Tel:
+49 (0)241 95 163 153
Fax:
+49 (0)241 95 163 155
E-Mail:
orders@anticorps-enligne.fr

Bcl-2 Anticorps

(B-Cell CLL/lymphoma 2 (BCL2))

Choisissez l’un des 516 anticorps Bcl-2 de notre liste de produits basés sur 322 publications et 250 images de validation.

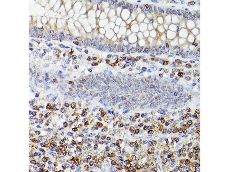
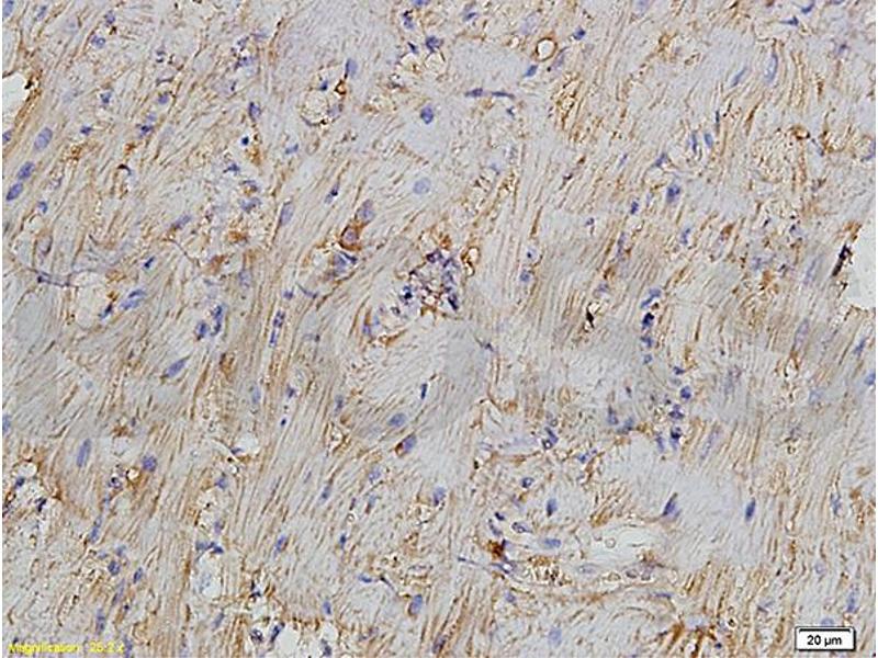
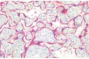
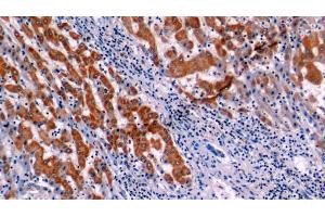
Découvrez des anticorps Bcl-2 fiables issus d’une large sélection de fabricants renommés. Notre portefeuille permet une détection précise de Bcl-2 dans plusieurs espèces, y compris Human, Mouse, Rat, Pig, Rabbit, Sheep, Monkey, Dog, Cow, Guinea Pig, Horse, Chicken, Bacteria, Chimpanzee, Hamster, Zebrafish (Danio rerio), et prend en charge diverses applications de recherche telles que WB, FACS, IHC, ELISA, IF.

Trouvez rapidement l’anticorps adapté grâce à nos outils de recherche, de filtrage et de comparaison. Chaque page produit fournit des données de validation détaillées, des références bibliographiques et des retours d’utilisateurs. Contrairement aux ressources dédiées uniquement à la comparaison, vous pouvez acheter directement les anticorps sur notre site. Choisissez parmi des anticorps polyclonaux, monoclonaux ou recombinants Bcl-2, issus de différents hôtes tels que Rabbit, Mouse, Sheep. Parcourez nos produits ci-dessous et commandez directement pour soutenir vos recherches en toute confiance.

Les noms alternatifs de Bcl-2 sont BCL2, Bcl2, bcl2a, BCL-2.

