Recombinant WIPI1 anticorps
Aperçu rapide pour Recombinant WIPI1 anticorps (ABIN7800858)
Antigène
Voir toutes WIPI1 AnticorpsType d'anticorp
Reactivité
Hôte
Clonalité
Conjugué
Application
Clone
-
-
Expression System
- HEK-293 Cells
-
Fonction
- WIPI1 Recombinant Rabbit mAb
-
Réactivité croisée
- Souris, Rat
-
Purification
- Affinity Purified
-
Immunogène
- A synthesized peptide derived from human WIPI1
-
Isotype
- IgG
-
-
-
-
Indications d'application
- Western Blotting (WB): 1:1,000-1:5,000, Flow Cytometry (FCM): 1:200-1:2,000
-
Restrictions
- For Research Use only
-
-
-
Format
- Liquid
-
Buffer
- PBS (pH 7.4) containing 50% glycerol and 0.02% sodium azide.
-
Agent conservateur
- Sodium azide
-
Précaution d'utilisation
- This product contains Sodium azide: a POISONOUS AND HAZARDOUS SUBSTANCE which should be handled by trained staff only.
-
Stock
- -20 °C
-
Stockage commentaire
- Store at -20 °C for one year.
-
Date de péremption
- 12 months
-
-
- WIPI1 (WD Repeat Domain, phosphoinositide Interacting 1 (WIPI1))
-
Autre désignation
- WIPI1
-
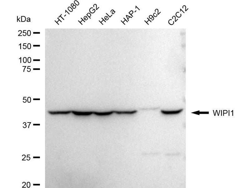
Poids moléculaire
- 49 kDa
-
ID gène
- 55062
-
UniProt
- Q5MNZ9
-
Pathways
- Nuclear Hormone Receptor Binding, ER-Nucleus Signaling
Antigène
-