Tel:
+49 (0)241 95 163 153
Fax:
+49 (0)241 95 163 155
E-Mail:
orders@anticorps-enligne.fr

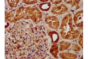
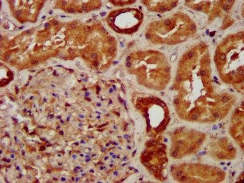
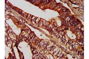
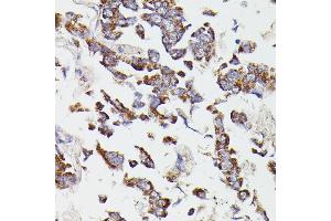
SUCLG2 Anticorps

(Succinate-CoA Ligase, GDP-Forming, beta Subunit (SUCLG2))

Choisissez l’un des 23 anticorps SUCLG2 de notre liste de produits basés sur 23 images de validation.

Découvrez des anticorps SUCLG2 fiables issus d’une large sélection de fabricants renommés. Notre portefeuille permet une détection précise de SUCLG2 dans plusieurs espèces, y compris Human, Mouse, Rat, Cow, Dog, Guinea Pig, Horse, Rabbit, Chicken, Monkey, Pig, Zebrafish (Danio rerio), et prend en charge diverses applications de recherche telles que WB, ELISA, IHC, IF, ICC.

Trouvez rapidement l’anticorps adapté grâce à nos outils de recherche, de filtrage et de comparaison. Chaque page produit fournit des données de validation détaillées, des références bibliographiques et des retours d’utilisateurs. Contrairement aux ressources dédiées uniquement à la comparaison, vous pouvez acheter directement les anticorps sur notre site. Choisissez parmi des anticorps polyclonaux, monoclonaux ou recombinants SUCLG2, issus de différents hôtes tels que Rabbit, Mouse. Parcourez nos produits ci-dessous et commandez directement pour soutenir vos recherches en toute confiance.

Les noms alternatifs de SUCLG2 sont Suclg2, SUCLG2.

23 Résultats

SUCLG2 Reactivité: Humain WB, IHC, IF Hôte: Lapin Polyclonal unconjugated
N° du produit ABIN6148690
-15% Promotion 2026
327,25 €
385,00 €
Économisez 57,75 € (-15 %)
Plus frais de livraison 40,00 € et TVA
100 μL (Autres quantités disponibles)
Destination: France
Envoi sous 8 à 10 jours ouvrables
 
KO Validated SUCLG2 Reactivité: Humain WB, IF, ICC, IHC (p) Hôte: Lapin Polyclonal unconjugated
N° du produit ABIN2856470
-15% Promotion 2026
495,69 €
583,17 €
Économisez 87,48 € (-15 %)
Plus frais de livraison 40,00 € et TVA
100 μL
Destination: France
Envoi sous 7 à 9 jours ouvrables
 
SUCLG2 Reactivité: Humain, Souris, Rat WB, IHC, IF Hôte: Lapin Polyclonal unconjugated
N° du produit ABIN7264719
-15% Promotion 2026
535,50 €
630,00 €
Économisez 94,50 € (-15 %)
Plus frais de livraison 40,00 € et TVA
200 μL (Autres quantités disponibles)
Destination: France
Envoi sous 9 à 13 jours ouvrables
 
SUCLG2 Reactivité: Humain WB, ELISA, IHC Hôte: Lapin Polyclonal unconjugated
N° du produit ABIN7170916
-15% Promotion 2026
279,56 €
328,90 €
Économisez 49,34 € (-15 %)
Plus frais de livraison 40,00 € et TVA
100 μg (Autres quantités disponibles)
Destination: France
Envoi sous 11 à 15 jours ouvrables
 
SUCLG2 Reactivité: Humain WB Hôte: Souris Polyclonal unconjugated
N° du produit ABIN522249
-15% Promotion 2026
553,52 €
651,20 €
Économisez 97,68 € (-15 %)
Plus frais de livraison 40,00 € et TVA
50 μg
Destination: France
Envoi sous 8 à 9 jours ouvrables
 
SUCLG2 Reactivité: Humain, Souris, Rat, Boeuf (Vache), Chien, Cobaye, Cheval, Lapin, Poulet, Singe, Porc WB Hôte: Lapin Polyclonal unconjugated
N° du produit ABIN6750076
-15% Promotion 2026
671,00 €
789,41 €
Économisez 118,41 € (-15 %)
Plus frais de livraison 40,00 € et TVA
100 μL
Destination: France
Envoi sous 15 à 19 jours ouvrables
 
