MCM5 anticorps
Aperçu rapide pour MCM5 anticorps (ABIN7268543)
Antigène
Voir toutes MCM5 AnticorpsReactivité
Hôte
Clonalité
Conjugué
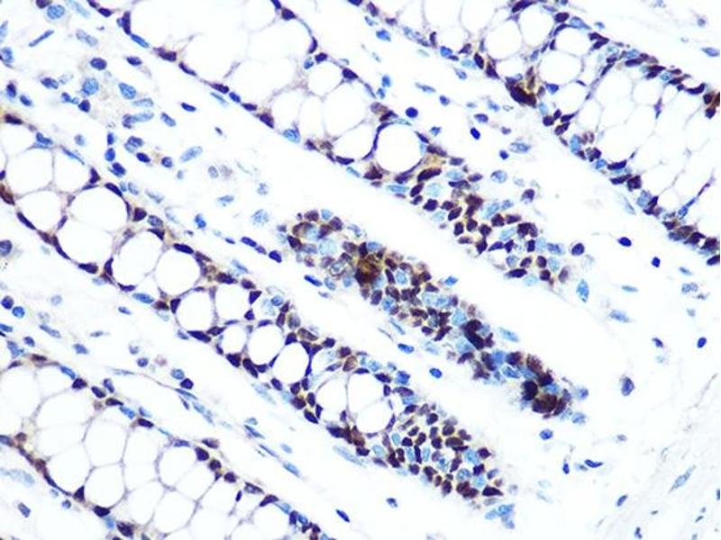
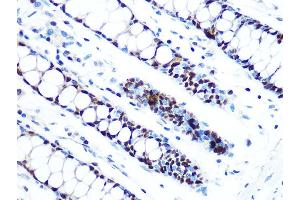
Application
-
-
Fonction
- MCM5 Rabbit mAb
-
Réactivité croisée
- Humain, Souris, Rat
-
Attributs du produit
- Monoclonal Antibodies
-
Purification
- Affinity purification
-
Immunogène
- A synthesized peptide derived from human MCM5
-
Isotype
- IgG
-
-
-
-
Indications d'application
- WB,1:500 - 1:2000,IHC,1:50 - 1:200,IP,1:50 - 1:200
-
Restrictions
- For Research Use only
-
-
-
Format
- Liquid
-
Buffer
- PBS with 0.02 % sodium azide,0.05 % BSA,50 % glycerol, pH 7.3.
-
Agent conservateur
- Sodium azide
-
Précaution d'utilisation
- This product contains Sodium azide: a POISONOUS AND HAZARDOUS SUBSTANCE which should be handled by trained staff only.
-
Stock
- -20 °C
-
Stockage commentaire
- Store at -20°C. Avoid freeze / thaw cycles.
-
-
- MCM5 (Minichromosome Maintenance Complex Component 5 (MCM5))
-
Autre désignation
- MCM5
-
Sujet
- The protein encoded by this gene is structurally very similar to the CDC46 protein from S. cerevisiae, a protein involved in the initiation of DNA replication. The encoded protein is a member of the MCM family of chromatin-binding proteins and can interact with at least two other members of this family. The encoded protein is upregulated in the transition from the G0 to G1/S phase of the cell cycle and may actively participate in cell cycle regulation. [provided by RefSeq, Jul 2008],CDC46, P1-CDC46,Cell Biology & Developmental Biology,Cell Cycle,Cell Cycle_Centrosome,Epigenetics & Nuclear Signaling,MCM5
-
Poids moléculaire
- 82kDa
-
ID gène
- 4174
-
UniProt
- P33992
-
Pathways
- Réparation de l'ADN, Mitotic G1-G1/S Phases, DNA Replication, Chromatin Binding, Synthesis of DNA
Antigène
-