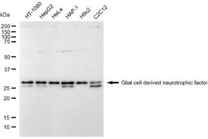
GDNF anticorps
Aperçu rapide pour GDNF anticorps (ABIN7802178)
Antigène
Voir toutes GDNF AnticorpsReactivité
Hôte
Clonalité
Conjugué
Application
-
-
Fonction
- Anti-GDNF Polyclonal antibody
-
Attributs du produit
- IgG
-
Isotype
- IgG
-
-
-
-
Restrictions
- For Research Use only
-
-
-
Format
- Liquid
-
Buffer
- 0.01M PBS, pH 7.4, 50 % Glycerol, 0.05 % Proclin 300.
-
Agent conservateur
- ProClin
-
Précaution d'utilisation
- This product contains ProClin: a POISONOUS AND HAZARDOUS SUBSTANCE which should be handled by trained staff only.
-
Conseil sur la manipulation
- Avoid repeated freeze-thaw cycles
-
Stock
- 4 °C,-20 °C,-80 °C
-
Stockage commentaire
- 4°C for short term (1 week), store at -20°C to -80°C for long term(1 year), Avoid repeated freeze-thaw cycles
-
Date de péremption
- 12 months
-
-
- GDNF (Glial Cell Line Derived Neurotrophic Factor (GDNF))
-
Autre désignation
- GDNF
-
Sujet
- Anti-GDNF
-
UniProt
- P39905
-
Pathways
- Signalisation RTK, Synaptic Membrane, Tube Formation, Autophagy, Smooth Muscle Cell Migration
Antigène
-