Tel:
+49 (0)241 95 163 153
Fax:
+49 (0)241 95 163 155
E-Mail:
orders@anticorps-enligne.fr

ASS1 Anticorps

(Argininosuccinate Synthase 1 (ASS1))

Choisissez l’un des 88 anticorps ASS1 de notre liste de produits basés sur 4 publications et 99 images de validation.

Découvrez des anticorps ASS1 fiables issus d’une large sélection de fabricants renommés. Notre portefeuille permet une détection précise de ASS1 dans plusieurs espèces, y compris Human, Mouse, Rat, Monkey, Cow, Dog, Guinea Pig, Horse, Goat, Zebrafish (Danio rerio), Pig, Rabbit, Saccharomyces cerevisiae, et prend en charge diverses applications de recherche telles que WB, IHC, IF, FACS, ELISA.

Trouvez rapidement l’anticorps adapté grâce à nos outils de recherche, de filtrage et de comparaison. Chaque page produit fournit des données de validation détaillées, des références bibliographiques et des retours d’utilisateurs. Contrairement aux ressources dédiées uniquement à la comparaison, vous pouvez acheter directement les anticorps sur notre site. Choisissez parmi des anticorps polyclonaux, monoclonaux ou recombinants ASS1, issus de différents hôtes tels que Rabbit, Mouse, Goat. Parcourez nos produits ci-dessous et commandez directement pour soutenir vos recherches en toute confiance.

Les noms alternatifs de ASS1 sont ASS1, Ass1, ass1.S, ass1.

88 Résultats

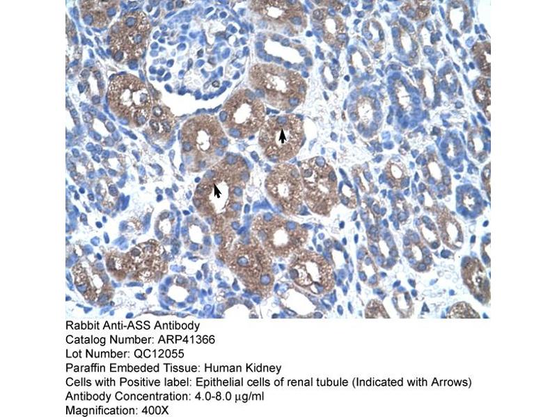
ASS1 Reactivité: Humain WB, IHC (p), EIA Hôte: Lapin Polyclonal unconjugated
N° du produit ABIN950542
870,77 €
Plus frais de livraison 40,00 € et TVA
0.4 mL
Destination: France
Envoi sous 17 jours ouvrables
 
ASS1 Reactivité: Humain, Souris, Rat, Boeuf (Vache), Chien, Cheval, Cobaye, Chévre, Lapin WB, IHC Hôte: Lapin Polyclonal unconjugated
Pubmed 1 reference
N° du produit ABIN2776769
470,22 €
Plus frais de livraison 40,00 € et TVA
100 μL (Autres quantités disponibles)
Destination: France
Envoi sous 6 à 9 jours ouvrables
 
ASS1 Reactivité: Humain, Souris, Rat WB, IHC, ELISA, IF, FACS, ICC Hôte: Lapin Polyclonal unconjugated
N° du produit ABIN7601190
500,50 €
Plus frais de livraison 40,00 € et TVA
100 μg
Destination: France
Envoi sous 8 à 12 jours ouvrables
 
ASS1 Reactivité: Humain, Souris, Rat WB Hôte: Lapin Polyclonal unconjugated
N° du produit ABIN7260057
580,00 €
Plus frais de livraison 40,00 € et TVA
200 μL (Autres quantités disponibles)
Destination: France
Envoi sous 9 à 13 jours ouvrables
 
Verified ASS1 Reactivité: Humain, Boeuf (Vache) WB, IHC, ELISA, IF, IP Hôte: Chèvre Polyclonal Biotin
N° du produit ABIN5539685
488,25 €
Plus frais de livraison 40,00 € et TVA
100 μg
Destination: France
Envoi sous 5 à 8 jours ouvrables
 
ASS1 Reactivité: Humain ELISA, IF Hôte: Souris Monoclonal 2D2 unconjugated
N° du produit ABIN947587
651,20 €
Plus frais de livraison 40,00 € et TVA
100 μg
Destination: France
Envoi sous 8 à 9 jours ouvrables
 
ASS1 Reactivité: Humain, Souris, Rat, Boeuf (Vache), Chien, Cheval, Cobaye, Chévre, Poisson zèbre (Danio rerio), Saccharomyces cerevisiae WB, IHC Hôte: Lapin Polyclonal unconjugated
N° du produit ABIN2776768
470,22 €
Plus frais de livraison 40,00 € et TVA
100 μL (Autres quantités disponibles)
Destination: France
Envoi sous 6 à 9 jours ouvrables
 
ASS1 Reactivité: Humain IHC, ELISA, IF, FACS Hôte: Lapin Monoclonal 18G1118G11 unconjugated Recombinant Antibody
N° du produit ABIN7542843
1.006,50 €
Plus frais de livraison 40,00 € et TVA
100 μL
Destination: France
Envoi sous 8 à 9 jours ouvrables
 
