Tel:
+49 (0)241 95 163 153
Fax:
+49 (0)241 95 163 155
E-Mail:
orders@anticorps-enligne.fr

Recombinant Smooth Muscle Actin anticorps

L’anticorps anti-Smooth Muscle Actin Monoclonal Lapin est utilisé pour la détection de Smooth Muscle Actin dans des échantillons de Humain. Il a été validé pour WB, FACS et IF (p).
N° du produit ABIN7797465
598,92 €
Plus frais de livraison 40,00 € et TVA
100 μL
Destination: France
Envoi sous 7 à 10 jours ouvrables

Aperçu rapide pour Recombinant Smooth Muscle Actin anticorps (ABIN7797465)

Antigène

Voir toutes Smooth Muscle Actin (ACTA2) Anticorps
Smooth Muscle Actin (ACTA2) (Actin, alpha 2, Smooth Muscle, Aorta (ACTA2))

Type d'anticorp

Recombinant Antibody

Reactivité

  • 177
  • 125
  • 122
  • 34
  • 31
  • 28
  • 27
  • 18
  • 17
  • 17
  • 17
  • 16
  • 16
  • 15
  • 9
  • 7
  • 3
  • 1
Humain

Hôte

  • 95
  • 84
  • 1
  • 1
Lapin

Clonalité

  • 134
  • 47
Monoclonal

Conjugué

  • 92
  • 10
  • 6
  • 6
  • 6
  • 6
  • 6
  • 6
  • 4
  • 3
  • 3
  • 3
  • 2
  • 2
  • 2
  • 2
  • 2
  • 2
  • 2
  • 2
  • 1
  • 1
  • 1
  • 1
  • 1
  • 1
  • 1
  • 1
  • 1
  • 1
  • 1
  • 1
  • 1
  • 1
Cet anticorp Smooth Muscle Actin est non-conjugé

Application

  • 117
  • 90
  • 80
  • 66
  • 40
  • 31
  • 25
  • 23
  • 16
  • 15
  • 6
  • 3
  • 2
  • 2
  • 2
  • 1
  • 1
  • 1
Western Blotting (WB), Flow Cytometry (FACS), Immunofluorescence (Paraffin-embedded Sections) (IF (p))

Classe de qualité

KD Validated

Clone

23GB600
  • Expression System

    HEK-293 Cells

    Fonction

    KD-Validated alpha smooth muscle Actin Recombinant Rabbit mAb

     Réactivité croisée

    Souris, Rat

    Purification

    Affinity Purified

    Immunogène

    A synthesized peptide derived from human alpha smooth muscle Actin

    Isotype

    IgG
  • Indications d'application

    Western Blotting (WB): 1:2,000-1:10,000, Flow Cytometry (FCM): 1:200-1:2,000, Immunohistochemistry-Paraffin (IHC-P): 1:100-1:200

    Commentaires

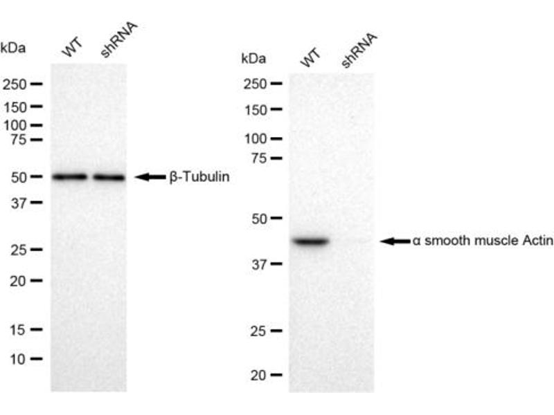
    We assess the antibodies’ specificity and selectivity using knockdown techniques. Our validation approach is straightforward: if an antibody identifies a signal in wild-type (WT) cells, but this signal is absent or noticeably reduced in gene-silenced (KD) cells, we consider the antibody to be highly specific.

    Restrictions

    For Research Use only
  • Format

    Liquid

    Buffer

    PBS (pH 7.4) containing 50% glycerol and 0.02% sodium azide.

    Agent conservateur

    Sodium azide

    Précaution d'utilisation

    This product contains Sodium azide: a POISONOUS AND HAZARDOUS SUBSTANCE which should be handled by trained staff only.

    Stock

    -20 °C

    Stockage commentaire

    Store at -20 °C for one year.

    Date de péremption

    12 months
  • Antigène

    Smooth Muscle Actin (ACTA2) (Actin, alpha 2, Smooth Muscle, Aorta (ACTA2))

    Autre désignation

    alpha smooth muscle Actin

    Poids moléculaire

    42 kDa

    ID gène

    59

    UniProt

    P62736

    Pathways

    Myometrial Relaxation and Contraction, Skeletal Muscle Fiber Development
Vous êtes ici:
Chat with us!