Tel:
+49 (0)241 95 163 153
Fax:
+49 (0)241 95 163 155
E-Mail:
orders@anticorps-enligne.fr

ASK1 Anticorps

(Mitogen-Activated Protein Kinase Kinase Kinase 5 (MAP3K5))

Choisissez l’un des 204 anticorps ASK1 de notre liste de produits basés sur 8 publications et 92 images de validation.

Découvrez des anticorps ASK1 fiables issus d’une large sélection de fabricants renommés. Notre portefeuille permet une détection précise de ASK1 dans plusieurs espèces, y compris Human, Mouse, Rat, Cow, Rabbit, Monkey, et prend en charge diverses applications de recherche telles que WB, ELISA, IHC, IF (cc), IF (p).

Trouvez rapidement l’anticorps adapté grâce à nos outils de recherche, de filtrage et de comparaison. Chaque page produit fournit des données de validation détaillées, des références bibliographiques et des retours d’utilisateurs. Contrairement aux ressources dédiées uniquement à la comparaison, vous pouvez acheter directement les anticorps sur notre site. Choisissez parmi des anticorps polyclonaux, monoclonaux ou recombinants ASK1, issus de différents hôtes tels que Rabbit, Mouse. Parcourez nos produits ci-dessous et commandez directement pour soutenir vos recherches en toute confiance.

Les noms alternatifs de ASK1 sont MAP3K5, MAPKKK5, Map3k5, map3k5.

204 Résultats

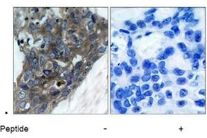
MAP3K5 Reactivité: Humain, Souris, Rat, Boeuf (Vache) WB, ELISA, IHC (p), FACS Hôte: Lapin Polyclonal unconjugated
Pubmed 2 références
N° du produit ABIN683128
357,70 €
Plus frais de livraison 40,00 € et TVA
100 μL
Destination: France
Envoi sous 8 à 12 jours ouvrables
 
MAP3K5 Reactivité: Humain IHC, ELISA, ICC, FACS Hôte: Souris Monoclonal 2E4 unconjugated
Pubmed 1 reference
N° du produit ABIN969273
657,84 €
Plus frais de livraison 40,00 € et TVA
100 μL
Destination: France
Envoi sous 7 à 10 jours ouvrables
 
MAP3K5 Reactivité: Humain WB, ELISA, IF Hôte: Souris Monoclonal 2D11 unconjugated
N° du produit ABIN517859
651,20 €
Plus frais de livraison 40,00 € et TVA
100 μg
Destination: France
Envoi sous 8 à 9 jours ouvrables
 
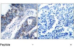
MAP3K5 Reactivité: Humain, Souris, Rat WB, IHC, ELISA, IF, ICC Hôte: Lapin Polyclonal unconjugated
Pubmed 1 reference
N° du produit ABIN6255571
525,71 €
Plus frais de livraison 40,00 € et TVA
100 μL (Autres quantités disponibles)
Destination: France
Envoi sous 9 à 11 jours ouvrables
 
MAP3K5 Reactivité: Souris WB, IHC, ICC, IP Hôte: Lapin Polyclonal unconjugated
N° du produit ABIN1858085
239,00 €
Plus frais de livraison 40,00 € et TVA
100 μL (Autres quantités disponibles)
Destination: France
Envoi sous 11 à 15 jours ouvrables
 
MAP3K5 Reactivité: Humain WB, IHC (p) Hôte: Lapin Polyclonal RB12839 unconjugated
N° du produit ABIN6243040
434,77 €
Plus frais de livraison 40,00 € et TVA
400 μL (Autres quantités disponibles)
Destination: France
Envoi sous 14 à 17 jours ouvrables
 
MAP3K5 Reactivité: Humain WB, ELISA Hôte: Souris Monoclonal 1E3 unconjugated
N° du produit ABIN517858
651,20 €
Plus frais de livraison 40,00 € et TVA
100 μg
Destination: France
Envoi sous 8 à 9 jours ouvrables
 
