Tel:
+49 (0)241 95 163 153
Fax:
+49 (0)241 95 163 155
E-Mail:
orders@anticorps-enligne.fr

Myosin 9 anticorps

Cet anticorps Souris Monoclonal détecte spécifiquement Myosin 9 dans WB, FACS et IF (p). Il présente une réactivité avec des échantillons de Humain.
N° du produit ABIN7799519
598,92 €
Plus frais de livraison 40,00 € et TVA
100 μL
Destination: France
Envoi sous 7 à 10 jours ouvrables

Aperçu rapide pour Myosin 9 anticorps (ABIN7799519)

Antigène

Voir toutes Myosin 9 (MYH9) Anticorps
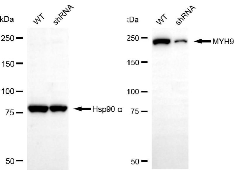
Myosin 9 (MYH9)

Reactivité

  • 77
  • 23
  • 17
  • 3
  • 2
  • 2
  • 1
  • 1
  • 1
  • 1
Humain

Hôte

  • 62
  • 13
  • 2
  • 1
  • 1
Souris

Clonalité

  • 53
  • 26
Monoclonal

Conjugué

  • 44
  • 6
  • 5
  • 5
  • 2
  • 2
  • 2
  • 2
  • 2
  • 2
  • 2
  • 2
  • 1
  • 1
  • 1
Cet anticorp Myosin 9 est non-conjugé

Application

  • 58
  • 39
  • 27
  • 18
  • 14
  • 11
  • 9
  • 6
  • 3
  • 2
  • 1
  • 1
  • 1
Western Blotting (WB), Flow Cytometry (FACS), Immunofluorescence (Paraffin-embedded Sections) (IF (p))

Classe de qualité

KD Validated

Clone

24GB14220
  • Fonction

    KD-Validated MYH9 Mouse mAb

    Purification

    Affinity Purified

    Immunogène

    Recombinant protein of human MYH9

    Isotype

    IgG2a
  • Indications d'application

    Western Blotting (WB): 1:400-1:2,000, Flow Cytometry (FCM): 1:100-1:1,000, Immunohistochemistry-Paraffin (IHC-P): 1:500-1:1,000

    Commentaires

    We assess the antibodies’ specificity and selectivity using knockdown techniques. Our validation approach is straightforward: if an antibody identifies a signal in wild-type (WT) cells, but this signal is absent or noticeably reduced in gene-silenced (KD) cells, we consider the antibody to be highly specific.

    Restrictions

    For Research Use only
  • Format

    Liquid

    Buffer

    PBS (pH 7.4) containing 50% glycerol and 0.02% sodium azide.

    Agent conservateur

    Sodium azide

    Précaution d'utilisation

    This product contains Sodium azide: a POISONOUS AND HAZARDOUS SUBSTANCE which should be handled by trained staff only.

    Stock

    -20 °C

    Stockage commentaire

    Store at -20 °C for one year.

    Date de péremption

    12 months
  • Antigène

    Myosin 9 (MYH9)

    Autre désignation

    MYH9

    Poids moléculaire

    227 kDa

    ID gène

    4627

    UniProt

    P35579

    Pathways

    Regulation of G-Protein Coupled Receptor Protein Signaling, Integrin Complex
Vous êtes ici:
Chat with us!