ASS1 Reactivité: Humain WB, IF, FACS, IP, IHC (p) Hôte: Lapin Monoclonal R09-2V1R09-2V1 unconjugated Recombinant Antibody
N° du produit ABIN7542273
877,50 €
Plus frais de livraison 40,00 € et TVA
100 μL
Destination: France
Envoi sous 8 à 9 jours ouvrables
 
ASS1 Reactivité: Humain WB, IHC, ELISA Hôte: Lapin Polyclonal unconjugated
N° du produit ABIN7568156
527,38 €
Plus frais de livraison 40,00 € et TVA
100 μg
Destination: France
Envoi sous 10 à 13 jours ouvrables
 
ASS1 Reactivité: Humain ELISA Hôte: Lapin Polyclonal HRP
N° du produit ABIN7144602
328,90 €
Plus frais de livraison 40,00 € et TVA
100 μg (Autres quantités disponibles)
Destination: France
Envoi sous 11 à 15 jours ouvrables
 
ASS1 Reactivité: Humain ELISA Hôte: Lapin Polyclonal Biotin
N° du produit ABIN7144600
328,90 €
Plus frais de livraison 40,00 € et TVA
100 μg (Autres quantités disponibles)
Destination: France
Envoi sous 11 à 15 jours ouvrables
 
ASS1 Reactivité: Humain Hôte: Lapin Polyclonal FITC
N° du produit ABIN7144601
328,90 €
Plus frais de livraison 40,00 € et TVA
100 μg (Autres quantités disponibles)
Destination: France
Envoi sous 11 à 15 jours ouvrables
 
ASS1 Reactivité: Humain IHC, ELISA, IF, FACS Hôte: Lapin Monoclonal 18G11 unconjugated Recombinant Antibody
N° du produit ABIN7796722
385,00 €
Plus frais de livraison 40,00 € et TVA
100 μL
Destination: France
Envoi sous 11 à 15 jours ouvrables
 
ASS1 Reactivité: Humain WB, IHC, IHC (p) Hôte: Lapin Polyclonal unconjugated
N° du produit ABIN1832871
833,74 €
Plus frais de livraison 40,00 € et TVA
100 μL
Destination: France
Envoi sous 15 à 20 jours ouvrables
 
ASS1 Reactivité: Humain IF, ICC Hôte: Lapin Polyclonal unconjugated
N° du produit ABIN1832870
833,74 €
Plus frais de livraison 40,00 € et TVA
100 μL
Destination: France
Envoi sous 15 à 20 jours ouvrables
 
ASS1 Reactivité: Humain WB, IHC, ELISA, FACS Hôte: Lapin Polyclonal unconjugated
N° du produit ABIN2589160
1.328,20 €
Plus frais de livraison 40,00 € et TVA
200 μL
Destination: France
Envoi sous 15 à 20 jours ouvrables
 
ASS1 Reactivité: Humain WB, IHC, ELISA, FACS Hôte: Lapin Polyclonal Biotin
N° du produit ABIN1965988
1.708,41 €
Plus frais de livraison 40,00 € et TVA
200 μL
Destination: France
Envoi sous 15 à 20 jours ouvrables
 
ASS1 Reactivité: Humain WB, IHC, ELISA, FACS Hôte: Lapin Polyclonal FITC
N° du produit ABIN1969762
1.708,41 €
Plus frais de livraison 40,00 € et TVA
200 μL
Destination: France
Envoi sous 15 à 20 jours ouvrables
 
ASS1 Reactivité: Humain WB, IHC, ELISA, FACS Hôte: Lapin Polyclonal APC
N° du produit ABIN1963312
1.708,41 €
Plus frais de livraison 40,00 € et TVA
200 μL
Destination: France
Envoi sous 15 à 20 jours ouvrables
 
