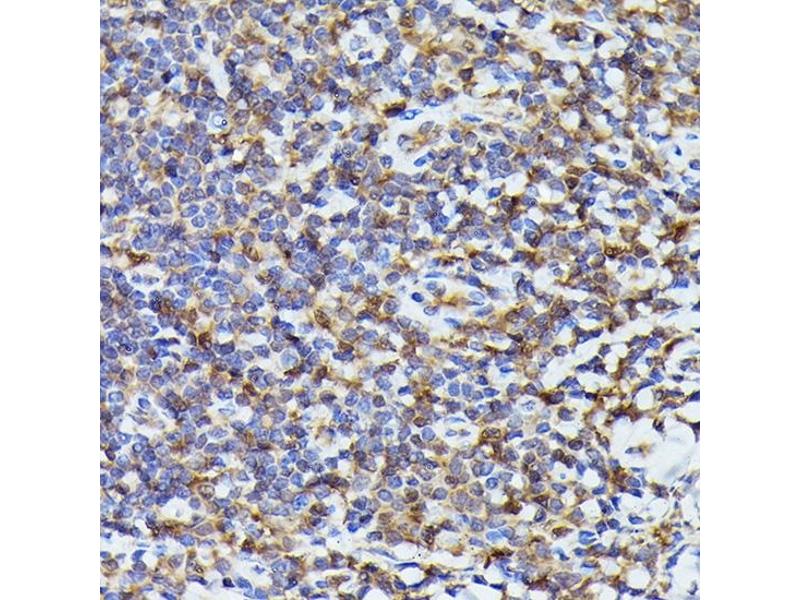
Cet anticorps anti-PYCARD Polyclonal Lapin (ABIN7269756) détecte spécifiquement PYCARD dans WB, IHC, IF et IP.
L’anticorps est réactif avec des échantillons de Humain.
PBS with 0.02 % sodium azide,50 % glycerol, pH 7.3.
Agent conservateur
Sodium azide
Précaution d'utilisation
This product contains Sodium azide: a POISONOUS AND HAZARDOUS SUBSTANCE which should be handled by trained staff only.
Stock
-20 °C
Stockage commentaire
Store at -20°C. Avoid freeze / thaw cycles.
Antigène
PYCARD
(PYD and CARD Domain Containing (PYCARD))
Autre désignation
PYCARD
Sujet
This gene encodes an adaptor protein that is composed of two protein-protein interaction domains: a N-terminal PYRIN-PAAD-DAPIN domain (PYD) and a C-terminal caspase-recruitment domain (CARD). The PYD and CARD domains are members of the six-helix bundle death domain-fold superfamily that mediates assembly of large signaling complexes in the inflammatory and apoptotic signaling pathways via the activation of caspase. In normal cells, this protein is localized to the cytoplasm, however, in cells undergoing apoptosis, it forms ball-like aggregates near the nuclear periphery. Two transcript variants encoding different isoforms have been found for this gene.,PYCARD,ASC,CARD5,TMS,TMS-1,TMS1,PYD and CARD domain containing,ASC / TMS1,Cancer,Tumor biomarkers,Cell Biology & Developmental Biology,Apoptosis,Caspases,PYCARD