Tel:
+49 (0)241 95 163 153
Fax:
+49 (0)241 95 163 155
E-Mail:
orders@anticorps-enligne.fr

ARG2 anticorps

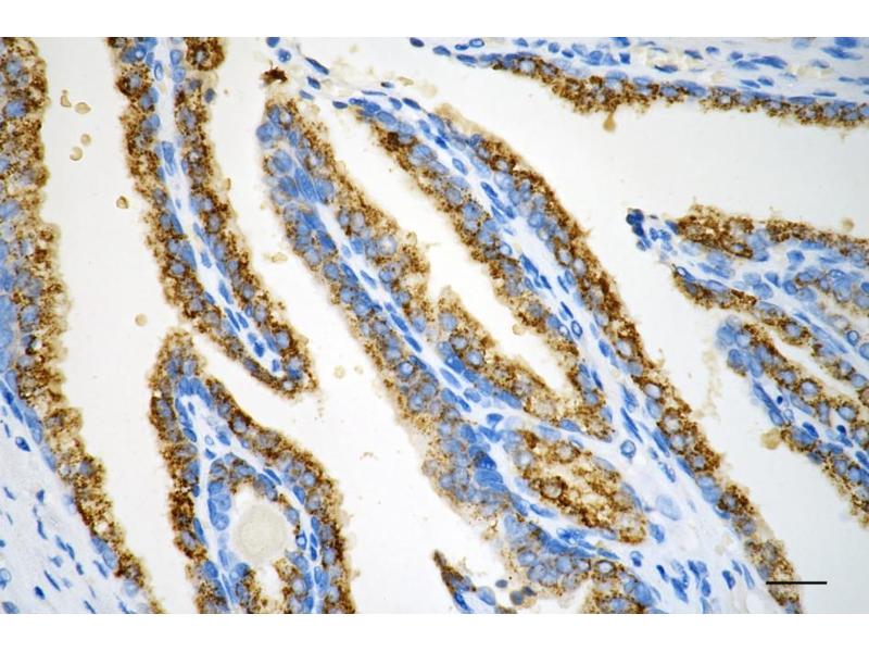
L’anticorps anti-ARG2 Polyclonal Lapin est utilisé pour la détection de ARG2 dans des échantillons de Humain. Il a été validé pour WB et IF (p).
N° du produit ABIN7797645
598,92 €
Plus frais de livraison 40,00 € et TVA
100 μL
Destination: France
Envoi sous 7 à 10 jours ouvrables

Aperçu rapide pour ARG2 anticorps (ABIN7797645)

Antigène

Voir toutes ARG2 Anticorps
ARG2 (Arginase, Type II (ARG2))

Reactivité

  • 85
  • 49
  • 29
  • 15
  • 6
  • 5
  • 5
  • 4
  • 4
  • 3
  • 2
  • 1
Humain

Hôte

  • 88
  • 19
Lapin

Clonalité

  • 76
  • 31
Polyclonal

Conjugué

  • 59
  • 13
  • 8
  • 2
  • 2
  • 2
  • 2
  • 2
  • 2
  • 2
  • 1
  • 1
  • 1
  • 1
  • 1
  • 1
  • 1
  • 1
  • 1
  • 1
  • 1
  • 1
  • 1
Cet anticorp ARG2 est non-conjugé

Application

  • 91
  • 46
  • 26
  • 23
  • 16
  • 14
  • 13
  • 12
  • 11
  • 8
  • 5
  • 4
  • 1
Western Blotting (WB), Immunofluorescence (Paraffin-embedded Sections) (IF (p))

Classe de qualité

KD Validated
  • Fonction

    KD-Validated Arginase 2 Rabbit pAb

    Purification

    Affinity Purified

    Immunogène

    A synthesized peptide derived from human Arginase 2

    Isotype

    IgG
  • Indications d'application

    Western Blotting (WB): 1:500-1:2,500, Immunohistochemistry-Paraffin (IHC-P): 1:50-1:100

    Commentaires

    We assess the antibodies’ specificity and selectivity using knockdown techniques. Our validation approach is straightforward: if an antibody identifies a signal in wild-type (WT) cells, but this signal is absent or noticeably reduced in gene-silenced (KD) cells, we consider the antibody to be highly specific.

    Restrictions

    For Research Use only
  • Format

    Liquid

    Buffer

    PBS (pH 7.4) containing 50% glycerol and 0.02% sodium azide.

    Agent conservateur

    Sodium azide

    Précaution d'utilisation

    This product contains Sodium azide: a POISONOUS AND HAZARDOUS SUBSTANCE which should be handled by trained staff only.

    Stock

    -20 °C

    Stockage commentaire

    Store at -20 °C for one year.

    Date de péremption

    12 months
  • Antigène

    ARG2 (Arginase, Type II (ARG2))

    Autre désignation

    Arginase 2

    Poids moléculaire

    39 kDa

    ID gène

    384

    UniProt

    P78540
Vous êtes ici:
Chat with us!