MCM2 anticorps
Aperçu rapide pour MCM2 anticorps (ABIN7268538)
Antigène
Voir toutes MCM2 AnticorpsReactivité
Hôte
Clonalité
Conjugué
Application
-
-
Fonction
- MCM2 Rabbit mAb
-
Réactivité croisée
- Humain, Souris, Rat
-
Attributs du produit
- Monoclonal Antibodies
-
Purification
- Affinity purification
-
Immunogène
- Recombinant protein of human MCM2.
-
Isotype
- IgG
-
-
-
-
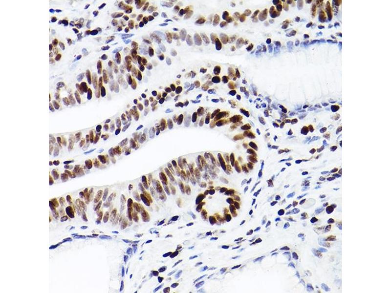
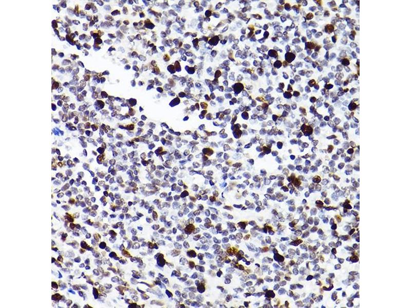
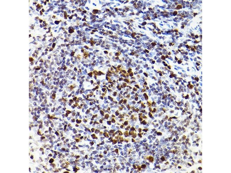
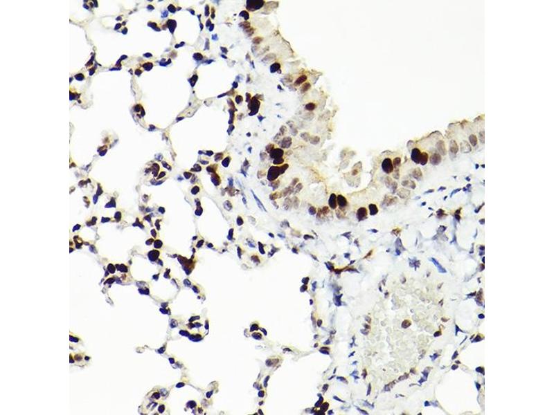
Indications d'application
- WB,1:500 - 1:2000,IHC,1:100 - 1:200,IF,1:50 - 1:200
-
Restrictions
- For Research Use only
-
-
-
Format
- Liquid
-
Buffer
- PBS with 0.02 % sodium azide,0.05 % BSA,50 % glycerol, pH 7.3.
-
Agent conservateur
- Sodium azide
-
Précaution d'utilisation
- This product contains Sodium azide: a POISONOUS AND HAZARDOUS SUBSTANCE which should be handled by trained staff only.
-
Stock
- -20 °C
-
Stockage commentaire
- Store at -20°C. Avoid freeze / thaw cycles.
-
-
- MCM2 (Minichromosome Maintenance Complex Component 2 (MCM2))
-
Autre désignation
- MCM2
-
Sujet
- The protein encoded by this gene is one of the highly conserved mini-chromosome maintenance proteins (MCM) that are involved in the initiation of eukaryotic genome replication. The hexameric protein complex formed by MCM proteins is a key component of the pre-replication complex (pre_RC) and may be involved in the formation of replication forks and in the recruitment of other DNA replication related proteins. This protein forms a complex with MCM4, 6, and 7, and has been shown to regulate the helicase activity of the complex. This protein is phosphorylated, and thus regulated by, protein kinases CDC2 and CDC7. Multiple alternatively spliced transcript variants have been found, but the full-length nature of some variants has not been defined.,MCM2,BM28,CCNL1,CDCL1,D3S3194,DFNA70,MITOTIN,cdc19,Epigenetics & Nuclear Signaling,Cell Biology & Developmental Biology,Cell Cycle,Centrosome,Stem Cells,MCM2
-
Poids moléculaire
- 101kDa
-
ID gène
- 4171
-
UniProt
- P49736
-
Pathways
- Réparation de l'ADN, Mitotic G1-G1/S Phases, DNA Replication, Chromatin Binding, Synthesis of DNA
Antigène
-