MAP3K5 Reactivité: Humain, Souris WB, IHC, ELISA, IHC (p), ICC Hôte: Lapin Polyclonal unconjugated
N° du produit ABIN461897
512,07 €
Plus frais de livraison 40,00 € et TVA
0.05 mg
Destination: France
Envoi sous 15 à 20 jours ouvrables
 
MAP3K5 Reactivité: Humain WB, IHC, ELISA, IF, ICC Hôte: Lapin Polyclonal unconjugated
N° du produit ABIN6256431
525,71 €
Plus frais de livraison 40,00 € et TVA
100 μL (Autres quantités disponibles)
Destination: France
Envoi sous 9 à 11 jours ouvrables
 
MAP3K5 Reactivité: Humain, Souris WB, IHC, ELISA, IF, ICC Hôte: Lapin Polyclonal unconjugated
N° du produit ABIN6260078
525,71 €
Plus frais de livraison 40,00 € et TVA
100 μL (Autres quantités disponibles)
Destination: France
Envoi sous 9 à 11 jours ouvrables
 
MAP3K5 Reactivité: Humain, Souris, Rat WB, IHC, ELISA, IF, ICC, FACS Hôte: Lapin Polyclonal unconjugated
N° du produit ABIN7600304
500,50 €
Plus frais de livraison 40,00 € et TVA
100 μg
Destination: France
Envoi sous 8 à 12 jours ouvrables
 
MAP3K5 Reactivité: Humain WB, PLA Hôte: Lapin Polyclonal unconjugated
N° du produit ABIN517857
636,80 €
Plus frais de livraison 40,00 € et TVA
100 μg
Destination: France
Envoi sous 8 à 9 jours ouvrables
 
MAP3K5 Reactivité: Humain IHC, ELISA, IF Hôte: Lapin Polyclonal unconjugated
N° du produit ABIN7160045
328,90 €
Plus frais de livraison 40,00 € et TVA
100 μg (Autres quantités disponibles)
Destination: France
Envoi sous 11 à 15 jours ouvrables
 
MAP3K5 Reactivité: Humain WB, IHC, ELISA Hôte: Lapin Polyclonal unconjugated
N° du produit ABIN3183404
377,51 €
Plus frais de livraison 40,00 € et TVA
100 μL (Autres quantités disponibles)
Destination: France
Envoi sous 8 à 10 jours ouvrables
 
MAP3K5 Reactivité: Humain WB, ELISA Hôte: Souris Polyclonal unconjugated
Pubmed 1 reference
N° du produit ABIN561803
508,80 €
Plus frais de livraison 40,00 € et TVA
50 μL
Destination: France
Envoi sous 8 à 9 jours ouvrables
 
MAP3K5 Reactivité: Humain WB Hôte: Lapin Polyclonal unconjugated
N° du produit ABIN3019485
385,00 €
Plus frais de livraison 40,00 € et TVA
100 μL (Autres quantités disponibles)
Destination: France
Envoi sous 8 à 10 jours ouvrables
 
MAP3K5 Reactivité: Humain WB, FACS Hôte: Lapin Monoclonal 23GB2060 unconjugated Recombinant Antibody
N° du produit ABIN7799472
394,31 €
Plus frais de livraison 40,00 € et TVA
100 μL
Destination: France
Envoi sous 7 à 10 jours ouvrables
 
MAP3K5 Reactivité: Humain, Souris WB, IF, EIA Hôte: Lapin Polyclonal unconjugated
N° du produit ABIN499347
852,31 €
Plus frais de livraison 40,00 € et TVA
0.1 mg
Destination: France
Envoi sous 17 jours ouvrables
 
MAP3K5 Reactivité: Humain WB, IF, EIA Hôte: Lapin Polyclonal unconjugated
N° du produit ABIN499345
852,31 €
Plus frais de livraison 40,00 € et TVA
0.1 mg
Destination: France
Envoi sous 17 jours ouvrables
 
