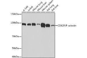
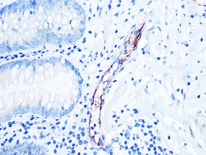
L’anticorps anti-P-Selectin Monoclonal Lapin est utilisé pour la détection de P-Selectin dans des échantillons de Humain. Il a été validé pour WB, IHC et IP.
This product contains Sodium azide: a POISONOUS AND HAZARDOUS SUBSTANCE which should be handled by trained staff only.
Stock
-20 °C
Stockage commentaire
Store at -20°C. Avoid freeze / thaw cycles.
Antigène
P-Selectin (SELP)
(Selectin P (Granule Membrane Protein 140kDa, Antigen CD62) (SELP))
Autre désignation
CD62P/P-selectin
Sujet
This gene encodes a 140 kDa protein that is stored in the alpha-granules of platelets and Weibel-Palade bodies of endothelial cells. This protein redistributes to the plasma membrane during platelet activation and degranulation and mediates the interaction of activated endothelial cells or platelets with leukocytes. The membrane protein is a calcium-dependent receptor that binds to sialylated forms of Lewis blood group carbohydrate antigens on neutrophils and monocytes. Alternative splice variants may occur but are not well documented. [provided by RefSeq, Jul 2008],CD62, CD62P, GMP140, GRMP, LECAM3, PADGEM, PSEL,Blood,Cardiovascular,CDs,Cell Adhesion,Cell Adhesion_Cell Adhesion Molecules,Cell Biology & Developmental Biology,Hematopoietic Progenitors,Immunology & Inflammation,Stem Cells,CD62P/P-selectin