Tel:
+49 (0)241 95 163 153
Fax:
+49 (0)241 95 163 155
E-Mail:
orders@anticorps-enligne.fr

CDK9 anticorps

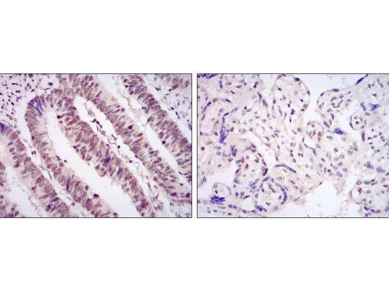
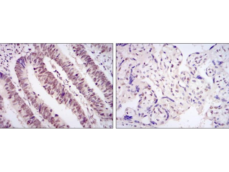
Cité dans 2 publications. Cet anticorps anti-CDK9 Monoclonal Souris (Clone 1B5A7) (ABIN969042) détecte spécifiquement CDK9 dans WB, ELISA et IHC. L’anticorps est réactif avec des échantillons de Humain.
N° du produit ABIN969042
657,84 €
Plus frais de livraison 40,00 € et TVA
100 μL
Destination: France
Envoi sous 7 à 10 jours ouvrables

Aperçu rapide pour CDK9 anticorps (ABIN969042)

Antigène

Voir toutes CDK9 Anticorps
CDK9 (Cyclin-Dependent Kinase 9 (CDK9))

Reactivité

  • 109
  • 49
  • 23
  • 7
  • 6
  • 6
  • 5
  • 3
  • 1
  • 1
  • 1
Humain

Hôte

  • 106
  • 3
  • 2
Souris

Clonalité

  • 85
  • 26
Monoclonal

Conjugué

  • 47
  • 6
  • 4
  • 4
  • 4
  • 4
  • 4
  • 4
  • 4
  • 3
  • 2
  • 2
  • 2
  • 2
  • 2
  • 2
  • 2
  • 2
  • 2
  • 2
  • 2
  • 2
  • 1
  • 1
  • 1
Cet anticorp CDK9 est non-conjugé

Application

  • 86
  • 27
  • 27
  • 26
  • 25
  • 21
  • 19
  • 16
  • 16
  • 12
  • 8
  • 1
  • 1
  • 1
Western Blotting (WB), ELISA, Immunohistochemistry (IHC)

Clone

1B5A7
  • Fonction

    CDK9 Antibody

    Purification

    Ascitic fluid

    Immunogène

    Purified recombinant fragment of human CDK9 expressed in E. Coli.

    Isotype

    IgG1
  • Indications d'application

    ELISA: 1/10000

    Restrictions

    For Research Use only
  • Format

    Liquid

    Buffer

    Ascitic fluid containing 0.03 % sodium azide.

    Agent conservateur

    Sodium azide

    Précaution d'utilisation

    This product contains Sodium azide: a POISONOUS AND HAZARDOUS SUBSTANCE which should be handled by trained staff only.

    Stock

    4 °C,-20 °C

    Stockage commentaire

    Store at 4°C short term. Aliquot and store at -20°C long term. Avoid freeze/thaw cycles.
  • Montanuy, Torremocha, Hernández-Munain, Suñé: "Promoter influences transcription elongation: TATA-box element mediates the assembly of processive transcription complexes responsive to cyclin-dependent kinase 9." dans: The Journal of biological chemistry, Vol. 283, Issue 12, pp. 7368-78, (2008) (PubMed).

    Sabò, Lusic, Cereseto, Giacca: "Acetylation of conserved lysines in the catalytic core of cyclin-dependent kinase 9 inhibits kinase activity and regulates transcription." dans: Molecular and cellular biology, Vol. 28, Issue 7, pp. 2201-12, (2008) (PubMed).

  • Antigène

    CDK9 (Cyclin-Dependent Kinase 9 (CDK9))

    Autre désignation

    CDK9

    Sujet

    The protein encoded by this gene is a member of the cyclin-dependent protein kinase (CDK) family. CDK family members are highly similar to the gene products of S. cerevisiae cdc28, and S. pombe cdc2, and known as important cell cycle regulators. This kinase was found to be a component of the multiprotein complex TAK/P-TEFb, which is an elongation factor for RNA polymerase II-directed transcription and functions by phosphorylating the C-terminal domain of the largest subunit of RNA polymerase II. This protein forms a complex with and is regulated by its regulatory subunit cyclin T or cyclin K. HIV-1 Tat protein was found to interact with this protein and cyclin T, which suggested a possible involvement of this protein in AIDS. (provided by RefSeq)Tissue specificity: Ubiquitous.

    Poids moléculaire

    43 kDa

    UniProt

    P50750

    Pathways

    Cycle Cellulaire
Vous êtes ici:
Chat with us!