SUCLG2 Reactivité: Humain, Souris WB Hôte: Lapin Polyclonal unconjugated
N° du produit ABIN6750537
-15% Promotion 2026
671,00 €
789,41 €
Économisez 118,41 € (-15 %)
Plus frais de livraison 40,00 € et TVA
100 μL
Destination: France
Envoi sous 15 à 19 jours ouvrables
 
SUCLG2 Reactivité: Humain ELISA Hôte: Lapin Polyclonal Biotin
N° du produit ABIN7170917
-15% Promotion 2026
279,56 €
328,90 €
Économisez 49,34 € (-15 %)
Plus frais de livraison 40,00 € et TVA
100 μg (Autres quantités disponibles)
Destination: France
Envoi sous 11 à 15 jours ouvrables
 
SUCLG2 Reactivité: Humain Hôte: Lapin Polyclonal FITC
N° du produit ABIN7170918
-15% Promotion 2026
279,56 €
328,90 €
Économisez 49,34 € (-15 %)
Plus frais de livraison 40,00 € et TVA
100 μg (Autres quantités disponibles)
Destination: France
Envoi sous 11 à 15 jours ouvrables
 
SUCLG2 Reactivité: Humain ELISA Hôte: Lapin Polyclonal HRP
N° du produit ABIN7170919
-15% Promotion 2026
279,56 €
328,90 €
Économisez 49,34 € (-15 %)
Plus frais de livraison 40,00 € et TVA
100 μg (Autres quantités disponibles)
Destination: France
Envoi sous 11 à 15 jours ouvrables
 
SUCLG2 Reactivité: Humain, Souris, Rat WB, ELISA, IHC Hôte: Lapin Polyclonal unconjugated
N° du produit ABIN7119571
-15% Promotion 2026
351,77 €
413,85 €
Économisez 62,08 € (-15 %)
Plus frais de livraison 40,00 € et TVA
100 μg
Destination: France
Envoi sous 11 à 15 jours ouvrables
 
SUCLG2 Reactivité: Humain, Souris WB, IP Hôte: Lapin Polyclonal unconjugated
N° du produit ABIN7449836
-15% Promotion 2026
490,13 €
576,62 €
Économisez 86,49 € (-15 %)
Plus frais de livraison 40,00 € et TVA
100 μg (Autres quantités disponibles)
Destination: France
Envoi sous 7 à 9 jours ouvrables
 
SUCLG2 Reactivité: Humain, Souris WB, IP Hôte: Lapin Polyclonal unconjugated
N° du produit ABIN7449835
-15% Promotion 2026
490,13 €
576,62 €
Économisez 86,49 € (-15 %)
Plus frais de livraison 40,00 € et TVA
100 μg (Autres quantités disponibles)
Destination: France
Envoi sous 7 à 9 jours ouvrables
 
SUCLG2 Reactivité: Humain WB, IHC, ICC, IHC (p) Hôte: Lapin Polyclonal unconjugated
N° du produit ABIN1833321
-15% Promotion 2026
708,68 €
833,74 €
Économisez 125,06 € (-15 %)
Plus frais de livraison 40,00 € et TVA
100 μL
Destination: France
Envoi sous 15 à 19 jours ouvrables
 
SUCLG2 Reactivité: Humain, Souris WB, IF, ICC Hôte: Lapin Polyclonal unconjugated
N° du produit ABIN5623482
-15% Promotion 2026
1.477,25 €
1.737,94 €
Économisez 260,69 € (-15 %)
Plus frais de livraison 40,00 € et TVA
100 μL
Destination: France
Envoi sous 13 à 16 jours ouvrables
 
SUCLG2 Reactivité: Humain, Souris, Rat, Boeuf (Vache), Chien, Cobaye, Cheval, Lapin WB Hôte: Lapin Polyclonal unconjugated
N° du produit ABIN2790590
534,11 €
Plus frais de livraison 40,00 € et TVA
100 μL (Autres quantités disponibles)
Destination: France
Envoi sous 6 à 8 jours ouvrables
 
SUCLG2 Reactivité: Humain, Souris, Rat, Boeuf (Vache), Chien, Cobaye, Cheval, Lapin, Poisson zèbre (Danio rerio) WB Hôte: Lapin Polyclonal unconjugated
N° du produit ABIN2790591
534,11 €
Plus frais de livraison 40,00 € et TVA
100 μL (Autres quantités disponibles)
Destination: France
Envoi sous 6 à 8 jours ouvrables
 
