Caspase 6 anticorps (AA 151-250)
Aperçu rapide pour Caspase 6 anticorps (AA 151-250) (ABIN725525)
Antigène
Voir toutes Caspase 6 (CASP6) AnticorpsReactivité
Hôte
Clonalité
Conjugué
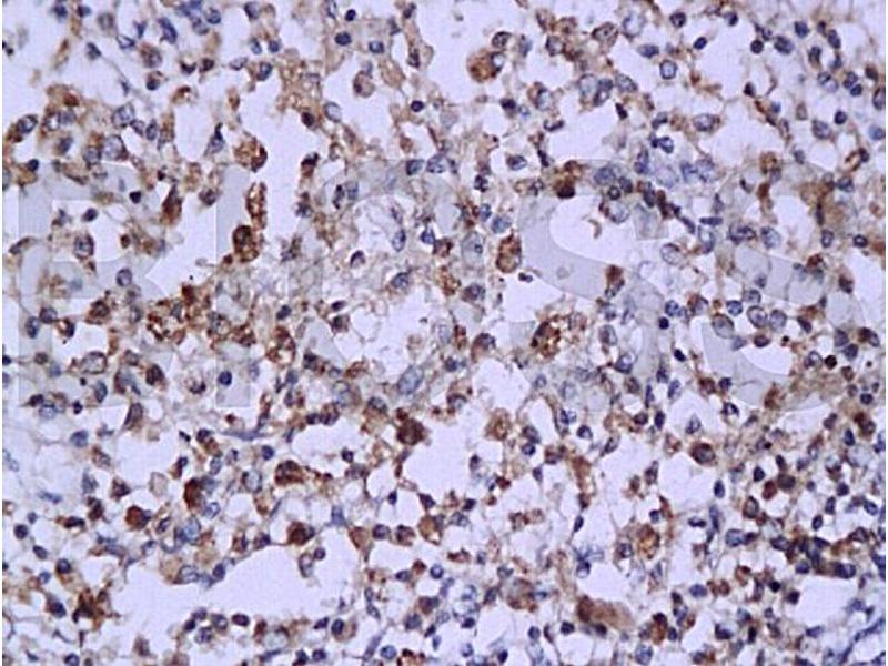
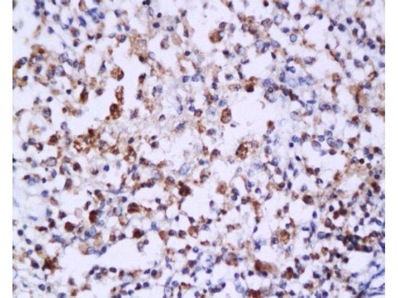
Application
-
-
Épitope
- AA 151-250
-
Réactivité croisée
- Humain
-
Homologie
- Mouse,Rat
-
Purification
- Purified by Protein A.
-
Immunogène
- KLH conjugated synthetic peptide derived from human Caspase-6
-
Isotype
- IgG
-
-
-
-
Indications d'application
-
ELISA 1:500-1000
IHC-P 1:200-400
IHC-F 1:100-500
IF(IHC-P) 1:50-200
IF(IHC-F) 1:50-200
IF(ICC) 1:50-200 -
Restrictions
- For Research Use only
-
-
-
Format
- Liquid
-
Concentration
- 1 μg/μL
-
Buffer
- 0.01M TBS( pH 7.4) with 1 % BSA, 0.02 % Proclin300 and 50 % Glycerol.
-
Agent conservateur
- ProClin
-
Précaution d'utilisation
- This product contains ProClin: a POISONOUS AND HAZARDOUS SUBSTANCE, which should be handled by trained staff only.
-
Stock
- 4 °C,-20 °C
-
Stockage commentaire
- Shipped at 4°C. Store at -20°C for one year. Avoid repeated freeze/thaw cycles.
-
Date de péremption
- 12 months
-
-
- Caspase 6 (CASP6) (Caspase 6, Apoptosis-Related Cysteine Peptidase (CASP6))
-
Autre désignation
- Caspase-6
-
Sujet
-
Synonyms: MCH2, Caspase-6, CASP-6, Apoptotic protease Mch-2, CASP6
Background: Involved in the activation cascade of caspases responsible for apoptosis execution. Cleaves poly(ADP-ribose) polymerase in vitro, as well as lamins. Overexpression promotes programmed cell death.
-
ID gène
- 839
-
UniProt
- P55212
-
Pathways
- Apoptose, Caspase Cascade in Apoptosis
Antigène
-