Tel:
+49 (0)241 95 163 153
Fax:
+49 (0)241 95 163 155
E-Mail:
orders@anticorps-enligne.fr

CNN2 anticorps

L’anticorps anti-CNN2 Monoclonal Souris est utilisé pour la détection de CNN2 dans des échantillons de Humain. Il a été validé pour WB et FACS.
N° du produit ABIN7797852
598,92 €
Plus frais de livraison 40,00 € et TVA
100 μL
Destination: France
Envoi sous 7 à 10 jours ouvrables

Aperçu rapide pour CNN2 anticorps (ABIN7797852)

Antigène

Voir toutes CNN2 Anticorps
CNN2 (Calponin 2 (CNN2))

Reactivité

  • 63
  • 35
  • 34
  • 4
  • 3
  • 3
  • 3
  • 2
  • 2
  • 2
  • 1
  • 1
  • 1
  • 1
Humain

Hôte

  • 71
  • 8
  • 1
Souris

Clonalité

  • 74
  • 6
Monoclonal

Conjugué

  • 36
  • 5
  • 4
  • 4
  • 2
  • 2
  • 2
  • 2
  • 2
  • 2
  • 2
  • 2
  • 2
  • 2
  • 2
  • 2
  • 1
  • 1
  • 1
  • 1
  • 1
  • 1
  • 1
Cet anticorp CNN2 est non-conjugé

Application

  • 54
  • 26
  • 22
  • 18
  • 15
  • 13
  • 11
  • 11
  • 6
  • 4
  • 3
  • 1
  • 1
Western Blotting (WB), Flow Cytometry (FACS)

Classe de qualité

KD Validated

Clone

25GB3960
  • Fonction

    KD-Validated CNN2 Mouse mAb

    Purification

    Affinity Purified

    Immunogène

    Recombinant protein of human CNN2

    Isotype

    IgG1
  • Indications d'application

    Western Blotting (WB): 1:500-1:2,500, Flow Cytometry (FCM): 1:100-1:1,000

    Commentaires

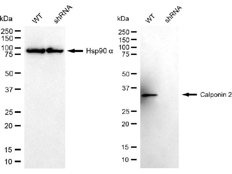
    We assess the antibodies’ specificity and selectivity using knockdown techniques. Our validation approach is straightforward: if an antibody identifies a signal in wild-type (WT) cells, but this signal is absent or noticeably reduced in gene-silenced (KD) cells, we consider the antibody to be highly specific.

    Restrictions

    For Research Use only
  • Format

    Liquid

    Buffer

    PBS (pH 7.4) containing 50% glycerol and 0.02% sodium azide.

    Agent conservateur

    Sodium azide

    Précaution d'utilisation

    This product contains Sodium azide: a POISONOUS AND HAZARDOUS SUBSTANCE which should be handled by trained staff only.

    Stock

    -20 °C

    Stockage commentaire

    Store at -20 °C for one year.

    Date de péremption

    12 months
  • Antigène

    CNN2 (Calponin 2 (CNN2))

    Autre désignation

    CNN2

    Poids moléculaire

    34 kDa

    ID gène

    1265

    UniProt

    Q99439
Vous êtes ici:
Chat with us!