Tel:
+49 (0)241 95 163 153
Fax:
+49 (0)241 95 163 155
E-Mail:
orders@anticorps-enligne.fr

NPM1 anticorps

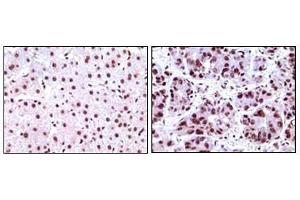
Cet anticorps Souris Monoclonal détecte spécifiquement NPM1 dans WB, IHC, IF et ELISA. Il présente une réactivité avec des échantillons de Humain.
N° du produit ABIN932935
1.086,94 €
Plus frais de livraison 40,00 € et TVA
100 μL
Destination: France
Envoi sous 13 à 17 jours ouvrables

Aperçu rapide pour NPM1 anticorps (ABIN932935)

Antigène

Voir toutes NPM1 Anticorps
NPM1 (Nucleophosmin (Nucleolar phosphoprotein B23, Numatrin) (NPM1))

Reactivité

  • 216
  • 113
  • 84
  • 12
  • 12
  • 10
  • 9
  • 9
  • 8
  • 3
  • 3
  • 2
  • 1
  • 1
Humain

Hôte

  • 157
  • 83
  • 1
Souris

Clonalité

  • 130
  • 112
Monoclonal

Conjugué

  • 125
  • 19
  • 5
  • 5
  • 5
  • 5
  • 5
  • 5
  • 5
  • 5
  • 3
  • 3
  • 3
  • 3
  • 3
  • 3
  • 3
  • 3
  • 3
  • 3
  • 3
  • 3
  • 3
  • 3
  • 3
  • 3
  • 3
  • 3
  • 2
  • 2
Cet anticorp NPM1 est non-conjugé

Application

  • 188
  • 147
  • 86
  • 52
  • 49
  • 43
  • 31
  • 28
  • 27
  • 24
  • 16
  • 7
  • 3
  • 3
  • 3
  • 2
  • 2
  • 2
  • 1
Western Blotting (WB), Immunohistochemistry (IHC), Immunofluorescence (IF), ELISA

Clone

7H10B9
Vous êtes ici:
Chat with us!