Tel:
+49 (0)241 95 163 153
Fax:
+49 (0)241 95 163 155
E-Mail:
orders@anticorps-enligne.fr

TOM70 anticorps (AA 122-608)

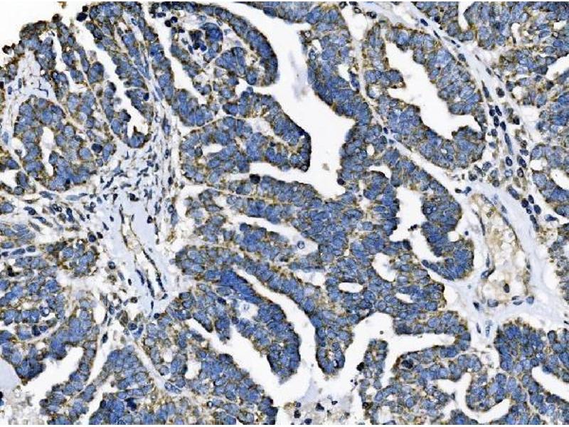
L’anticorps anti-TOM70 Polyclonal Lapin est utilisé pour la détection de TOM70 dans des échantillons de Humain. Il a été validé pour WB, IHC, ELISA, IF, FACS et ICC.
N° du produit ABIN7599855
500,50 €
Plus frais de livraison 40,00 € et TVA
100 μg
Destination: France
Envoi sous 8 à 12 jours ouvrables

Aperçu rapide pour TOM70 anticorps (AA 122-608) (ABIN7599855)

Antigène

Voir toutes TOM70 (TOMM70A) Anticorps
TOM70 (TOMM70A) (Translocase of Outer Mitochondrial Membrane 70 (TOMM70A))

Reactivité

  • 32
  • 9
  • 8
  • 2
  • 2
  • 2
  • 2
  • 1
  • 1
  • 1
  • 1
  • 1
  • 1
Humain

Hôte

  • 28
  • 4
Lapin

Clonalité

  • 30
  • 2
Polyclonal

Conjugué

  • 27
  • 1
  • 1
  • 1
  • 1
  • 1
Cet anticorp TOM70 est non-conjugé

Application

  • 30
  • 15
  • 14
  • 7
  • 7
  • 4
  • 3
  • 2
  • 1
  • 1
Western Blotting (WB), Immunohistochemistry (IHC), ELISA, Immunofluorescence (IF), Flow Cytometry (FACS), Immunocytochemistry (ICC)
  • Épitope

    • 8
    • 4
    • 4
    • 3
    • 2
    • 2
    • 2
    • 1
    • 1
    • 1
    • 1
    AA 122-608

    Fonction

    Anti-TOMM70 Antibody

    Réactivité croisée (Details)

    No cross-reactivity with other proteins.

    Attributs du produit

    Anti-TOMM70 Antibody (ABIN7599855). Tested in ELISA, Flow Cytometry, IF, IHC, ICC, WB applications. This antibody reacts with Human. This is a premium antibody that guarantees superior quality, high affinity, and strong signals with minimal background in Western blot applications.

    Purification

    Immunogen affinity purified.

    Immunogène

    E.coli-derived human TOMM70 recombinant protein (Position: N122-L608).

    Isotype

    IgG
  • Indications d'application

    Western blot, 0.25-0.5 μg/mL, Human
    Immunohistochemistry(Paraffin-embedded Section), 2-5 μg/mL, Human
    Immunocytochemistry/Immunofluorescence, 5 μg/mL, Human
    Flow Cytometry (Fixed), 1-3 μg/1x106 cells, Human
    ELISA, 0.1-0.5 μg/mL, -

    Restrictions

    For Research Use only
  • Format

    Lyophilized

    Reconstitution

    Adding 0.2 mL of distilled water will yield a concentration of 500 μg/mL.

    Concentration

    500 μg/mL

    Buffer

    Each vial contains 4 mg Trehalose, 0.9 mg NaCl, 0.2 mg Na2HPO4.

    Stock

    4 °C,-20 °C

    Stockage commentaire

    At -20°C for one year from date of receipt. After reconstitution, at 4°C for one month.
    It can also be aliquotted and stored frozen at -20°C for six months. Avoid repeated freezing and thawing.
  • Antigène

    TOM70 (TOMM70A) (Translocase of Outer Mitochondrial Membrane 70 (TOMM70A))

    Autre désignation

    TOMM70

    Sujet

    Synonyms: Homer protein homolog 3,Homer-3,HOMER3,

    Tissue Specificity: Detected in heart, brain, placenta, lung, liver, skeletal muscle, kidney and pancreas.

    Background: This gene encodes an import receptor of the outer mitochondrial membrane that is part of the translocase of the outer membrane complex. This protein is involved in the import of mitochondrial precursor proteins.

    Poids moléculaire

    67 kDa

    ID gène

    9868

    UniProt

    O94826

    Pathways

    SARS-CoV-2 Protein Interactome
Vous êtes ici:
Chat with us!