Tel:
+49 (0)241 95 163 153
Fax:
+49 (0)241 95 163 155
E-Mail:
orders@anticorps-enligne.fr

Surfeit 4 anticorps (AA 50-150)

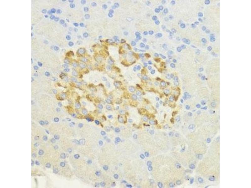
Cet anticorps anti-Surfeit 4 Polyclonal Lapin (ABIN7270650) détecte spécifiquement Surfeit 4 dans WB, IF et IHC. L’anticorps est réactif avec des échantillons de Humain.
N° du produit ABIN7270650
320,00 €
Plus frais de livraison 40,00 € et TVA
Destination: France
Envoi sous 8 à 10 jours ouvrables

Aperçu rapide pour Surfeit 4 anticorps (AA 50-150) (ABIN7270650)

Antigène

Voir toutes Surfeit 4 (SURF4) Anticorps
Surfeit 4 (SURF4)

Reactivité

  • 25
  • 22
  • 17
  • 4
  • 2
  • 2
  • 2
  • 1
  • 1
  • 1
  • 1
  • 1
  • 1
  • 1
  • 1
  • 1
Humain

Hôte

  • 29
Lapin

Clonalité

  • 18
  • 11
Polyclonal

Conjugué

  • 15
  • 2
  • 1
  • 1
  • 1
  • 1
  • 1
  • 1
  • 1
  • 1
  • 1
  • 1
  • 1
  • 1
Cet anticorp Surfeit 4 est non-conjugé

Application

  • 24
  • 10
  • 7
  • 4
  • 3
  • 1
  • 1
Western Blotting (WB), Immunofluorescence (IF), Immunohistochemistry (IHC)
  • Épitope

    • 7
    • 7
    • 2
    AA 50-150

    Fonction

    SURF4 Rabbit pAb

    Séquence

    ACFGLFGIIA LQTIAYSILW DLKFLMRNLA LGGGLLLLLA ESRSEGKSMF AGVPTMRESS PKQYMQLGGR VLLVLMFMTL LHFDASFFSI VQNIVGTALM I

     Réactivité croisée

    Humain, Souris, Rat

    Attributs du produit

    Polyclonal Antibodies

    Purification

    Affinity purification

    Immunogène

    A synthetic peptide corresponding to a sequence within amino acids 50-150 of human SURF4 (NP_001267719.1).

    Isotype

    IgG
  • Indications d'application

    WB,1:500 - 1:2000,IHC,1:50 - 1:200,IF,1:50 - 1:200

    Restrictions

    For Research Use only
  • Format

    Liquid

    Buffer

    PBS with 0.02 % sodium azide,50 % glycerol, pH 7.3.

    Agent conservateur

    Sodium azide

    Précaution d'utilisation

    This product contains Sodium azide: a POISONOUS AND HAZARDOUS SUBSTANCE which should be handled by trained staff only.

    Stock

    -20 °C

    Stockage commentaire

    Store at -20°C. Avoid freeze / thaw cycles.
  • Antigène

    Surfeit 4 (SURF4)

    Autre désignation

    SURF4

    Sujet

    This gene is located in the surfeit gene cluster, which is comprised of very tightly linked housekeeping genes that do not share sequence similarity. The encoded protein is a conserved integral membrane protein that interacts with endoplasmic reticulum-Golgi intermediate compartment proteins. Disruption of this gene results in reduced numbers of endoplasmic reticulum-Golgi intermediate compartment clusters and redistribution of coat protein I to the cytosol. Alternate splicing results in multiple transcript variants.,SURF4,ERV29,surfeit 4,SURF4

    Poids moléculaire

    30kDa

    ID gène

    6836

    UniProt

    O15260
Vous êtes ici:
Chat with us!