MAP3K5 Reactivité: Humain, Souris WB, IHC (p), IF Hôte: Lapin Polyclonal unconjugated
N° du produit ABIN197326
606,15 €
Plus frais de livraison 40,00 € et TVA
0.1 mL (Autres quantités disponibles)
Destination: France
Envoi sous 17 jours ouvrables
 
  • Type Primary
    • Primary
  • Application
    • Western Blotting (WB)
    • ELISA
    • Immunohistochemistry (IHC)
    • Immunofluorescence (Cultured Cells) (IF (cc))
    • Immunofluorescence (Paraffin-embedded Sections) (IF (p))
    • Immunofluorescence (IF)
    • Immunohistochemistry (Paraffin-embedded Sections) (IHC (p))
    • Flow Cytometry (FACS)
    • Immunocytochemistry (ICC)
    • Immunohistochemistry (Frozen Sections) (IHC (fro))
    • Enzyme Immunoassay (EIA)
    • Immunoprecipitation (IP)
    • Immunochromatography (IC)
    • Proximity Ligation Assay (PLA)
  • Réactivité
    • Human
    • Mouse
    • Rat
    • Cow
    • Rabbit
    • Monkey
  • Cité dans publications
  • Images disponible
  • Sans conservateur uniquement
  • Carrier free only
  • Hote
    • Rabbit
    • Mouse
  • Clonalité
    • Polyclonal
    • Monoclonal
  • Clone
    • 2D11
    • 2E4
    • 1E3
    • 23GB2060
    • CFB-13
    • M81992
    • PT0599R
    • R06-4F5
    • RB11310
    • RB12750
    • RB12839
  • Epitope
    • pSer83
    • pSer966
    • pSer1033
    • pThr845
    • pSer967
    • AA 1175-1203
    • Ser966
    • pThr838
    • C-Term
    • AA 363-431
    • N-Term
    • AA 1231-1374
    • AA 1-1374
    • Ser83
    • AA 681-936
    • AA 76-87
    • AA 81-85
    • AA 944-973
    • AA 964-968
    • AA 1011-1040
    • AA 1260-1310
    • AA 1356-1375
    • AA 178-1112
    • AA 390-440
    • AA 43-90
    • AA 49-98
    • AA 61-90
    • AA 693-933
    • AA 821-849
    • AA 932-981
    • Glu960
    • Ser1033
    • Ser897
    • Ser9
    • Val972
    • pThr918
  • Conjugué
    • Inconjugué
    • Biotin
    • FITC
    • HRP
    • AbBy Fluor® 350
    • AbBy Fluor® 488
    • AbBy Fluor® 555
    • AbBy Fluor® 594
    • AbBy Fluor® 647
    • AbBy Fluor® 680
    • AbBy Fluor® 750
    • Alexa Fluor 488
    • Alexa Fluor 555
    • Alexa Fluor 594
    • Alexa Fluor 647
    • Alexa Fluor 680
    • Alexa Fluor 750
    • Cy3
    • Cy5
    • Cy5.5
    • Cy7
    • PE
    • APC
    • Alexa Fluor 350
    • Alexa Fluor 405
  • Isotype
    • IgG
    • Ig Fraction
    • IgG1
    • IgG Mix lambda
    • IgG2b
    • kappa
  • Type Proteine
    • Recombinant Antibody
  • Format
    • Liquid
    • Lyophilized
  • Grade
    • KO Validated
  • Supplier
    • antibodies-online
    • Signalway
    • Acris
    • Abbexa
    • Cohesion Biosciences
    • ProSci
    • USBio
    • Assay Biotechnology Company, Inc.
    • Boster Bio
    • Abcepta
    • Biomatik
    • Cloud-Clone
    • Covalab
    • NSJ Bioreagents
    • ProteoGenix
    • RayBiotech
    • Rockland

Dernières publications pour nos ASK1 Anticorps

Tan, Jin, Wang, Huang, Wu, Ren: "Perilipin 5 Protects against Cellular Oxidative Stress by Enhancing Mitochondrial Function in HepG2 Cells." dans: Cells, Vol. 8, Issue 10, (2020) (PubMed).

