Tel:
+49 (0)241 95 163 153
Fax:
+49 (0)241 95 163 155
E-Mail:
orders@anticorps-enligne.fr

AQP2 Anticorps

(Aquaporin 2 (Collecting Duct) (AQP2))

Choisissez l’un des 147 anticorps AQP2 de notre liste de produits basés sur 11 publications et 89 images de validation.

Découvrez des anticorps AQP2 fiables issus d’une large sélection de fabricants renommés. Notre portefeuille permet une détection précise de AQP2 dans plusieurs espèces, y compris Rat, Human, Mouse, Cow, Dog, Sheep, Monkey, Chicken, Guinea Pig, Pig, Horse, Non-Human Primate, Bat, Primate, et prend en charge diverses applications de recherche telles que WB, ELISA, IHC, IF (p), IF (cc).

Trouvez rapidement l’anticorps adapté grâce à nos outils de recherche, de filtrage et de comparaison. Chaque page produit fournit des données de validation détaillées, des références bibliographiques et des retours d’utilisateurs. Contrairement aux ressources dédiées uniquement à la comparaison, vous pouvez acheter directement les anticorps sur notre site. Choisissez parmi des anticorps polyclonaux, monoclonaux ou recombinants AQP2, issus de différents hôtes tels que Rabbit, Mouse. Parcourez nos produits ci-dessous et commandez directement pour soutenir vos recherches en toute confiance.

Les noms alternatifs de AQP2 sont Aqp2, AQP2.

147 Résultats

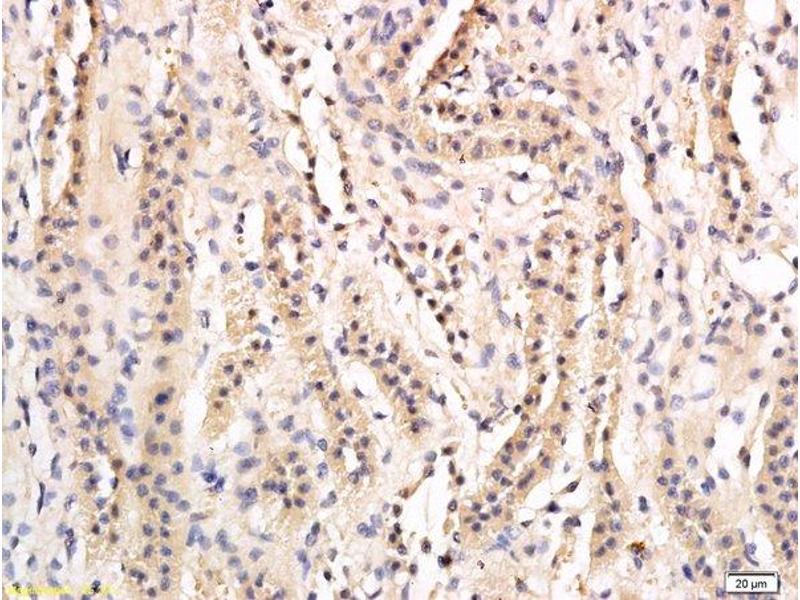
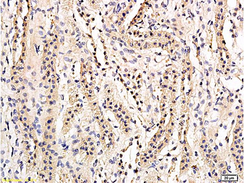
AQP2 Reactivité: Humain, Rat, Souris WB, ELISA, IF (p), IF (cc), IHC (p), ICC, FACS, IHC (fro) Hôte: Lapin Polyclonal unconjugated
Pubmed 2 références Independent Validation 1 validation
N° du produit ABIN707576
357,70 €
Plus frais de livraison 40,00 € et TVA
100 μL
Destination: France
Envoi sous 8 à 12 jours ouvrables
Independently Validated
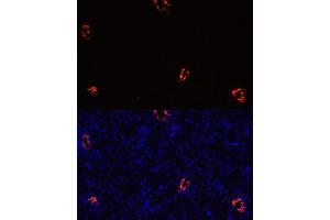
AQP2 Reactivité: Humain, Rat, Souris WB, IHC, FACS Hôte: Lapin Polyclonal unconjugated
Pubmed 2 références
N° du produit ABIN3043788
500,50 €
Plus frais de livraison 40,00 € et TVA
100 μg
Destination: France
Envoi sous 8 à 12 jours ouvrables
 
