), Immunofluorescence (IF)
  • Fonction

    IL11RA Rabbit mAb

     Réactivité croisée

    Humain, Souris, Rat

    Attributs du produit

    Monoclonal Antibodies

    Purification

    Affinity purification

    Immunogène

    A synthesized peptide derived from human IL11RA.

    Isotype

    IgG
  • Indications d'application

    WB,1:500 - 1:2000,IHC,1:50 - 1:200,IF,1:50 - 1:200

    Restrictions

    For Research Use only
  • Format

    Liquid

    Buffer

    PBS with 0.02 % sodium azide,50 % glycerol, pH 7.3.

    Agent conservateur

    Sodium azide

    Précaution d'utilisation

    This product contains Sodium azide: a POISONOUS AND HAZARDOUS SUBSTANCE which should be handled by trained staff only.

    Stock

    -20 °C

    Stockage commentaire

    Store at -20°C. Avoid freeze / thaw cycles.
  • Antigène

    IL11RA (Interleukin 11 Receptor, alpha (IL11RA))

    Autre désignation

    IL11RA

    Sujet

    Interleukin 11 is a stromal cell-derived cytokine that belongs to a family of pleiotropic and redundant cytokines that use the gp130 transducing subunit in their high affinity receptors. This gene encodes the IL-11 receptor, which is a member of the hematopoietic cytokine receptor family. This particular receptor is very similar to ciliary neurotrophic factor, since both contain an extracellular region with a 2-domain structure composed of an immunoglobulin-like domain and a cytokine receptor-like domain. Multiple alternatively spliced transcript variants have been found for this gene.,IL11RA, CRSDA, interleukin-11 receptor subunit alpha,Cancer,Tumor biomarkers,Immunology & Inflammation,Cytokines,Interleukins,Cell Intrinsic Innate Immunity Signaling Pathway,Stem Cells,Hematopoietic Progenitors,IL11RA

    Poids moléculaire

    45kDa

    ID gène

    3590

    UniProt

    Q14626

    Pathways

    Signalistation JAK/STAT, Growth Factor Binding
Vous êtes ici:
Chat with us!