Tel:
+49 (0)241 95 163 153
Fax:
+49 (0)241 95 163 155
E-Mail:
orders@anticorps-enligne.fr

IL12RB2 anticorps (AA 301-400)

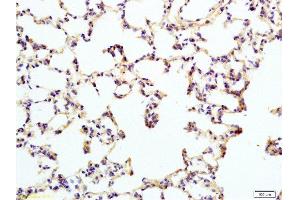
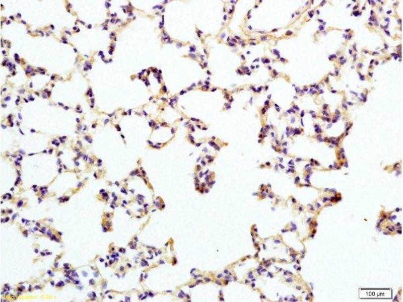
Il existe 1 publication pour ce produit. L’anticorps anti-IL12RB2 Polyclonal Lapin est utilisé pour la détection de IL12RB2 dans des échantillons de Humain. Il a été validé pour WB, ELISA, IF (cc), IF (p) et IHC (fro).
N° du produit ABIN747878
357,70 €
Plus frais de livraison 40,00 € et TVA
100 μL
Destination: France
Envoi sous 8 à 12 jours ouvrables

Aperçu rapide pour IL12RB2 anticorps (AA 301-400) (ABIN747878)

Antigène

Voir toutes IL12RB2 Anticorps
IL12RB2 (Interleukin 12 Receptor, beta 2 (IL12RB2))

Reactivité

  • 49
  • 9
Humain

Hôte

  • 41
  • 11
  • 1
  • 1
Lapin

Clonalité

  • 44
  • 10
Polyclonal

Conjugué

  • 30
  • 5
  • 5
  • 3
  • 3
  • 2
  • 1
  • 1
  • 1
  • 1
  • 1
  • 1
Cet anticorp IL12RB2 est non-conjugé

Application

  • 35
  • 19
  • 17
  • 17
  • 6
  • 5
  • 3
  • 2
  • 2
  • 1
Western Blotting (WB), ELISA, Immunofluorescence (Cultured Cells) (IF (cc)), Immunofluorescence (Paraffin-embedded Sections) (IF (p)), Immunohistochemistry (Frozen Sections) (IHC (fro))
  • Épitope

    • 10
    • 6
    • 5
    • 4
    • 3
    • 3
    • 2
    • 2
    • 2
    • 2
    • 2
    • 1
    • 1
    • 1
    • 1
    • 1
    AA 301-400

     Réactivité croisée

    Humain

    Homologie

    Mouse,Rat,Cow,Pig,Horse,Chicken,Rabbit

    Purification

    Purified by Protein A.

    Immunogène

    KLH conjugated synthetic peptide derived from human IL-12RB2

    Isotype

    IgG
  • Indications d'application

    WB 1:300-5000
    ELISA 1:500-1000
    IHC-F 1:100-500
    IF(IHC-P) 1:50-200
    IF(IHC-F) 1:50-200
    IF(ICC) 1:50-200

    Restrictions

    For Research Use only
  • Format

    Liquid

    Concentration

    1 μg/μL

    Buffer

    0.01M TBS( pH 7.4) with 1 % BSA, 0.02 % Proclin300 and 50 % Glycerol.

    Agent conservateur

    ProClin

    Précaution d'utilisation

    This product contains ProClin: a POISONOUS AND HAZARDOUS SUBSTANCE, which should be handled by trained staff only.

    Stock

    4 °C,-20 °C

    Stockage commentaire

    Shipped at 4°C. Store at -20°C for one year. Avoid repeated freeze/thaw cycles.

    Date de péremption

    12 months
  • Filková, Vernerová, Hulejová, Prajzlerová, Veigl, Pavelka, Vencovský, Šenolt: "Pro-inflammatory effects of interleukin-35 in rheumatoid arthritis." dans: Cytokine, Vol. 73, Issue 1, pp. 36-43, (2015) (PubMed).

  • Antigène

    IL12RB2 (Interleukin 12 Receptor, beta 2 (IL12RB2))

    Autre désignation

    IL12RB2

    Sujet

    Synonyms: Interleukin-12 receptor subunit beta-2, IL-12 receptor subunit beta-2, IL-12R subunit beta-2, IL-12R-beta-2, IL-12RB2, IL12RB2

    Background: Receptor for interleukin-12. This subunit is the signaling component coupling to the JAK2/STAT4 pathway. Promotes the proliferation of T-cells as well as NK cells. Induces the promotion of T-cells towards the Th1 phenotype by strongly enhancing IFN-gamma production.

    ID gène

    3595

    UniProt

    Q99665

    Pathways

    Signalistation JAK/STAT
Vous êtes ici:
Chat with us!