AQP2 Reactivité: Humain WB, IHC, IP, ICC Hôte: Lapin Polyclonal unconjugated
N° du produit ABIN7432103
287,72 €
Plus frais de livraison 40,00 € et TVA
100 μL (Autres quantités disponibles)
Destination: France
Envoi sous 11 à 15 jours ouvrables
 
AQP2 Reactivité: Humain WB, IHC, IF Hôte: Lapin Polyclonal unconjugated
N° du produit ABIN7265652
320,00 €
Plus frais de livraison 40,00 € et TVA
100 μL (Autres quantités disponibles)
Destination: France
Envoi sous 8 à 10 jours ouvrables
 
AQP2 Reactivité: Humain ELISA Hôte: Souris Monoclonal 7H8B5 unconjugated
N° du produit ABIN5611298
498,33 €
Plus frais de livraison 40,00 € et TVA
100 μL
Destination: France
Envoi sous 7 à 10 jours ouvrables
 
AQP2 Reactivité: Humain, Rat, Souris WB, IHC (p), IHC (fro) Hôte: Lapin Polyclonal unconjugated
N° du produit ABIN3030003
644,88 €
Plus frais de livraison 40,00 € et TVA
100 μg
Destination: France
Envoi sous 6 à 9 jours ouvrables
 
AQP2 Reactivité: Rat WB, IHC, IF, ICC Hôte: Lapin Polyclonal unconjugated
Pubmed 2 références
N° du produit ABIN863207
636,79 €
Plus frais de livraison 40,00 € et TVA
100 μg
Destination: France
Envoi sous 7 à 10 jours ouvrables
 
AQP2 Reactivité: Humain, Rat, Souris WB, ELISA, IF (p), IF (cc), IHC (p), ICC, IHC (fro) Hôte: Lapin Polyclonal unconjugated
N° du produit ABIN1385618
357,70 €
Plus frais de livraison 40,00 € et TVA
100 μL
Destination: France
Envoi sous 8 à 12 jours ouvrables
 
AQP2 Reactivité: Rat WB, IHC, IF, ICC Hôte: Lapin Polyclonal Biotin
N° du produit ABIN2486377
706,79 €
Plus frais de livraison 40,00 € et TVA
100 μg
Destination: France
Envoi sous 7 à 10 jours ouvrables
 
AQP2 Reactivité: Rat WB, IHC, IF, ICC Hôte: Lapin Polyclonal HRP
N° du produit ABIN2486379
693,93 €
Plus frais de livraison 40,00 € et TVA
100 μg
Destination: France
Envoi sous 7 à 10 jours ouvrables
 
AQP2 Reactivité: Rat WB, IHC, IF, ICC Hôte: Lapin Polyclonal FITC
N° du produit ABIN2486378
699,64 €
Plus frais de livraison 40,00 € et TVA
100 μg
Destination: France
Envoi sous 7 à 10 jours ouvrables
 
AQP2 Reactivité: Rat WB, IHC, IF, ICC Hôte: Lapin Polyclonal Atto 390
N° du produit ABIN2486367
715,36 €
Plus frais de livraison 40,00 € et TVA
100 μg
Destination: France
Envoi sous 7 à 10 jours ouvrables
 
AQP2 Reactivité: Rat WB, IHC, IF, ICC Hôte: Lapin Polyclonal Atto 488
N° du produit ABIN2486368
713,93 €
Plus frais de livraison 40,00 € et TVA
100 μg
Destination: France
Envoi sous 7 à 10 jours ouvrables
 
AQP2 Reactivité: Rat WB, IHC, IF, ICC Hôte: Lapin Polyclonal Atto 594
N° du produit ABIN2486370
713,93 €
Plus frais de livraison 40,00 € et TVA
100 μg
Destination: France
Envoi sous 7 à 10 jours ouvrables
 
AQP2 Reactivité: Rat WB, IHC, IF, ICC Hôte: Lapin Polyclonal APC
N° du produit ABIN2486376
712,50 €
Plus frais de livraison 40,00 € et TVA
100 μg
Destination: France
Envoi sous 7 à 10 jours ouvrables
 
AQP2 Reactivité: Rat WB, IHC, IF, ICC Hôte: Lapin Polyclonal PE
N° du produit ABIN2486382
709,64 €
Plus frais de livraison 40,00 € et TVA
100 μg
Destination: France
Envoi sous 7 à 10 jours ouvrables
 
