Tel:
+49 (0)241 95 163 153
Fax:
+49 (0)241 95 163 155
E-Mail:
orders@anticorps-enligne.fr

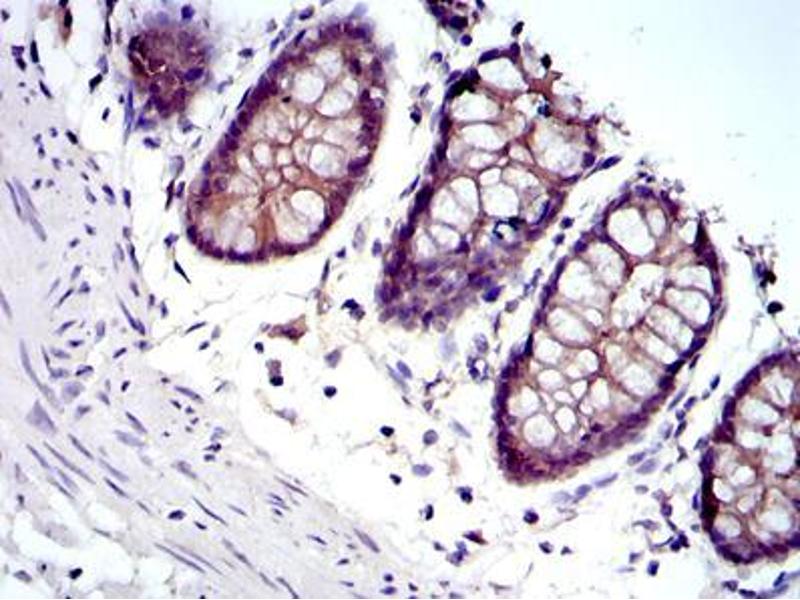
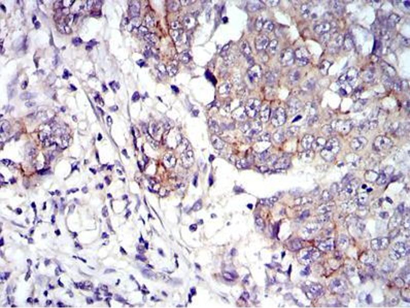
JUP anticorps

Cité dans 1 publication. Cet anticorps anti-JUP Monoclonal Souris (Clone 4C12) (ABIN969225) détecte spécifiquement JUP dans WB, IHC, ELISA et ICC. L’anticorps est réactif avec des échantillons de Humain.
N° du produit ABIN969225
657,84 €
Plus frais de livraison 40,00 € et TVA
100 μL
Destination: France
Envoi sous 7 à 10 jours ouvrables

Aperçu rapide pour JUP anticorps (ABIN969225)

Antigène

Voir toutes JUP Anticorps
JUP (Junction Plakoglobin (JUP))

Reactivité

  • 180
  • 83
  • 74
  • 35
  • 34
  • 26
  • 23
  • 4
  • 2
  • 1
  • 1
  • 1
Humain

Hôte

  • 110
  • 70
  • 2
  • 1
Souris

Clonalité

  • 101
  • 82
Monoclonal

Conjugué

  • 75
  • 13
  • 6
  • 5
  • 5
  • 5
  • 5
  • 5
  • 5
  • 5
  • 4
  • 3
  • 3
  • 3
  • 3
  • 3
  • 3
  • 3
  • 3
  • 2
  • 2
  • 2
  • 2
  • 2
  • 2
  • 2
  • 2
  • 2
  • 2
  • 2
  • 1
  • 1
  • 1
  • 1
Cet anticorp JUP est non-conjugé

Application

  • 123
  • 81
  • 60
  • 46
  • 32
  • 26
  • 26
  • 24
  • 23
  • 19
  • 10
  • 4
  • 2
  • 2
  • 1
  • 1
  • 1
Western Blotting (WB), Immunohistochemistry (IHC), ELISA, Immunocytochemistry (ICC)

Clone

4C12
  • Fonction

    JUP Antibody

    Purification

    Ascitic fluid

    Immunogène

    Purified recombinant fragment of human JUP expressed in E. Coli.

    Isotype

    IgG1
  • Indications d'application

    ELISA: 1/10000

    ICC: 1/200 - 1/1000

    Restrictions

    For Research Use only
  • Format

    Liquid

    Buffer

    Ascitic fluid containing 0.03 % sodium azide.

    Agent conservateur

    Sodium azide

    Précaution d'utilisation

    This product contains Sodium azide: a POISONOUS AND HAZARDOUS SUBSTANCE which should be handled by trained staff only.

    Stock

    4 °C,-20 °C

    Stockage commentaire

    Store at 4°C short term. Aliquot and store at -20°C long term. Avoid freeze/thaw cycles.
  • Shair, Schnegg, Raab-Traub: "Epstein-Barr virus latent membrane protein-1 effects on junctional plakoglobin and induction of a cadherin switch." dans: Cancer research, Vol. 69, Issue 14, pp. 5734-42, (2009) (PubMed).

  • Antigène

    JUP (Junction Plakoglobin (JUP))

    Autre désignation

    JUP

    Sujet

    This gene encodes a major cytoplasmic protein which is the only known constituent common to submembranous plaques of both desmosomes and intermediate junctions. This protein forms distinct complexes with cadherins and desmosomal cadherins and is a member of the catenin family since it contains a distinct repeating amino acid motif called the armadillo repeat. Mutation in this gene has been associated with Naxos disease. Alternative splicing occurs in this gene, however, not all transcripts have been fully described.

    Poids moléculaire

    82 kDa

    ID gène

    3728

    UniProt

    P14923

    Pathways

    Cell-Cell Junction Organization, Maintenance of Protein Location
Vous êtes ici:
Chat with us!