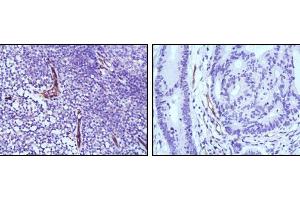
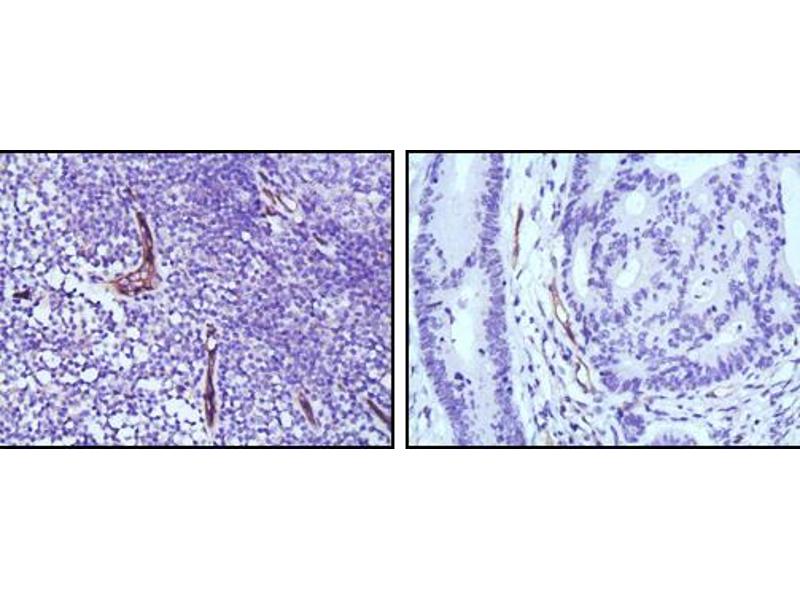
Cet anticorps Souris Monoclonal détecte spécifiquement ENOS dans ELISA et IHC. Il présente une réactivité avec des échantillons de Humain. Il a été cité dans 2+ publications.
This product contains Sodium azide: a POISONOUS AND HAZARDOUS SUBSTANCE which should be handled by trained staff only.
Stock
4 °C,-20 °C
Stockage commentaire
Store at 4°C short term. Aliquot and store at -20°C long term. Avoid freeze/thaw cycles.
Moreno: "Genetic polymorphisms and haplotypes of eNOS in breast cancer." dans: Breast cancer research and treatment, Vol. 109, Issue 1, pp. 181-2, (2008) (PubMed).
Lahiri, Martin: "Reduced expression of endothelial and inducible nitric oxide synthase in a multidrug resistant variant of the MCF-7 human breast cancer cell line." dans: Oncology reports, Vol. 12, Issue 5, pp. 1007-11, (2004) (PubMed).
Endothelial nitric-oxide synthase (eNOS), also known as NOS3, it is an important enzyme in the cardiovascular system. It is a reactive free radical which acts as a biologic mediator in several processes, including neurotransmission and antimicrobial and antitumoral activities. Nitric oxide is synthesized from L-arginine by nitric oxide synthases. Variations in this gene are associated with susceptibility to coronary spasm.