Tel:
+49 (0)241 95 163 153
Fax:
+49 (0)241 95 163 155
E-Mail:
orders@anticorps-enligne.fr

SOX2 anticorps

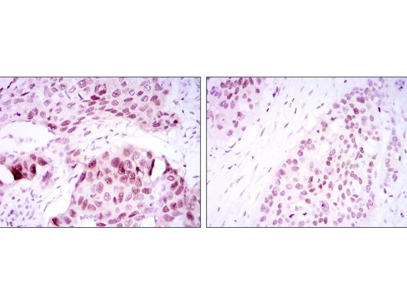
Cité dans 3 publications. Cet anticorps anti-SOX2 Monoclonal Souris (Clone 10F10) (ABIN969414) détecte spécifiquement SOX2 dans IHC, ELISA et ICC. L’anticorps est réactif avec des échantillons de Humain.
N° du produit ABIN969414
455,40 €
Plus frais de livraison 40,00 € et TVA
100 μL
Destination: France
Envoi sous 7 à 10 jours ouvrables

Aperçu rapide pour SOX2 anticorps (ABIN969414)

Antigène

Voir toutes SOX2 Anticorps
SOX2 (SRY (Sex Determining Region Y)-Box 2 (SOX2))

Reactivité

  • 234
  • 129
  • 72
  • 21
  • 13
  • 11
  • 10
  • 10
  • 8
  • 8
  • 7
  • 7
  • 5
  • 5
  • 2
  • 2
  • 1
  • 1
  • 1
Humain

Hôte

  • 183
  • 59
  • 2
Souris

Clonalité

  • 160
  • 84
Monoclonal

Conjugué

  • 117
  • 14
  • 13
  • 10
  • 6
  • 6
  • 4
  • 4
  • 4
  • 3
  • 3
  • 3
  • 3
  • 3
  • 3
  • 3
  • 3
  • 3
  • 3
  • 3
  • 3
  • 3
  • 3
  • 3
  • 3
  • 3
  • 3
  • 3
  • 3
  • 3
  • 1
  • 1
  • 1
Cet anticorp SOX2 est non-conjugé

Application

  • 174
  • 97
  • 77
  • 54
  • 52
  • 40
  • 40
  • 37
  • 24
  • 22
  • 20
  • 18
  • 16
  • 12
  • 4
  • 4
  • 3
  • 3
  • 2
  • 1
  • 1
  • 1
  • 1
  • 1
  • 1
Immunohistochemistry (IHC), ELISA, Immunocytochemistry (ICC)

Clone

10F10
  • Fonction

    SOX2 Antibody

    Purification

    Ascitic fluid

    Immunogène

    Purified recombinant fragment of human SOX2 expressed in E. Coli.

    Isotype

    IgG1
  • Indications d'application

    ELISA: 1/10000

    ICC: 1/200 - 1/1000

    Restrictions

    For Research Use only
  • Format

    Liquid

    Buffer

    Ascitic fluid containing 0.03 % sodium azide.

    Agent conservateur

    Sodium azide

    Précaution d'utilisation

    This product contains Sodium azide: a POISONOUS AND HAZARDOUS SUBSTANCE which should be handled by trained staff only.

    Stock

    4 °C,-20 °C

    Stockage commentaire

    Store at 4°C short term. Aliquot and store at -20°C long term. Avoid freeze/thaw cycles.
  • Dabdoub, Puligilla, Jones, Fritzsch, Cheah, Pevny, Kelley: "Sox2 signaling in prosensory domain specification and subsequent hair cell differentiation in the developing cochlea." dans: Proceedings of the National Academy of Sciences of the United States of America, Vol. 105, Issue 47, pp. 18396-401, (2008) (PubMed).

    Qin, Gan, Shao, Wang, Li, Wang, He, Xu, Zhang, Kou, Zeng, Sheng, Esteban, Gao, Pei: "Mouse meningiocytes express Sox2 and yield high efficiency of chimeras after nuclear reprogramming with exogenous factors." dans: The Journal of biological chemistry, Vol. 283, Issue 48, pp. 33730-5, (2008) (PubMed).

    Tay, Zhang, Thomson, Lim, Rigoutsos: "MicroRNAs to Nanog, Oct4 and Sox2 coding regions modulate embryonic stem cell differentiation." dans: Nature, Vol. 455, Issue 7216, pp. 1124-8, (2008) (PubMed).

  • Antigène

    SOX2 (SRY (Sex Determining Region Y)-Box 2 (SOX2))

    Autre désignation

    SOX2

    Sujet

    This intronless gene encodes a member of the SRY-related HMG-box (SOX) family of transcription factors involved in the regulation of embryonic development and in the determination of cell fate. The product of this gene is required for stem-cell maintenance in the central nervous system, and also regulates gene expression in the stomach. Mutations in this gene have been associated with optic nerve hypoplasia and with syndromic microphthalmia, a severe form of structural eye malformation. This gene lies within an intron of another gene called SOX2 overlapping transcript (SOX2OT).

    Poids moléculaire

    34 kDa

    ID gène

    6657

    UniProt

    P48431

    Pathways

    Dopaminergic Neurogenesis, Sensory Perception of Sound, Stem Cell Maintenance, Cell RedoxHomeostasis
Vous êtes ici:
Chat with us!