Tel:
+49 (0)241 95 163 153
Fax:
+49 (0)241 95 163 155
E-Mail:
orders@anticorps-enligne.fr

TEK anticorps (AA 23-616)

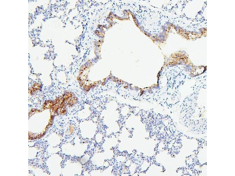
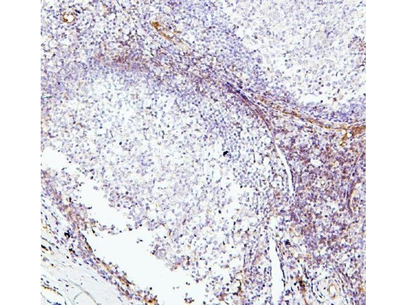
L’anticorps anti-TEK Polyclonal Lapin est utilisé pour la détection de TEK dans des échantillons de Humain, Souris et Rat. Il a été validé pour WB, ELISA, IHC, FACS, IF et ICC.
N° du produit ABIN7600762
500,50 €
Plus frais de livraison 40,00 € et TVA
100 μg
Destination: France
Envoi sous 8 à 12 jours ouvrables

Aperçu rapide pour TEK anticorps (AA 23-616) (ABIN7600762)

Antigène

Voir toutes TEK Anticorps
TEK (TEK Tyrosine Kinase, Endothelial (TEK))

Reactivité

  • 141
  • 73
  • 48
  • 22
  • 4
  • 3
Humain, Souris, Rat

Hôte

  • 119
  • 33
  • 9
  • 3
  • 2
  • 1
  • 1
Lapin

Clonalité

  • 125
  • 43
Polyclonal

Conjugué

  • 82
  • 12
  • 9
  • 9
  • 4
  • 4
  • 4
  • 3
  • 3
  • 3
  • 3
  • 3
  • 3
  • 3
  • 3
  • 3
  • 3
  • 3
  • 3
  • 1
  • 1
  • 1
  • 1
  • 1
  • 1
  • 1
  • 1
Cet anticorp TEK est non-conjugé

Application

  • 81
  • 58
  • 40
  • 40
  • 37
  • 36
  • 14
  • 13
  • 13
  • 9
  • 8
  • 8
  • 4
  • 4
  • 2
  • 2
  • 2
  • 1
Western Blotting (WB), ELISA, Immunohistochemistry (IHC), Flow Cytometry (FACS), Immunofluorescence (IF), Immunocytochemistry (ICC)
  • Épitope

    • 21
    • 19
    • 16
    • 8
    • 7
    • 7
    • 6
    • 6
    • 4
    • 4
    • 4
    • 4
    • 2
    • 2
    • 2
    • 2
    • 2
    • 1
    • 1
    • 1
    • 1
    • 1
    • 1
    • 1
    • 1
    • 1
    • 1
    • 1
    • 1
    • 1
    • 1
    • 1
    • 1
    • 1
    • 1
    • 1
    • 1
    AA 23-616

    Fonction

    Anti-TIE2/TEK Antibody

    Réactivité croisée (Details)

    No cross-reactivity with other proteins.

    Attributs du produit

    Anti-TIE2/TEK Antibody (ABIN7600762). Tested in ELISA, Flow Cytometry, IF, IHC, ICC, WB applications. This antibody reacts with Human, Mouse, Rat. This is a premium antibody that guarantees superior quality, high affinity, and strong signals with minimal background in Western blot applications.

    Purification

    Immunogen affinity purified.

    Immunogène

    E.coli-derived human TIE2/TEK recombinant protein (Position: A23-R616).

    Isotype

    IgG
  • Indications d'application

    Western blot, 0.25-0.5 μg/mL, Human, Mouse
    Immunohistochemistry (Paraffin-embedded Section), 0.5-1 μg/mL, Human, Mouse, Rat
    Immunocytochemistry/Immunofluorescence, 2 μg/mL, Human
    Flow Cytometry (Fixed), 1-3 μg/1x106 cells, Human
    ELISA, 0.1-0.5 μg/mL, -

    Restrictions

    For Research Use only
  • Format

    Lyophilized

    Reconstitution

    Add 0.2 mL of distilled water will yield a concentration of 500 μg/mL.

    Concentration

    500 μg/mL

    Buffer

    Each vial contains 4 mg Trehalose, 0.9 mg NaCl, 0.2 mg Na2HPO4, 0.05 mg Sodium azide.

    Agent conservateur

    Sodium azide

    Précaution d'utilisation

    This product contains Sodium azide: a POISONOUS AND HAZARDOUS SUBSTANCE which should be handled by trained staff only.

    Stock

    4 °C,-20 °C

    Stockage commentaire

    Store at -20°C for one year from date of receipt. After reconstitution, at 4°C for one month.
    It can also be aliquotted and stored frozen at -20°C for six months. Avoid repeated freeze-thaw cycles.
  • Antigène

    TEK (TEK Tyrosine Kinase, Endothelial (TEK))

    Autre désignation

    TEK

    Sujet

    Synonyms: Angiopoietin-1 receptor, Endothelial tyrosine kinase, Tunica interna endothelial cell kinase, Tyrosine kinase with Ig and EGF homology domains-2, Tyrosine-protein kinase receptor TEK, Tyrosine-protein kinase receptor TIE-2, hTIE2, p140 TEK, CD202b, TEK, TIE2, VMCM, VMCM1

    Tissue Specificity: Detected in umbilical vein endothelial cells. Proteolytic processing gives rise to a soluble extracellular domain that is detected in blood plasma. Predominantly expressed in endothelial cells and their progenitors, the angioblasts. Has been ly found in placenta and lung, with a lower level in umbilical vein endothelial cells, brain and kidney.

    Background: TIE2, also known as TEK tyrosine kinase, is mapped to 9p21.2. This gene encodes a receptor that belongs to the protein tyrosine kinase Tie2 family. The encoded protein possesses a unique extracellular region that contains two immunoglobulin-like domains, three epidermal growth factor (EGF)-like domains and three fibronectin type III repeats. The ligand angiopoietin-1 binds to this receptor and mediates a signaling pathway that functions in embryonic vascular development. Immunoblotting showed that TIE2 expression was increased by thyroid-stimulating hormone and agents that increased intracellular cAMP. HSCs expressing the receptor tyrosine kinase TIE2 are quiescent and antiapoptotic and comprise a side population of HSCs that adhere to osteoblasts in the bone marrow niche.

    Poids moléculaire

    160 kDa

    ID gène

    7010

    UniProt

    Q02763

    Pathways

    Signalisation RTK, Growth Factor Binding
Vous êtes ici:
Chat with us!