Tel:
+49 (0)241 95 163 153
Fax:
+49 (0)241 95 163 155
E-Mail:
orders@anticorps-enligne.fr

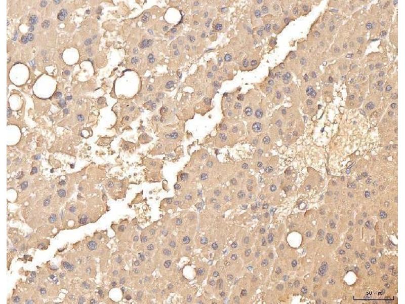
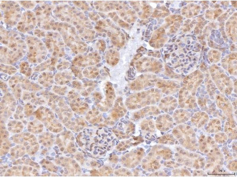
BHMT anticorps (AA 13-386)

Cet anticorps anti-BHMT Polyclonal Lapin (ABIN7599940) détecte spécifiquement BHMT dans WB, IHC, ELISA, IF, FACS et ICC. L’anticorps est réactif avec des échantillons de Humain, Souris et Rat.
N° du produit ABIN7599940
500,50 €
Plus frais de livraison 40,00 € et TVA
100 μg
Destination: France
Envoi sous 8 à 12 jours ouvrables

Aperçu rapide pour BHMT anticorps (AA 13-386) (ABIN7599940)

Antigène

Voir toutes BHMT Anticorps
BHMT (Betaine--Homocysteine S-Methyltransferase (BHMT))

Reactivité

  • 45
  • 12
  • 11
  • 7
  • 4
  • 4
  • 4
  • 3
  • 3
  • 3
  • 3
  • 2
  • 1
  • 1
  • 1
Humain, Souris, Rat

Hôte

  • 39
  • 10
  • 1
Lapin

Clonalité

  • 30
  • 20
Polyclonal

Conjugué

  • 38
  • 2
  • 1
  • 1
  • 1
  • 1
  • 1
  • 1
  • 1
  • 1
  • 1
  • 1
Cet anticorp BHMT est non-conjugé

Application

  • 47
  • 30
  • 16
  • 14
  • 8
  • 7
  • 7
  • 6
  • 1
  • 1
Western Blotting (WB), Immunohistochemistry (IHC), ELISA, Immunofluorescence (IF), Flow Cytometry (FACS), Immunocytochemistry (ICC)
  • Épitope

    • 4
    • 4
    • 2
    • 2
    • 2
    • 1
    • 1
    • 1
    • 1
    • 1
    • 1
    • 1
    AA 13-386

    Fonction

    Anti-BHMT Antibody

    Réactivité croisée (Details)

    No cross-reactivity with other proteins.

    Attributs du produit

    Anti-BHMT Antibody (ABIN7599940). Tested in ELISA, Flow Cytometry, IF, IHC, ICC, WB applications. This antibody reacts with Human, Mouse, Rat. This is a premium antibody that guarantees superior quality, high affinity, and strong signals with minimal background in Western blot applications.

    Purification

    Immunogen affinity purified.

    Immunogène

    E.coli-derived human BHMT recombinant protein (Position: I13-K386).

    Isotype

    IgG
  • Indications d'application

    Western blot, 0.25-0.5 μg/mL, Human, Mouse, Rat
    Immunohistochemistry(Paraffin-embedded Section), 2-5 μg/mL, Human, Mouse, Rat
    Immunocytochemistry/Immunofluorescence, 5 μg/mL, Human
    Flow Cytometry (Fixed), 1-3 μg/1x106 cells, Human
    ELISA, 0.1-0.5 μg/mL, -

    Restrictions

    For Research Use only
  • Format

    Lyophilized

    Reconstitution

    Adding 0.2 mL of distilled water will yield a concentration of 500 μg/mL.

    Concentration

    500 μg/mL

    Buffer

    Each vial contains 4 mg Trehalose, 0.9 mg NaCl, 0.2 mg Na2HPO4.

    Stock

    4 °C,-20 °C

    Stockage commentaire

    At -20°C for one year from date of receipt. After reconstitution, at 4°C for one month.
    It can also be aliquotted and stored frozen at -20°C for six months. Avoid repeated freezing and thawing.
  • Antigène

    BHMT (Betaine--Homocysteine S-Methyltransferase (BHMT))

    Autre désignation

    BHMT

    Sujet

    Synonyms: Neurocan core protein, Chondroitin sulfate proteoglycan 3, NCAN, CSPG3, NEUR,

    Tissue Specificity: Brain.

    Background: This gene encodes a cytosolic enzyme that catalyzes the conversion of betaine and homocysteine to dimethylglycine and methionine, respectively. Defects in this gene could lead to hyperhomocyst(e)inemia, but such a defect has not yet been observed.

    Poids moléculaire

    50 kDa

    ID gène

    635

    UniProt

    Q93088

    Pathways

    Methionine Biosynthetic Process
Vous êtes ici:
Chat with us!