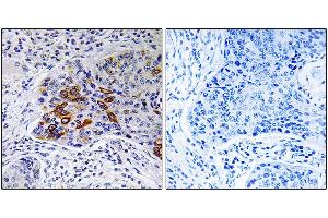
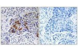
ADCY9 anticorps (AA 251-350) (Cy3)
Aperçu rapide pour ADCY9 anticorps (AA 251-350) (Cy3) (ABIN751246)
Antigène
Voir toutes ADCY9 AnticorpsReactivité
Hôte
Clonalité
Conjugué
Application
-
-
Épitope
- AA 251-350
-
Réactivité croisée
- Souris, Rat
-
Homologie
- Human,Dog,Cow,Horse,Chicken,Rabbit
-
Purification
- Purified by Protein A.
-
Immunogène
- KLH conjugated synthetic peptide derived from human ADCY9
-
Isotype
- IgG
-
-
-
-
Indications d'application
-
IF(IHC-P) 1:50-200
IF(IHC-F) 1:50-200
IF(ICC) 1:50-200 -
Restrictions
- For Research Use only
-
-
-
Format
- Liquid
-
Concentration
- 1 μg/μL
-
Buffer
- Aqueous buffered solution containing 0.01M TBS ( pH 7.4) with 1 % BSA, 0.03 % Proclin300 and 50 % Glycerol.
-
Agent conservateur
- ProClin
-
Précaution d'utilisation
- This product contains ProClin: a POISONOUS AND HAZARDOUS SUBSTANCE, which should be handled by trained staff only.
-
Stock
- -20 °C
-
Stockage commentaire
- Store at -20°C. Aliquot into multiple vials to avoid repeated freeze-thaw cycles.
-
Date de péremption
- 12 months
-
-
- ADCY9 (Adenylate Cyclase 9 (ADCY9))
-
Autre désignation
- ADCY9
-
Sujet
-
Synonyms: AC9, Adenylate cyclase type 9, ATP pyrophosphate-lyase 9, Adenylate cyclase type IX, Adenylyl cyclase 9, ADCY9, KIAA0520
Background: May play a fundamental role in situations where fine interplay between intracellular calcium and cAMP determines the cellular function. May be a physiologically relevant docking site for calcineurin (By similarity).
-
ID gène
- 115
-
UniProt
- O60503
-
Pathways
- EGFR Signaling Pathway, Neurotrophin Signaling Pathway, Thyroid Hormone Synthesis, cAMP Metabolic Process, Myometrial Relaxation and Contraction, G-protein mediated Events, Interaction of EGFR with phospholipase C-gamma
Antigène
-