SUCLG2 Reactivité: Humain, Souris, Rat WB, ELISA, IHC, IF, IP, ICC, FACS Hôte: Lapin Polyclonal unconjugated
N° du produit ABIN7601694
500,50 €
Plus frais de livraison 40,00 € et TVA
100 μg
Destination: France
Envoi sous 8 à 11 jours ouvrables
 
SUCLG2 Reactivité: Humain WB, IF/ICC, IHC (fp) Hôte: Lapin Polyclonal unconjugated
N° du produit ABIN2800171
505,87 €
Plus frais de livraison 40,00 € et TVA
100 μL
Destination: France
Envoi sous 10 à 13 jours ouvrables
 
SUCLG2 Reactivité: Humain WB, IF Hôte: Lapin Polyclonal unconjugated
N° du produit ABIN1885766
554,40 €
Plus frais de livraison 40,00 € et TVA
100 μL
Destination: France
Envoi sous 10 à 13 jours ouvrables
 
  • Type Primary
    • Primary
  • Application
    • Western Blotting (WB)
    • ELISA
    • Immunohistochemistry (IHC)
    • Immunofluorescence (IF)
    • Immunocytochemistry (ICC)
    • Immunoprecipitation (IP)
    • Immunohistochemistry (Paraffin-embedded Sections) (IHC (p))
    • Flow Cytometry (FACS)
    • Immunohistochemistry (Formalin-fixed Paraffin-embedded Sections) (IHC (fp))
    • Immunofluorescence (fixed cells) (IF/ICC)
  • Réactivité
    • Human
    • Mouse
    • Rat
    • Cow
    • Dog
    • Guinea Pig
    • Horse
    • Rabbit
    • Chicken
    • Monkey
    • Pig
    • Zebrafish (Danio rerio)
  • Images disponible
  • Carrier free only
  • Hote
    • Rabbit
    • Mouse
  • Clonalité
    • Polyclonal
  • Epitope
    • AA 161-292
    • AA 1-234
    • AA 1-384
    • AA 1-204
    • AA 101-150
    • AA 25-75
    • AA 258-307
    • AA 382-432
    • AA 42-424
    • AA 50-300
    • C-Term
    • N-Term
    • Subunit beta
  • Conjugué
    • Inconjugué
    • FITC
    • Biotin
    • HRP
  • Isotype
    • IgG
  • Format
    • Liquid
    • Lyophilized
  • Grade
    • KO Validated
  • Supplier
    • antibodies-online
    • Aviva Systems Biology
    • Abbexa
    • Boster Bio
    • CUSABIO
    • RayBiotech
    • Signalway
    • USBio

Dernières publications pour nos SUCLG2 Anticorps

Maio, Kim, Holmes-Hampton, Singh, Rouault: "Dimeric ferrochelatase bridges ABCB7 and ABCB10 homodimers in an architecturally defined molecular complex required for heme biosynthesis." dans: Haematologica, (2019) (PubMed).

Ou, Peng, Yang, Zhang, Hao, Li, Chen, Zhao, Xie, Wu, Zha, Luo, Xie, Wang, Sun, Zhou, Li, Liang: "ABHD5 blunts the sensitivity of colorectal cancer to fluorouracil via promoting autophagic uracil yield." dans: Nature communications, Vol. 10, Issue 1, pp. 1078, (2019) (PubMed).

Ramirez, van der Flier, Herold, Ramonet, Heilmann, Lewczuk, Popp, Lacour, Drichel, Louwersheimer, Kummer, Cruchaga, Hoffmann, Teunissen, Holstege, Kornhuber, Peters, Naj, Chouraki, Bellenguez et al.: "SUCLG2 identified as both a determinator of CSF A?1-42 levels and an attenuator of cognitive decline in Alzheimer's disease. ..." dans: Human molecular genetics, Vol. 23, Issue 24, pp. 6644-58, (2014) (PubMed).

Pseudonymes pour SUCLG2 Anticorps

succinate-Coenzyme A ligase, GDP-forming, beta subunit (Suclg2) Anticorps
succinate-CoA ligase GDP-forming beta subunit (SUCLG2) Anticorps
AF171077 Anticorps
AW556404 Anticorps
D6Wsu120e Anticorps
GBETA Anticorps
Vous êtes ici:
Chat with us!