AQP2 Reactivité: Rat WB, IHC, IF, ICC Hôte: Lapin Polyclonal PerCP
N° du produit ABIN2486381
712,50 €
Plus frais de livraison 40,00 € et TVA
100 μg
Destination: France
Envoi sous 7 à 10 jours ouvrables
 
AQP2 Reactivité: Rat WB, ELISA, IF (p), IF (cc), IHC (p), IHC (fro) Hôte: Lapin Polyclonal unconjugated
N° du produit ABIN756127
357,70 €
Plus frais de livraison 40,00 € et TVA
100 μL
Destination: France
Envoi sous 8 à 12 jours ouvrables
 
AQP2 Reactivité: Humain, Rat, Souris, Boeuf (Vache), Chien, Mouton, Cobaye, Cheval WB, IF Hôte: Lapin Polyclonal unconjugated
N° du produit ABIN2781806
534,11 €
Plus frais de livraison 40,00 € et TVA
100 μL (Autres quantités disponibles)
Destination: France
Envoi sous 6 à 9 jours ouvrables
 
AQP2 Reactivité: Humain, Rat, Souris, Boeuf (Vache), Chien, Mouton, Porc WB, IHC, IF Hôte: Lapin Polyclonal unconjugated
N° du produit ABIN7300370
330,77 €
Plus frais de livraison 40,00 € et TVA
100 μL (Autres quantités disponibles)
Destination: France
Envoi sous 17 à 20 jours ouvrables
 
  • Type Primary
    • Primary
  • Application
    • Western Blotting (WB)
    • ELISA
    • Immunohistochemistry (IHC)
    • Immunofluorescence (Paraffin-embedded Sections) (IF (p))
    • Immunofluorescence (Cultured Cells) (IF (cc))
    • Immunofluorescence (IF)
    • Immunohistochemistry (Paraffin-embedded Sections) (IHC (p))
    • Flow Cytometry (FACS)
    • Immunoprecipitation (IP)
    • Immunocytochemistry (ICC)
    • Immunohistochemistry (Frozen Sections) (IHC (fro))
    • Immunochromatography (IC)
    • Immunofluorescence (fixed cells) (IF/ICC)
    • Enzyme Immunoassay (EIA)
    • Fluorescence Microscopy (FM)
  • Réactivité
    • Rat
    • Human
    • Mouse
    • Cow
    • Dog
    • Sheep
    • Monkey
    • Chicken
    • Guinea Pig
    • Pig
    • Horse
    • Non-Human Primate
    • Bat
    • Primate
  • Cité dans publications
  • Images disponible
  • Independent Validation
  • Sans conservateur uniquement
  • Carrier free only
  • Hote
    • Rabbit
    • Mouse
  • Clonalité
    • Polyclonal
    • Monoclonal
  • Clone
    • 7H8B5
    • R05-4A2
  • Epitope
    • pSer264
    • pSer261
    • pSer269
    • AA 171-271
    • C-Term
    • AA 101-200
    • N-Term
    • pSer256
    • AA 225-271
    • AA 200-240
    • AA 200-250
    • AA 222-271
    • AA 245-260
    • AA 254-271
    • Intracellular
    • pSer218
    • AA 102-271
    • AA 147-271
    • AA 149-271
    • AA 161-210
    • AA 177-271
    • AA 200-300
    • AA 241-271
    • Arg252
    • Middle Region
    • Ser15
    • Ser256
    • phosphorylated
  • Conjugué
    • Inconjugué
    • Biotin
    • FITC
    • HRP
    • AbBy Fluor® 350
    • AbBy Fluor® 488
    • AbBy Fluor® 555
    • AbBy Fluor® 594
    • AbBy Fluor® 647
    • AbBy Fluor® 680
    • AbBy Fluor® 750
    • Cy3
    • Cy5
    • Cy5.5
    • Cy7
    • PE
    • Alexa Fluor 488
    • Alexa Fluor 555
    • Alexa Fluor 594
    • Alexa Fluor 647
    • Alexa Fluor 680
    • Alexa Fluor 750
    • APC
    • Alexa Fluor 350
    • Alexa Fluor 405
    • Atto 390
    • Atto 488
    • Atto 550
    • Atto 594
    • PE-Cy5
    • PE-Cy5.5
    • PE-Cy7
    • PerCP
  • Isotype
    • IgG
    • IgG1
  • Type Proteine
    • Recombinant Antibody
  • Format
    • Liquid
    • Lyophilized
  • Supplier
    • antibodies-online
    • Signalway
    • FabGennix
    • Acris
    • Rockland
    • Abbexa
    • Alomone Labs
    • Assay Biotechnology Company, Inc.
    • Boster Bio
    • Cohesion Biosciences
    • Aviva Systems Biology
    • Covalab
    • NSJ Bioreagents
    • ProSci
    • RayBiotech

