HSPE1 anticorps (AA 51-102)
Aperçu rapide pour HSPE1 anticorps (AA 51-102) (ABIN721885)
Antigène
Voir toutes HSPE1 AnticorpsReactivité
Hôte
Clonalité
Conjugué
Application
-
-
Épitope
- AA 51-102
-
Réactivité croisée
- Humain
-
Homologie
- Mouse,Rat
-
Purification
- Purified by Protein A.
-
Immunogène
- KLH conjugated synthetic peptide derived from human HSP10
-
Isotype
- IgG
-
-
-
-
Indications d'application
-
ELISA 1:500-1000
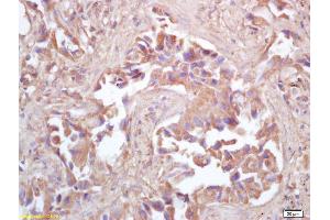
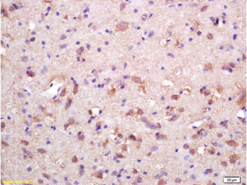
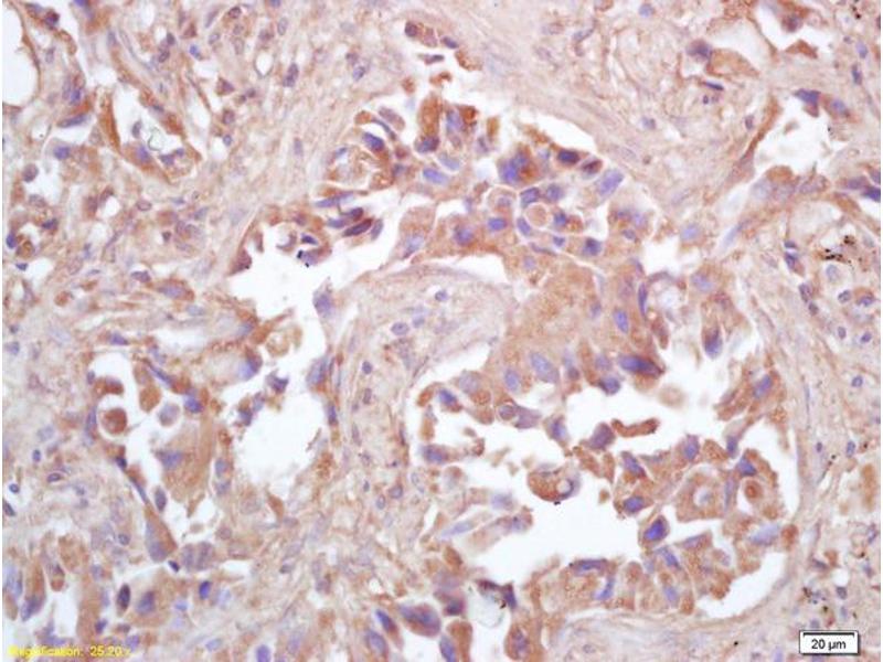
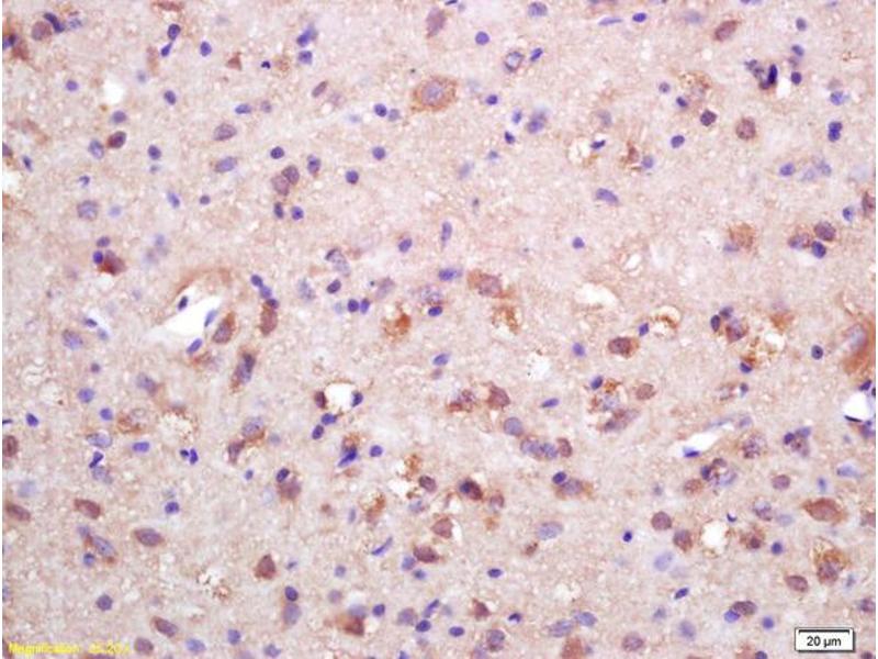
IHC-P 1:200-400
IHC-F 1:100-500
IF(IHC-P) 1:50-200
IF(IHC-F) 1:50-200
IF(ICC) 1:50-200 -
Restrictions
- For Research Use only
-
-
-
Format
- Liquid
-
Concentration
- 1 μg/μL
-
Buffer
- 0.01M TBS( pH 7.4) with 1 % BSA, 0.02 % Proclin300 and 50 % Glycerol.
-
Agent conservateur
- ProClin
-
Précaution d'utilisation
- This product contains ProClin: a POISONOUS AND HAZARDOUS SUBSTANCE, which should be handled by trained staff only.
-
Stock
- 4 °C,-20 °C
-
Stockage commentaire
- Shipped at 4°C. Store at -20°C for one year. Avoid repeated freeze/thaw cycles.
-
Date de péremption
- 12 months
-
-
- HSPE1 (Heat Shock 10kDa Protein 1 (Chaperonin 10) (HSPE1))
-
Autre désignation
- HSP10
-
Sujet
-
Synonyms: EPF, CPN10, GROES, HSP10, 10 kDa heat shock protein, mitochondrial, 10 kDa chaperonin, Chaperonin 10, Early-pregnancy factor, HSPE1
Background: Eukaryotic CPN10 homolog which is essential for mitochondrial protein biogenesis, together with CPN60. Binds to CPN60 in the presence of Mg-ATP and suppresses the ATPase activity of the latter.
-
ID gène
- 3336
-
UniProt
- P61604
-
Pathways
- Positive Regulation of Endopeptidase Activity
Antigène
-