Rab4 anticorps
Aperçu rapide pour Rab4 anticorps (ABIN969558)
Antigène
Voir toutes Rab4 (RAB4A) AnticorpsReactivité
Hôte
Clonalité
Conjugué
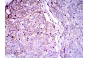
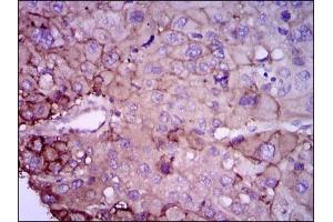
Application
Clone
-
-
Fonction
- RAB4A Antibody
-
Purification
- Purified antibody
-
Immunogène
- Purified recombinant fragment of human RAB4A expressed in E. Coli.
-
Isotype
- IgG1
-
-
-
-
Indications d'application
-
ELISA: 1/10000
FCM: 1/200 - 1/400
-
Restrictions
- For Research Use only
-
-
-
Format
- Liquid
-
Buffer
- Purified antibody in PBS with 0.05 % sodium azide.
-
Agent conservateur
- Sodium azide
-
Précaution d'utilisation
- This product contains Sodium azide: a POISONOUS AND HAZARDOUS SUBSTANCE which should be handled by trained staff only.
-
Stock
- 4 °C,-20 °C
-
Stockage commentaire
- Store at 4°C short term. Aliquot and store at -20°C long term. Avoid freeze/thaw cycles.
-
-
-
: "Rab4 interacts with the human P-glycoprotein and modulates its surface expression in multidrug resistant K562 cells." dans: International journal of cancer. Journal international du cancer, Vol. 128, Issue 1, pp. 192-205, (2010) (PubMed).
-
-
- Rab4 (RAB4A) (RAB4A, Member RAS Oncogene Family (RAB4A))
-
Autre désignation
- RAB4A
-
Sujet
- The protein encoded by this gene belongs to the rab family. Rab4A protein is involved in the regulation of procathepsin L secretion, it was either inhibited by expression of a Rab4A dominant-negative mutant or increased by overexpression of the wild-type Rab4A in human melanoma cells.
-
Poids moléculaire
- 23.8 kDa
-
ID gène
- 5867
-
UniProt
- P20338
Antigène
-