ERLIN1 anticorps
Aperçu rapide pour ERLIN1 anticorps (ABIN7798490)
Antigène
Voir toutes ERLIN1 AnticorpsReactivité
Hôte
Clonalité
Conjugué
Application
Clone
-
-
Fonction
- ERLIN1 Mouse mAb
-
Réactivité croisée
- Souris, Rat
-
Purification
- Affinity Purified
-
Immunogène
- Recombinant protein of human ERLIN1
-
Isotype
- IgG1
-
-
-
-
Indications d'application
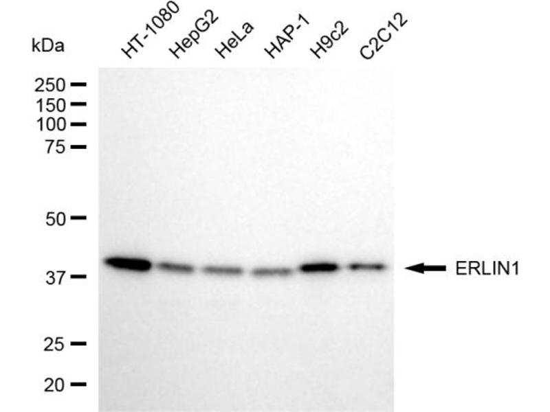
- Western Blotting (WB): 1:1,000-1:2,500
-
Restrictions
- For Research Use only
-
-
-
Format
- Liquid
-
Buffer
- PBS (pH 7.4) containing 50% glycerol and 0.02% sodium azide.
-
Agent conservateur
- Sodium azide
-
Précaution d'utilisation
- This product contains Sodium azide: a POISONOUS AND HAZARDOUS SUBSTANCE which should be handled by trained staff only.
-
Stock
- -20 °C
-
Stockage commentaire
- Store at -20 °C for one year.
-
Date de péremption
- 12 months
-
-
- ERLIN1 (ER Lipid Raft Associated 1 (ERLIN1))
-
Autre désignation
- ERLIN1
-
Poids moléculaire
- 39 kDa
-
ID gène
- 10613
-
UniProt
- O75477
Antigène
-