Recombinant YWHAB anticorps
Aperçu rapide pour Recombinant YWHAB anticorps (ABIN7797408)
Antigène
Voir toutes YWHAB AnticorpsType d'anticorp
Reactivité
Hôte
Clonalité
Conjugué
Application
Classe de qualité
Clone
-
-
Expression System
- HEK-293 Cells
-
Fonction
- KO-Validated 14-3-3 alpha/beta Recombinant Rabbit mAb
-
Réactivité croisée
- Souris, Rat
-
Purification
- Affinity Purified
-
Immunogène
- A synthesized peptide derived from human 14-3-3 alpha + beta
-
Isotype
- IgG
-
-
-
-
Indications d'application
- Western Blotting (WB): 1:1,000-1:5,000, Flow Cytometry (FCM): 1:200-1:2,000
-
Restrictions
- For Research Use only
-
-
-
Format
- Liquid
-
Buffer
- PBS (pH 7.4) containing 50% glycerol and 0.02% sodium azide.
-
Agent conservateur
- Sodium azide
-
Précaution d'utilisation
- This product contains Sodium azide: a POISONOUS AND HAZARDOUS SUBSTANCE which should be handled by trained staff only.
-
Stock
- -20 °C
-
Stockage commentaire
- Store at -20 °C for one year.
-
Date de péremption
- 12 months
-
-
- YWHAB (14-3-3 alpha + beta (YWHAB))
-
Autre désignation
- 14-3-3 alpha/beta
-
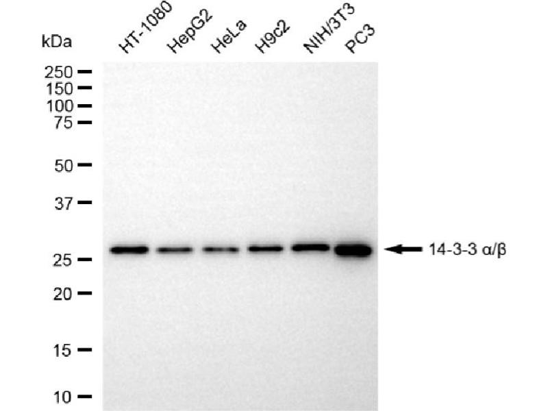
Poids moléculaire
- 28 kDa
-
ID gène
- 7529
-
UniProt
- P31946
-
Pathways
- Fc-epsilon Receptor Signaling Pathway, EGFR Signaling Pathway, Neurotrophin Signaling Pathway, Myometrial Relaxation and Contraction, Maintenance of Protein Location
Antigène
-