Tel:
+49 (0)241 95 163 153
Fax:
+49 (0)241 95 163 155
E-Mail:
orders@anticorps-enligne.fr

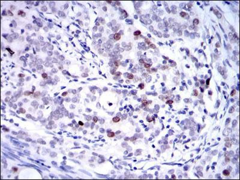
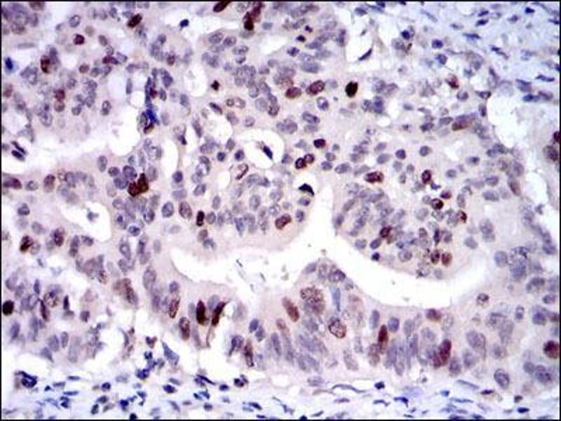
KIF22 anticorps

Cet anticorps Souris Monoclonal détecte spécifiquement KIF22 dans WB, ELISA et IHC. Il présente une réactivité avec des échantillons de Humain.
N° du produit ABIN969235
657,84 €
Plus frais de livraison 40,00 € et TVA
100 μL
Destination: France
Envoi sous 7 à 10 jours ouvrables

Aperçu rapide pour KIF22 anticorps (ABIN969235)

Antigène

Voir toutes KIF22 Anticorps
KIF22 (Kinesin Family Member 22 (KIF22))

Reactivité

  • 46
  • 8
  • 6
  • 6
  • 6
  • 5
  • 5
  • 3
  • 2
  • 1
  • 1
  • 1
Humain

Hôte

  • 34
  • 12
Souris

Clonalité

  • 34
  • 12
Monoclonal

Conjugué

  • 29
  • 2
  • 2
  • 2
  • 2
  • 2
  • 2
  • 2
  • 2
  • 1
Cet anticorp KIF22 est non-conjugé

Application

  • 24
  • 9
  • 9
  • 7
  • 3
  • 2
  • 2
  • 2
  • 1
Western Blotting (WB), ELISA, Immunohistochemistry (IHC)

Clone

5F3
  • Fonction

    KID Antibody

    Purification

    Ascitic fluid

    Immunogène

    Purified recombinant fragment of human KID expressed in E. Coli.

    Isotype

    IgG1
  • Indications d'application

    ELISA: 1/10000

    Restrictions

    For Research Use only
  • Format

    Liquid

    Buffer

    Ascitic fluid containing 0.03 % sodium azide.

    Agent conservateur

    Sodium azide

    Précaution d'utilisation

    This product contains Sodium azide: a POISONOUS AND HAZARDOUS SUBSTANCE which should be handled by trained staff only.

    Stock

    4 °C,-20 °C

    Stockage commentaire

    Store at 4°C short term. Aliquot and store at -20°C long term. Avoid freeze/thaw cycles.
  • Antigène

    KIF22 (Kinesin Family Member 22 (KIF22))

    Autre désignation

    KID

    Sujet

    The protein encoded by this gene is a member of kinesin-like protein family. This family of proteins are microtubule-dependent molecular motors that transport organelles within cells and move chromosomes during cell division. The C-terminal half of this protein has been shown to bind DNA. Studies with the Xenopus homolog suggests its essential role in metaphase chromosome alignment and maintenance.

    Poids moléculaire

    73 kDa

    ID gène

    3835

    UniProt

    Q14807
Vous êtes ici:
Chat with us!