Tel:
+49 (0)241 95 163 153
Fax:
+49 (0)241 95 163 155
E-Mail:
orders@anticorps-enligne.fr

KIF22 anticorps (AA 456-665)

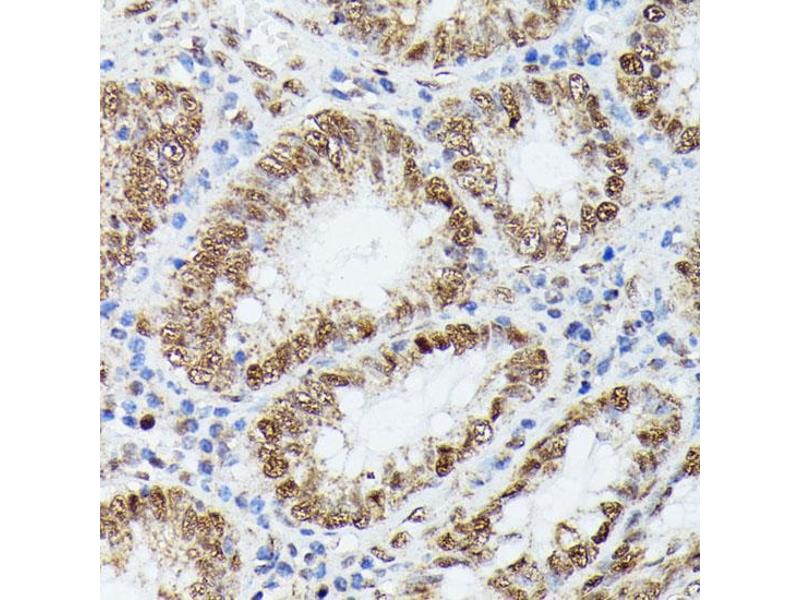
L’anticorps anti-KIF22 Polyclonal Lapin est utilisé pour la détection de KIF22 dans des échantillons de Humain. Il a été validé pour WB, IHC et IF.
N° du produit ABIN7268129
320,00 €
Plus frais de livraison 40,00 € et TVA
Destination: France
Envoi sous 8 à 10 jours ouvrables

Aperçu rapide pour KIF22 anticorps (AA 456-665) (ABIN7268129)

Antigène

Voir toutes KIF22 Anticorps
KIF22 (Kinesin Family Member 22 (KIF22))

Reactivité

  • 46
  • 8
  • 6
  • 6
  • 6
  • 5
  • 5
  • 3
  • 2
  • 1
  • 1
  • 1
Humain

Hôte

  • 33
  • 13
Lapin

Clonalité

  • 33
  • 13
Polyclonal

Conjugué

  • 29
  • 2
  • 2
  • 2
  • 2
  • 2
  • 2
  • 2
  • 2
  • 1
Cet anticorp KIF22 est non-conjugé

Application

  • 24
  • 10
  • 9
  • 6
  • 3
  • 2
  • 2
  • 2
  • 1
Western Blotting (WB), Immunohistochemistry (IHC), Immunofluorescence (IF)
  • Épitope

    • 5
    • 4
    • 3
    • 2
    • 2
    • 1
    • 1
    • 1
    • 1
    • 1
    • 1
    • 1
    AA 456-665

    Fonction

    KIF22 Rabbit pAb

    Séquence

    QGAPLLSTPK RERMVLMKTV EEKDLEIERL KTKQKELEAK MLAQKAEEKE NHCPTMLRPL SHRTVTGAKP LKKAVVMPLQ LIQEQAASPN AEIHILKNKG RKRKLESLDA LEPEEKAEDC WELQISPELL AHGRQKILDL LNEGSARDLR SLQRIGPKKA QLIVGWRELH GPFSQVEDLE RVEGITGKQM ESFLKANILG LAAGQRCGAS

     Réactivité croisée

    Humain, Souris

    Attributs du produit

    Polyclonal Antibodies

    Purification

    Affinity purification

    Immunogène

    Recombinant fusion protein containing a sequence corresponding to amino acids 456-665 of human KIF22 (NP_015556.1).

    Isotype

    IgG
  • Indications d'application

    WB,1:200 - 1:2000,IHC,1:50 - 1:200,IF,1:50 - 1:200

    Restrictions

    For Research Use only
  • Format

    Liquid

    Buffer

    PBS with 0.02 % sodium azide,50 % glycerol, pH 7.3.

    Agent conservateur

    Sodium azide

    Précaution d'utilisation

    This product contains Sodium azide: a POISONOUS AND HAZARDOUS SUBSTANCE which should be handled by trained staff only.

    Stock

    -20 °C

    Stockage commentaire

    Store at -20°C. Avoid freeze / thaw cycles.
  • Antigène

    KIF22 (Kinesin Family Member 22 (KIF22))

    Autre désignation

    KIF22

    Sujet

    The protein encoded by this gene is a member of the kinesin-like protein family. The family members are microtubule-dependent molecular motors that transport organelles within cells and move chromosomes during cell division. The C-terminal half of this protein has been shown to bind DNA. Studies with the Xenopus homolog suggests its essential role in metaphase chromosome alignment and maintenance. Alternatively spliced transcript variants encoding different isoforms have been found for this gene.,KIF22,A-328A3.2,KID,KNSL4,OBP,OBP-1,OBP-2,SEMDJL2,Signal Transduction,Cell Biology & Developmental Biology,Cytoskeleton,Motor Proteins,KIF22

    Poids moléculaire

    66kDa/73kDa

    ID gène

    3835

    UniProt

    Q14807
Vous êtes ici:
Chat with us!