Yi, Chen, Zhang, Shi, Zhang, Niu, Jia, Cong, Li: "Endoplasmic Reticulum Stress Is Involved in Stress-Induced Hypothalamic Neuronal Injury in Rats via the PERK-ATF4-CHOP and IRE1-ASK1-JNK Pathways." dans: Frontiers in cellular neuroscience, Vol. 13, pp. 190, (2019) (PubMed).

Zhou, Zhang, Hu, Gu, Cai, Wu, Liu, Jiang, Kong, Zhang: "Inhibition of apoptosis signal-regulating kinase by paeoniflorin attenuates neuroinflammation and ameliorates neuropathic pain." dans: Journal of neuroinflammation, Vol. 16, Issue 1, pp. 83, (2019) (PubMed).

Feng, Li, Du, Sun, Feng, Li, Liu, Wang, Liu, Amizuka, Li: "Dual function of peroxiredoxin I in lipopolysaccharide-induced osteoblast apoptosis via reactive oxygen species and the apoptosis signal-regulating kinase 1 signaling pathway." dans: Cell death discovery, Vol. 4, pp. 47, (2018) (PubMed).

Taniuchi, Furihata, Hanazaki, Iwasaki, Tanaka, Shimizu, Saito, Saibara: "Peroxiredoxin 1 Promotes Pancreatic Cancer Cell Invasion by Modulating p38 MAPK Activity." dans: Pancreas, Vol. 44, Issue 2, pp. 331-40, (2015) (PubMed).

Wang, Zhu, Man, Guo, Hao: "Ginsenoside Rd inhibits apoptosis following spinal cord ischemia/reperfusion injury." dans: Neural regeneration research, Vol. 9, Issue 18, pp. 1678-87, (2014) (PubMed).

Humbert, Weihbrecht, Searby, Li, Pope, Sheffield, Seo: "ARL13B, PDE6D, and CEP164 form a functional network for INPP5E ciliary targeting." dans: Proceedings of the National Academy of Sciences of the United States of America, Vol. 109, Issue 48, pp. 19691-6, (2012) (PubMed).

Saha, Jiang, Yang, Zhu, Wang, Schimmer, Qiu, Chang: "Targeting p53 via JNK pathway: a novel role of RITA for apoptotic signaling in multiple myeloma." dans: PLoS ONE, Vol. 7, Issue 1, pp. e30215, (2012) (PubMed).

Nectoux, Fichou, Cagnard, Bahi-Buisson, Nusbaum, Letourneur, Chelly, Bienvenu: "Cell cloning-based transcriptome analysis in cyclin-dependent kinase-like 5 mutation patients with severe epileptic encephalopathy." dans: Journal of molecular medicine (Berlin, Germany), Vol. 89, Issue 2, pp. 193-202, (2011) (PubMed).

Pressinotti, Klocker, Schäfer, Luu, Ruschhaupt, Kuner, Steiner, Poustka, Bartsch, Sültmann: "Differential expression of apoptotic genes PDIA3 and MAP3K5 distinguishes between low- and high-risk prostate cancer." dans: Molecular cancer, Vol. 8, pp. 130, (2010) (PubMed).

Pseudonymes pour ASK1 Anticorps

mitogen-activated protein kinase kinase kinase 5 (MAP3K5) Anticorps
mitogen-activated protein kinase kinase kinase 5 (MAPKKK5) Anticorps
mitogen-activated protein kinase kinase kinase 5 (Map3k5) Anticorps
mitogen-activated protein kinase kinase kinase 5 (map3k5) Anticorps
7420452D20Rik Anticorps
ASK Anticorps
ASK1 Anticorps
Ask1 Anticorps
MAPKKK5 Anticorps
MEKK5 Anticorps
Mekk5 Anticorps
mitogen-activated protein kinase kinase kinase 5 Anticorps
MUD21.11 Anticorps
MUD21_11 Anticorps
RGD1306565 Anticorps
Vous êtes ici:
Chat with us!