Recombinant ROCK1 anticorps
Aperçu rapide pour Recombinant ROCK1 anticorps (ABIN7800201)
Antigène
Voir toutes ROCK1 AnticorpsType d'anticorp
Reactivité
Hôte
Clonalité
Conjugué
Application
Classe de qualité
Clone
-
-
Expression System
- HEK-293 Cells
-
Fonction
- KD-Validated ROCK1 Recombinant Rabbit mAb
-
Réactivité croisée
- Souris, Rat
-
Purification
- Affinity Purified
-
Immunogène
- A synthesized peptide derived from human ROCK1
-
Isotype
- IgG
-
-
-
-
Indications d'application
- Western blotting (WB): 1:1,000-1:5,000, Flow Cytometry (FCM): 1:200-1:2,000
-
Commentaires
-
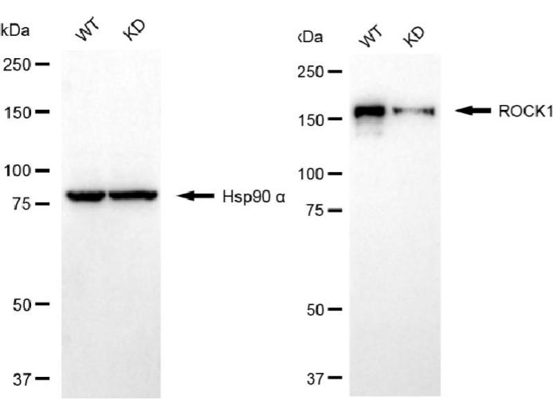
We assess the antibodies’ specificity and selectivity using knockdown techniques. Our validation approach is straightforward: if an antibody identifies a signal in wild-type (WT) cells, but this signal is absent or noticeably reduced in gene-silenced (KD) cells, we consider the antibody to be highly specific.
-
Restrictions
- For Research Use only
-
-
-
Format
- Liquid
-
Buffer
- PBS (pH 7.4) containing 50% glycerol and 0.02% sodium azide.
-
Agent conservateur
- Sodium azide
-
Précaution d'utilisation
- This product contains Sodium azide: a POISONOUS AND HAZARDOUS SUBSTANCE which should be handled by trained staff only.
-
Stock
- -20 °C
-
Stockage commentaire
- Store at -20 °C for one year.
-
Date de péremption
- 12 months
-
-
- ROCK1 (rho-Associated, Coiled-Coil Containing Protein Kinase 1 (ROCK1))
-
Autre désignation
- ROCK1
-
Poids moléculaire
- 158 kDa
-
ID gène
- 6093
-
UniProt
- Q13464
-
Pathways
- Dynamique des Microtubules, Signalisation WNT, M Phase, Maintenance of Protein Location, Signaling Events mediated by VEGFR1 and VEGFR2, Thromboxane A2 Receptor Signaling
Antigène
-