  • Type Primary
    • Primary
  • Application
    • Western Blotting (WB)
    • Immunohistochemistry (IHC)
    • Immunofluorescence (IF)
    • Flow Cytometry (FACS)
    • ELISA
    • Immunocytochemistry (ICC)
    • Immunoprecipitation (IP)
    • Immunohistochemistry (Paraffin-embedded Sections) (IHC (p))
    • Enzyme Immunoassay (EIA)
    • Immunohistochemistry (Frozen Sections) (IHC (fro))
  • Réactivité
    • Human
    • Mouse
    • Rat
    • Monkey
    • Cow
    • Dog
    • Guinea Pig
    • Horse
    • Goat
    • Zebrafish (Danio rerio)
    • Pig
    • Rabbit
    • Saccharomyces cerevisiae
  • Cité dans publications
  • Images disponible
  • Sans conservateur uniquement
  • Carrier free only
  • Hote
    • Rabbit
    • Mouse
    • Goat
  • Clonalité
    • Polyclonal
    • Monoclonal
  • Clone
    • S02-7A8
    • 2B10
    • 18G11
    • 18G1118G11
    • 23A63
    • 25GB5600
    • 2C10
    • 2D2
    • 4C3
    • 5I5
    • 7I9
    • AT1G11
    • OTI1B10
    • OTI4G9
    • R02-7A8
    • R09-2V1R09-2V1
    • RB20920
    • RB32051
  • Epitope
    • C-Term
    • AA 281-310
    • AA 168-222
    • AA 280-310
    • AA 1-412
    • AA 3-365
    • N-Term
    • AA 149-412
    • AA 155-412
    • AA 192-221
    • Internal Region
    • AA 1-168
    • AA 1-198
    • AA 121-220
    • AA 155-410
    • Middle Region
  • Conjugué
    • Inconjugué
    • Biotin
    • Alexa Fluor 488
    • Alexa Fluor 555
    • Alexa Fluor 594
    • Alexa Fluor 647
    • Alexa Fluor 680
    • Alexa Fluor 750
    • FITC
    • HRP
    • APC
    • Alexa Fluor 350
    • Alexa Fluor 405
    • PE
  • Isotype
    • IgG
    • IgG1
    • Ig Fraction
    • IgG2a
    • IgG2b
    • IgG2a kappa
  • Type Proteine
    • Recombinant Antibody
  • Format
    • Liquid
    • Lyophilized
  • Grade
    • Verified
    • KD Validated
  • Supplier
    • antibodies-online
    • Signalway
    • Boster Bio
    • Cohesion Biosciences
    • USBio
    • Acris
    • Abbexa
    • Aviva Systems Biology
    • NSJ Bioreagents
    • OriGene
    • ProteoGenix
    • RayBiotech

Dernières publications pour nos ASS1 Anticorps

Hu, Lausted, Yoo, Yan, Brightman, Chen, Wang, Bu, Hood: "Quantitative liver-specific protein fingerprint in blood: a signature for hepatotoxicity." dans: Theranostics, Vol. 4, Issue 2, pp. 215-28, (2014) (PubMed).

Zhong, Li, Xie, Sun, Tan, Sun, Jia, Zhou: "Dietary fat sources differentially modulate intestinal barrier and hepatic inflammation in alcohol-induced liver injury in rats." dans: American journal of physiology. Gastrointestinal and liver physiology, Vol. 305, Issue 12, pp. G919-32, (2013) (PubMed).

Slebos, Jehmlich, Brown, Yin, Chung, Yarbrough, Liebler: "Proteomic analysis of oropharyngeal carcinomas reveals novel HPV-associated biological pathways." dans: International journal of cancer, Vol. 132, Issue 3, pp. 568-79, (2012) (PubMed).

Laróvere, Angaroni, Antonozzi, Bezard, Shimohama, de Kremer: "Citrullinemia type I, classical variant. Identification of ASS-p~G390R (c.1168G>A) mutation in families of a limited geographic area of Argentina: a possible population cluster." dans: Clinical biochemistry, Vol. 42, Issue 10-11, pp. 1166-8, (2009) (PubMed).

Corbin, Pendleton, Solomonson, Eichler: "Phosphorylation of argininosuccinate synthase by protein kinase A." dans: Biochemical and biophysical research communications, Vol. 377, Issue 4, pp. 1042-6, (2008) (PubMed).

Hao, Xie, Gross: "Argininosuccinate synthetase is reversibly inactivated by S-nitrosylation in vitro and in vivo." dans: The Journal of biological chemistry, Vol. 279, Issue 35, pp. 36192-200, (2004) (PubMed).

Xie, Gross: "Argininosuccinate synthetase overexpression in vascular smooth muscle cells potentiates immunostimulant-induced NO production." dans: The Journal of biological chemistry, Vol. 272, Issue 26, pp. 16624-30, (1997) (PubMed).

Cohen, Kuda: "Argininosuccinate synthetase and argininosuccinate lyase are localized around mitochondria: an immunocytochemical study." dans: Journal of cellular biochemistry, Vol. 60, Issue 3, pp. 334-40, (1996) (PubMed).

Heichman, Roberts: "Rules to replicate by." dans: Cell, Vol. 79, Issue 4, pp. 557-62, (1994) (PubMed).

Peter, Herskowitz: "Joining the complex: cyclin-dependent kinase inhibitory proteins and the cell cycle." dans: Cell, Vol. 79, Issue 2, pp. 181-4, (1994) (PubMed).

Pseudonymes pour ASS1 Anticorps

argininosuccinate synthase 1 (ASS1) Anticorps
argininosuccinate synthetase 1 (Ass1) Anticorps
argininosuccinate synthase 1 (Ass1) Anticorps
argininosuccinate synthase 1 S homeolog (ass1.S) Anticorps
argininosuccinate synthase 1 (ass1) Anticorps
AA408052 Anticorps
ASS Anticorps
Ass Anticorps
ass Anticorps
Ass-1 Anticorps
ASSA Anticorps
CTLN1 Anticorps
fold Anticorps
wu:fb95a04 Anticorps
wu:fc01e08 Anticorps
zgc:92051 Anticorps
Vous êtes ici:
Chat with us!