Tel:
+49 (0)241 95 163 153
Fax:
+49 (0)241 95 163 155
E-Mail:
orders@anticorps-enligne.fr

TOM1L1 anticorps (AA 9-448)

L’anticorps anti-TOM1L1 Polyclonal Lapin est utilisé pour la détection de TOM1L1 dans des échantillons de Humain, Rat et Souris. Il a été validé pour WB, ELISA, IHC, IF et FACS.
N° du produit ABIN7602631
500,50 €
Plus frais de livraison 40,00 € et TVA
100 μg
Destination: France
Envoi sous 8 à 12 jours ouvrables

Aperçu rapide pour TOM1L1 anticorps (AA 9-448) (ABIN7602631)

Antigène

Voir toutes TOM1L1 Anticorps
TOM1L1 (Target of Myb1 (Chicken)-Like 1 (TOM1L1))

Reactivité

  • 49
  • 5
  • 4
  • 3
  • 2
  • 2
  • 2
  • 1
  • 1
  • 1
  • 1
Humain, Rat, Souris

Hôte

  • 41
  • 6
  • 1
Lapin

Clonalité

  • 45
  • 4
Polyclonal

Conjugué

  • 26
  • 4
  • 3
  • 3
  • 1
  • 1
  • 1
  • 1
  • 1
  • 1
  • 1
  • 1
  • 1
  • 1
  • 1
  • 1
  • 1
Cet anticorp TOM1L1 est non-conjugé

Application

  • 40
  • 18
  • 13
  • 13
  • 6
  • 6
  • 4
  • 4
  • 3
  • 1
Western Blotting (WB), ELISA, Immunohistochemistry (IHC), Immunofluorescence (IF), Flow Cytometry (FACS)
  • Épitope

    • 15
    • 9
    • 6
    • 5
    • 2
    • 2
    • 1
    • 1
    • 1
    • 1
    • 1
    AA 9-448

    Fonction

    Anti-TOM1L1 Antibody

    Réactivité croisée (Details)

    No cross-reactivity with other proteins.

    Attributs du produit

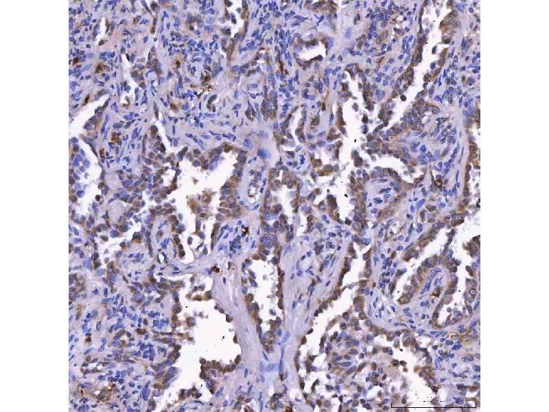
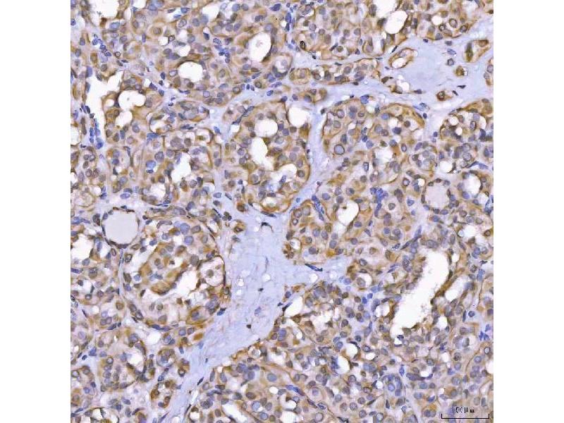
    Anti-TOM1L1 Antibody (ABIN7602631). Tested in ELISA, Flow Cytometry, IF, IHC, WB applications. This antibody reacts with Human, Mouse, Rat. This is a premium antibody that guarantees superior quality, high affinity, and strong signals with minimal background in Western blot applications.

    Purification

    Immunogen affinity purified.

    Immunogène

    E.coli-derived human TOM1L1 recombinant protein (Position: D9-D448).

    Isotype

    IgG
  • Indications d'application

    Western blot, 0.1-0.25 μg/mL, Human
    Immunohistochemistry(Paraffin-embedded Section), 2-5 μg/mL, Human, Mouse, Rat
    Immunofluorescence, 5 μg/mL, Human
    Flow Cytometry (Fixed), 1-3 μg/1x106 cells, Human
    ELISA, 0.1-0.5 μg/mL, -

    Restrictions

    For Research Use only
  • Format

    Lyophilized

    Reconstitution

    Adding 0.2 mL of distilled water will yield a concentration of 500 μg/mL.

    Concentration

    500 μg/mL

    Buffer

    Each vial contains 4 mg Trehalose, 0.9 mg NaCl, 0.2 mg Na2HPO4.

    Stock

    4 °C,-20 °C

    Stockage commentaire

    At -20°C for one year from date of receipt. After reconstitution, at 4°C for one month.
    It can also be aliquotted and stored frozen at -20°C for six months. Avoid repeated freezing and thawing.
  • Antigène

    TOM1L1 (Target of Myb1 (Chicken)-Like 1 (TOM1L1))

    Autre désignation

    TOM1L1

    Sujet

    Synonyms: C-C motif chemokine 16, Chemokine CC-4, HCC-4, Chemokine LEC, IL-10-inducible chemokine, LCC-1, Liver-expressed chemokine, Lymphocyte and monocyte chemoattractant, LMC, Monotactin-1, MTN-1, NCC-4, Small-inducible cytokine A16, CCL16, ILINCK, NCC4, SCYA16

    Tissue Specificity: Mainly expressed in liver, also found in spleen and thymus. Highly expressed in LPS- and IFN-gamma- activated monocytes, weakly in some lymphocytes, including natural killer cells, gamma-delta T-cells, and some T-cell clones.

    Background: TOM1-like protein 1 is a protein that in humans is encoded by the TOM1L1 gene. Enables clathrin binding activity and protein kinase binding activity. Involved in negative regulation of mitotic nuclear division, positive regulation of protein phosphorylation, and signal transduction. Located in cytosol and endosome.

    Poids moléculaire

    55 kDa

    ID gène

    10040

    UniProt

    O75674
Vous êtes ici:
Chat with us!