Tel:
+49 (0)241 95 163 153
Fax:
+49 (0)241 95 163 155
E-Mail:
orders@anticorps-enligne.fr

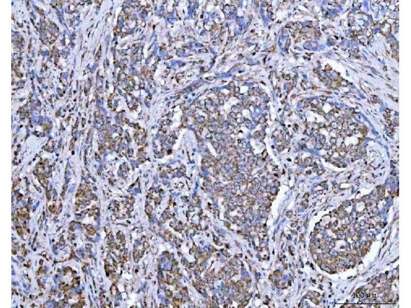
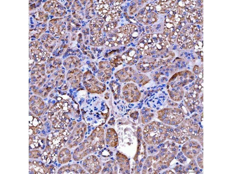
SUCLG2 anticorps (AA 42-424)

Cet anticorps Lapin Polyclonal détecte spécifiquement SUCLG2 dans WB, ELISA, IHC, IF, IP, ICC et FACS. Il présente une réactivité avec des échantillons de Humain, Souris et Rat.
N° du produit ABIN7601694
500,50 €
Plus frais de livraison 40,00 € et TVA
100 μg
Destination: France
Envoi sous 8 à 12 jours ouvrables

Aperçu rapide pour SUCLG2 anticorps (AA 42-424) (ABIN7601694)

Antigène

Voir toutes SUCLG2 Anticorps
SUCLG2 (Succinate-CoA Ligase, GDP-Forming, beta Subunit (SUCLG2))

Reactivité

  • 23
  • 10
  • 6
  • 3
  • 3
  • 3
  • 3
  • 3
  • 1
  • 1
  • 1
  • 1
Humain, Souris, Rat

Hôte

  • 21
  • 2
Lapin

Clonalité

  • 23
Polyclonal

Conjugué

  • 19
  • 2
  • 1
  • 1
Cet anticorp SUCLG2 est non-conjugé

Application

  • 19
  • 7
  • 6
  • 6
  • 3
  • 2
  • 2
  • 1
  • 1
Western Blotting (WB), ELISA, Immunohistochemistry (IHC), Immunofluorescence (IF), Immunoprecipitation (IP), Immunocytochemistry (ICC), Flow Cytometry (FACS)
  • Épitope

    • 5
    • 2
    • 2
    • 1
    • 1
    • 1
    • 1
    • 1
    • 1
    • 1
    • 1
    • 1
    AA 42-424

    Fonction

    Anti-SUCLG2 Antibody

    Réactivité croisée (Details)

    No cross-reactivity with other proteins.

    Attributs du produit

    Anti-SUCLG2 Antibody (ABIN7601694). Tested in ELISA, Flow Cytometry, IF, IHC, ICC, WB applications. This antibody reacts with Human, Mouse, Rat. This is a premium antibody that guarantees superior quality, high affinity, and strong signals with minimal background in Western blot applications.

    Purification

    Immunogen affinity purified.

    Immunogène

    E.coli-derived human SUCLG2 recombinant protein (Position: E42-K424).

    Isotype

    IgG
  • Indications d'application

    Western blot, 0.25-0.5 μg/mL, Human, Mouse, Rat
    Immunohistochemistry(Paraffin-embedded Section), 2-5 μg/mL, Human, Mouse, Rat
    Immunocytochemistry/Immunofluorescence, 5 μg/mL, Human
    Immunofluorescence, 5 μg/mL, Human
    Immunoprecipitation, 0.5-2 μg/mL, Human
    Flow Cytometry (Fixed), 1-3 μg/1x106 cells, Human
    ELISA, 0.1-0.5 μg/mL, -

    Restrictions

    For Research Use only
  • Format

    Lyophilized

    Reconstitution

    Adding 0.2 mL of distilled water will yield a concentration of 500 μg/mL.

    Concentration

    500 μg/mL

    Buffer

    Each vial contains 4 mg Trehalose, 0.9 mg NaCl, 0.2 mg Na2HPO4.

    Stock

    4 °C,-20 °C

    Stockage commentaire

    At -20°C for one year from date of receipt. After reconstitution, at 4°C for one month.
    It can also be aliquotted and stored frozen at -20°C for six months. Avoid repeated freezing and thawing.
  • Antigène

    SUCLG2 (Succinate-CoA Ligase, GDP-Forming, beta Subunit (SUCLG2))

    Autre désignation

    SUCLG2

    Sujet

    Synonyms: Neuropeptides B/W receptor type 1, G-protein coupled receptor 7, NPBWR1, GPR7

    Tissue Specificity: Found in cerebellum and frontal cortex. Detected at high levels in hippocampus, amygdala and trachea, at moderate levels in fetal brain, pituitary gland and prostate. Not in caudate, accumbens, kidney or liver. Also detected at high levels in lung carcinoma.

    Background: Succinyl-CoA ligase [GDP-forming] subunit beta, mitochondrial is an enzyme that in humans is encoded by the SUCLG2 gene on chromosome 3. This gene encodes a GTP-specific beta subunit of succinyl-CoA synthetase. Succinyl-CoA synthetase catalyzes the reversible reaction involving the formation of succinyl-CoA and succinate. Alternate splicing results in multiple transcript variants. Pseudogenes of this gene are found on chromosomes 5 and 12.

    Poids moléculaire

    47 kDa

    ID gène

    8801

    UniProt

    Q96I99
Vous êtes ici:
Chat with us!