Dernières publications pour nos AQP2 Anticorps

Sugito, Etriwati, Akmal, Rahmi, Delima, Muchlisin, Hasan: "Immunohistochemical Expression of AQP2 and HSP70 in Broiler Kidney Tissue Treated with Salix tetrasperma Roxb. Extract under Heat Exposure." dans: TheScientificWorldJournal, Vol. 2021, pp. 8711286, (2022) (PubMed).

Wang, Cheng, Su, Zhang, Li, Routledge, Gong, Qiao: "Organ Specific Differences in Alteration of Aquaporin Expression in Rats Treated with Sennoside A, Senna Anthraquinones and Rhubarb Anthraquinones." dans: International journal of molecular sciences, Vol. 22, Issue 15, (2021) (PubMed).

Masuda, Muto, Fukuda, Watanabe, Ohara, Koepsell, Vallon, Nagata: "Osmotic diuresis by SGLT2 inhibition stimulates vasopressin-induced water reabsorption to maintain body fluid volume." dans: Physiological reports, Vol. 8, Issue 2, pp. e14360, (2020) (PubMed).

Landry, Furrow, Holmes, Hirata, Kato, Williams, Strohmaier, Gallo, Chang, Pandey, Jiang, Bansal, Franz, Montalbetti, Alexander, Cabrero, Dow, DeGrado, Romero: "Cloning, function, and localization of human, canine, and Drosophila ZIP10 (SLC39A10), a Zn2+ transporter." dans: American journal of physiology. Renal physiology, Vol. 316, Issue 2, pp. F263-F273, (2019) (PubMed).

Liang, Zhang, Wu, Liu, Yu-He, Lu, Jie-Zhou, Zhou: "Zhen-wu-tang attenuates Adriamycin-induced nephropathy via regulating AQP2 and miR-92b." dans: Biomedicine & pharmacotherapy, Vol. 109, pp. 1296-1305, (2019) (PubMed).

Hariharan, Reinke, Kurtz: "Generating Multiple Kidney Progenitors and Cell Types from Human Pluripotent Stem Cells." dans: Methods in molecular biology (Clifton, N.J.), Vol. 1926, pp. 103-115, (2019) (PubMed).

Shi, Luo, Feng, Jin, Yang, Wu, Yang, Su, Li, Su, Wang, Cao: "Urinary Angiotensinogen Predicts Renal Disease Activity in Lupus Nephritis." dans: Antioxidants & redox signaling, (2019) (PubMed).

Centrone, Ranieri, Di Mise, Berlingerio, Russo, Deen, Staub, Valenti, Tamma: "AQP2 Abundance is Regulated by the E3-Ligase CHIP Via HSP70." dans: Cellular physiology and biochemistry : international journal of experimental cellular physiology, biochemistry, and pharmacology, Vol. 44, Issue 2, pp. 515-531, (2018) (PubMed).

Lazzeri, Angelotti, Peired, Conte, Marschner, Maggi, Mazzinghi, Lombardi, Melica, Nardi, Ronconi, Sisti, Antonelli, Becherucci, De Chiara, Guevara, Burger, Schaefer, Annunziato, Anders, Lasagni et al.: "Endocycle-related tubular cell hypertrophy and progenitor proliferation recover renal function after acute kidney injury. ..." dans: Nature communications, Vol. 9, Issue 1, pp. 1344, (2018) (PubMed).

Tanaka, Nakamura, Sato, Ueda, Node: "Different Effects of Tolvaptan in Patients with Idiopathic Membranous Nephropathy with Nephrotic Syndrome." dans: Internal medicine (Tokyo, Japan), Vol. 56, Issue 2, pp. 191-196, (2017) (PubMed).

Pseudonymes pour AQP2 Anticorps

aquaporin 2 (Aqp2) Anticorps
aquaporin 2 (AQP2) Anticorps
aquaporin 2 (collecting duct) (AQP2) Anticorps
AQP-2 Anticorps
AQP-CD Anticorps
aquaporin-2 Anticorps
cph Anticorps
jpk Anticorps
WCH-CD Anticorps
Vous êtes ici:
Chat with us!