Tel:
+49 (0)241 95 163 153
Fax:
+49 (0)241 95 163 155
E-Mail:
orders@anticorps-enligne.fr

CAMK4 anticorps (AA 19-469)

Cet anticorps Lapin Polyclonal détecte spécifiquement CAMK4 dans WB, ELISA, IHC, IF, ICC et FACS. Il présente une réactivité avec des échantillons de Souris et Rat.
N° du produit ABIN7600419
500,50 €
Plus frais de livraison 40,00 € et TVA
100 μg
Destination: France
Envoi sous 8 à 12 jours ouvrables

Aperçu rapide pour CAMK4 anticorps (AA 19-469) (ABIN7600419)

Antigène

Voir toutes CAMK4 Anticorps
CAMK4 (Calcium/calmodulin-Dependent Protein Kinase IV (CAMK4))

Reactivité

  • 83
  • 56
  • 44
  • 4
  • 4
  • 4
  • 3
  • 2
  • 2
  • 1
  • 1
  • 1
Souris, Rat

Hôte

  • 80
  • 14
Lapin

Clonalité

  • 63
  • 31
Polyclonal

Conjugué

  • 53
  • 4
  • 3
  • 3
  • 3
  • 3
  • 3
  • 3
  • 2
  • 2
  • 1
  • 1
  • 1
  • 1
  • 1
  • 1
  • 1
  • 1
  • 1
  • 1
  • 1
  • 1
  • 1
  • 1
  • 1
Cet anticorp CAMK4 est non-conjugé

Application

  • 79
  • 30
  • 29
  • 27
  • 17
  • 15
  • 14
  • 14
  • 14
  • 12
  • 3
  • 1
  • 1
  • 1
Western Blotting (WB), ELISA, Immunohistochemistry (IHC), Immunofluorescence (IF), Immunocytochemistry (ICC), Flow Cytometry (FACS)
  • Épitope

    • 25
    • 16
    • 7
    • 7
    • 6
    • 2
    • 2
    • 2
    • 1
    • 1
    • 1
    • 1
    • 1
    • 1
    • 1
    • 1
    • 1
    • 1
    • 1
    • 1
    • 1
    • 1
    • 1
    • 1
    • 1
    • 1
    AA 19-469

    Fonction

    Anti-CAMKIV/Camk4 Antibody

    Réactivité croisée (Details)

    No cross-reactivity with other proteins.

    Attributs du produit

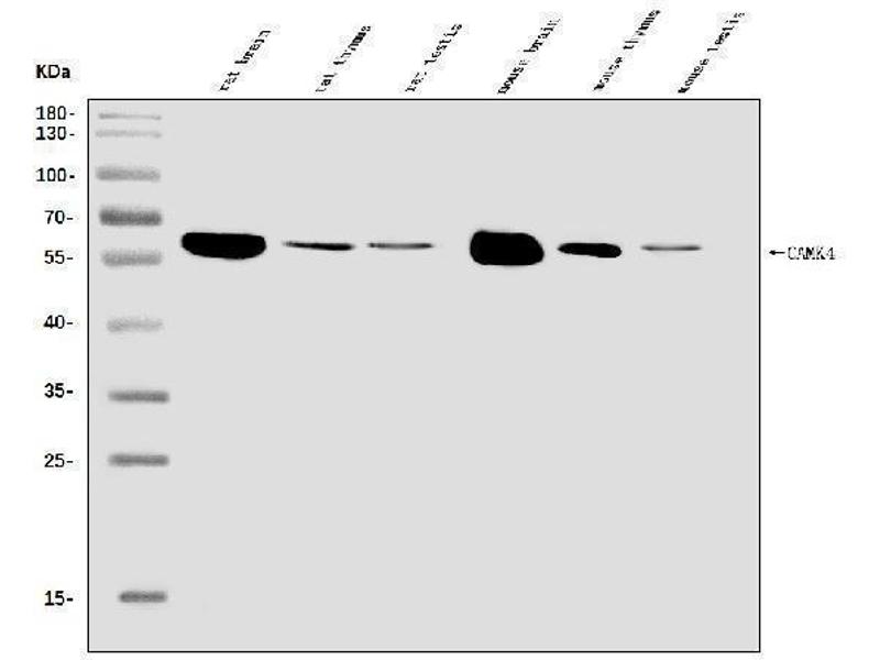
    Anti-CAMKIV/Camk4 Antibody (ABIN7600419). Tested in ELISA, Flow Cytometry, IF, IHC, ICC, WB applications. This antibody reacts with Mouse, Rat. This is a premium antibody that guarantees superior quality, high affinity, and strong signals with minimal background in Western blot applications.

    Purification

    Immunogen affinity purified.

    Immunogène

    E.coli-derived mouse Camk4 recombinant protein (Position: A19-Y469).

    Isotype

    IgG
  • Indications d'application

    Western blot, 0.1-0.25 μg/mL, Mouse, Rat
    Immunohistochemistry (Paraffin-embedded Section), 2-5 μg/mL, Mouse, Rat
    Immunocytochemistry/Immunofluorescence, 5 μg/mL, Mouse
    Immunofluorescence, 5 μg/mL, Rat
    Flow Cytometry (Fixed), 1-3 μg/1x106 cells, Mouse
    ELISA, 0.1-0.5 μg/mL, -

    Restrictions

    For Research Use only
  • Format

    Lyophilized

    Reconstitution

    Add 0.2 mL of distilled water will yield a concentration of 500 μg/mL.

    Concentration

    500 μg/mL

    Buffer

    Each vial contains 4 mg Trehalose, 0.9 mg NaCl, 0.2 mg Na2HPO4.

    Stock

    4 °C,-20 °C

    Stockage commentaire

    Store at -20°C for one year from date of receipt. After reconstitution, at 4°C for one month.
    It can also be aliquotted and stored frozen at -20°C for six months. Avoid repeated freeze-thaw cycles.
  • Antigène

    CAMK4 (Calcium/calmodulin-Dependent Protein Kinase IV (CAMK4))

    Autre désignation

    Camk4

    Sujet

    Synonyms: C-C chemokine receptor type 1,C-C CKR-1,CC-CKR-1,CCR-1,CCR1,Macrophage inflammatory protein 1-alpha receptor,MIP-1alpha-R,RANTES-R,CD191,Ccr1,Cmkbr1,

    Tissue Specificity: Detected in the heart, spleen, lung, peritoneal exudate cells and leukocytes.

    Background: Calcium/calmodulin-dependent protein kinase type IV is an enzyme that in humans is encoded by the CAMK4 gene. The product of this gene belongs to the serine/threonine protein kinase family, and to the Ca (2+)/calmodulin-dependent protein kinase subfamily. This enzyme is a multifunctional serine/threonine protein kinase with limited tissue distribution, that has been implicated in transcriptional regulation in lymphocytes, neurons and male germ cells.

    Poids moléculaire

    58 kDa

    ID gène

    12326

    UniProt

    P08414

    Pathways

    EGFR Signaling Pathway, Neurotrophin Signaling Pathway, Production of Molecular Mediator of Immune Response, G-protein mediated Events, Interaction of EGFR with phospholipase C-gamma
Vous êtes ici:
Chat with us!