Tel:
+49 (0)241 95 163 153
Fax:
+49 (0)241 95 163 155
E-Mail:
orders@anticorps-enligne.fr

Prohibitin anticorps

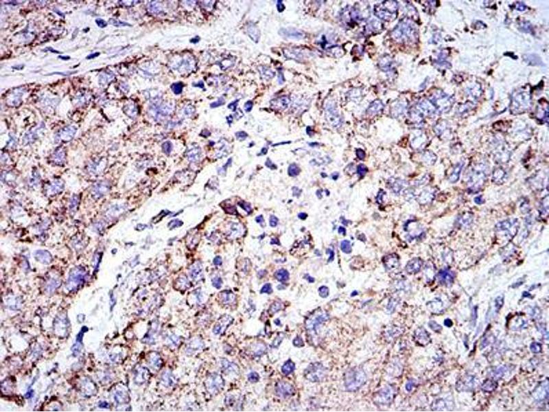
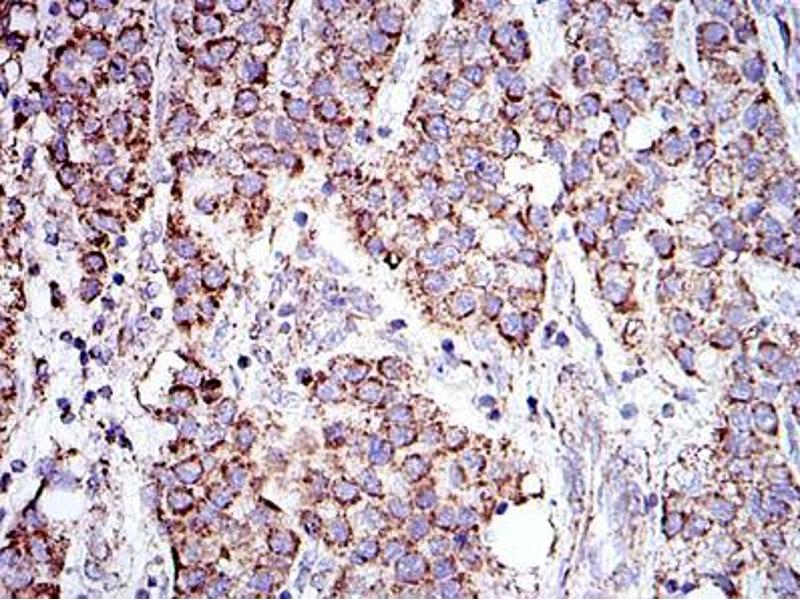
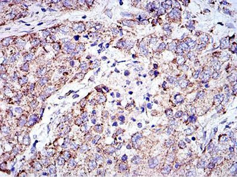
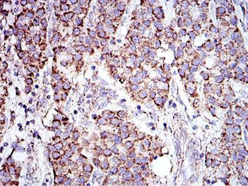
Il existe 2+ publications pour ce produit. L’anticorps anti-Prohibitin Monoclonal Souris est utilisé pour la détection de Prohibitin dans des échantillons de Humain, Souris, Rat et Singe. Il a été validé pour WB, IHC, ELISA, FACS et ICC.
N° du produit ABIN969353
657,84 €
Plus frais de livraison 40,00 € et TVA
100 μL
Destination: France
Envoi sous 7 à 10 jours ouvrables

Aperçu rapide pour Prohibitin anticorps (ABIN969353)

Antigène

Voir toutes Prohibitin (PHB) Anticorps
Prohibitin (PHB)

Reactivité

  • 201
  • 82
  • 79
  • 11
  • 7
  • 6
  • 6
  • 5
  • 5
  • 5
  • 5
  • 3
  • 3
  • 2
  • 1
  • 1
  • 1
  • 1
  • 1
Humain, Souris, Rat, Singe

Hôte

  • 129
  • 73
Souris

Clonalité

  • 106
  • 96
Monoclonal

Conjugué

  • 78
  • 19
  • 6
  • 6
  • 6
  • 6
  • 6
  • 6
  • 6
  • 6
  • 5
  • 5
  • 5
  • 5
  • 5
  • 5
  • 4
  • 4
  • 3
  • 2
  • 2
  • 1
  • 1
  • 1
  • 1
  • 1
  • 1
  • 1
  • 1
  • 1
  • 1
  • 1
  • 1
Cet anticorp Prohibitin est non-conjugé

Application

  • 153
  • 117
  • 53
  • 51
  • 41
  • 38
  • 21
  • 19
  • 18
  • 14
  • 13
  • 6
  • 6
  • 5
  • 4
  • 2
  • 2
  • 1
  • 1
Western Blotting (WB), Immunohistochemistry (IHC), ELISA, Flow Cytometry (FACS), Immunocytochemistry (ICC)

Clone

5H7
  • Fonction

    PHB Antibody

    Purification

    Ascitic fluid

    Immunogène

    Purified recombinant fragment of human PHB expressed in E. Coli.

    Isotype

    IgG1
  • Indications d'application

    ELISA: 1/10000

    FCM: 1/200 - 1/400

    ICC: 1/200 - 1/1000

    Restrictions

    For Research Use only
  • Format

    Liquid

    Buffer

    Ascitic fluid containing 0.03 % sodium azide.

    Agent conservateur

    Sodium azide

    Précaution d'utilisation

    This product contains Sodium azide: a POISONOUS AND HAZARDOUS SUBSTANCE which should be handled by trained staff only.

    Stock

    4 °C,-20 °C

    Stockage commentaire

    Store at 4°C short term. Aliquot and store at -20°C long term. Avoid freeze/thaw cycles.
  • Shi, Li, Liu, Xu, Tang, Liang, Zhao, Yang: "Nuclear matrix protein, prohibitin, was down-regulated and translocated from nucleus to cytoplasm during the differentiation of osteosarcoma MG-63 cells induced by ginsenoside Rg1, cinnamic acid, and tanshinone IIA (RCT)." dans: Journal of cellular biochemistry, Vol. 108, Issue 4, pp. 926-34, (2009) (PubMed).

    Ande, Mishra: "Prohibitin interacts with phosphatidylinositol 3,4,5-triphosphate (PIP3) and modulates insulin signaling." dans: Biochemical and biophysical research communications, Vol. 390, Issue 3, pp. 1023-8, (2009) (PubMed).

  • Antigène

    Prohibitin (PHB)

    Autre désignation

    PHB

    Sujet

    Prohibitin is an evolutionarily conserved gene that is ubiquitously expressed. It is thought to be a negative regulator of cell proliferation and may be a tumor suppressor. Mutations in PHB have been linked to sporadic breast cancer. Prohibitin is expressed as two transcripts with varying lengths of 3' untranslated region. The longer transcript is present at higher levels in proliferating tissues and cells, suggesting that this longer 3' untranslated region may function as a trans-acting regulatory RNA.

    Poids moléculaire

    30 kDa

    ID gène

    5245

    UniProt

    P35232

    Pathways

    Intracellular Steroid Hormone Receptor Signaling Pathway, Regulation of Intracellular Steroid Hormone Receptor Signaling
Vous êtes ici:
Chat with us!