516 Résultats

BCL2 Reactivité: Humain WB, IF, IHC (p), ICC Hôte: Lapin Polyclonal unconjugated
Pubmed 14 références
N° du produit ABIN2857047
583,17 €
Plus frais de livraison 40,00 € et TVA
100 μL
Destination: France
Envoi sous 7 à 10 jours ouvrables
 
BCL2 Reactivité: Humain WB, IHC, IF, ICC Hôte: Lapin Polyclonal unconjugated
N° du produit ABIN7432577
287,72 €
Plus frais de livraison 40,00 € et TVA
100 μL (Autres quantités disponibles)
Destination: France
Envoi sous 11 à 15 jours ouvrables
 
BCL2 Reactivité: Humain, Souris, Rat, Lapin, Boeuf (Vache), Poulet, Bactéries WB, FACS, ELISA, IHC (p), IF (cc), IF (p), IHC (fro) Hôte: Lapin Polyclonal unconjugated
Pubmed 4 références
N° du produit ABIN723920
357,70 €
Plus frais de livraison 40,00 € et TVA
100 μL
Destination: France
Envoi sous 8 à 12 jours ouvrables
 
BCL2 Reactivité: Humain WB, IF, IHC (p) Hôte: Lapin Polyclonal RB04684 unconjugated
Pubmed 21 références
N° du produit ABIN388095
434,77 €
Plus frais de livraison 40,00 € et TVA
400 μL (Autres quantités disponibles)
Destination: France
Envoi sous 14 à 17 jours ouvrables
 
BCL2 Reactivité: Humain WB, IHC, IP, ICC Hôte: Souris Monoclonal D1 unconjugated
N° du produit ABIN7426028
301,08 €
Plus frais de livraison 40,00 € et TVA
100 μL (Autres quantités disponibles)
Destination: France
Envoi sous 11 à 15 jours ouvrables
 
BCL2 Reactivité: Humain WB, FACS, IP, IHC (p), ICC, IHC (fro) Hôte: Souris Monoclonal Bcl-2-100 unconjugated
Pubmed 4 références
N° du produit ABIN1302482
309,67 €
Plus frais de livraison 40,00 € et TVA
100 μg
Destination: France
Envoi sous 2 à 4 jours ouvrables
 
BCL2 Reactivité: Humain ICFC Hôte: Souris Monoclonal Bcl-2-100 PE
Pubmed 5 références
N° du produit ABIN638444
481,21 €
Plus frais de livraison 40,00 € et TVA
100 tests
Destination: France
Envoi sous 2 à 4 jours ouvrables
 
KD Validated BCL2 Reactivité: Humain WB, FACS, IF (p) Hôte: Lapin Monoclonal 23GB675 unconjugated Recombinant Antibody
N° du produit ABIN7797719
598,92 €
Plus frais de livraison 40,00 € et TVA
100 μL
Destination: France
Envoi sous 7 à 10 jours ouvrables
 
BCL2 Reactivité: Humain WB, IHC, FACS, IF, StM, ISt Hôte: Souris Monoclonal 100-D5 unconjugated
N° du produit ABIN6940492
639,45 €
Plus frais de livraison 40,00 € et TVA
100 μg (Autres quantités disponibles)
Destination: France
Envoi sous 6 à 10 jours ouvrables
 
BCL2 Reactivité: Humain WB, IHC, StM Hôte: Lapin Monoclonal BCL2-2210R unconjugated Recombinant Antibody
N° du produit ABIN6940502
639,45 €
Plus frais de livraison 40,00 € et TVA
100 μg (Autres quantités disponibles)
Destination: France
Envoi sous 6 à 10 jours ouvrables
 
BCL2 Reactivité: Humain WB, FACS, IF, ELISA, ICC Hôte: Lapin Polyclonal unconjugated
Pubmed 82 références
N° du produit ABIN5693065
500,50 €
Plus frais de livraison 40,00 € et TVA
100 μg
Destination: France
Envoi sous 8 à 12 jours ouvrables
 
BCL2 Reactivité: Humain WB, ELISA Hôte: Lapin Polyclonal unconjugated
Pubmed 137 références
N° du produit ABIN3042814
500,50 €
Plus frais de livraison 40,00 € et TVA
100 μg
Destination: France
Envoi sous 8 à 12 jours ouvrables
 
BCL2 Reactivité: Humain, Souris, Rat WB, IHC Hôte: Souris Monoclonal 6B5 unconjugated
N° du produit ABIN3181112
377,51 €
Plus frais de livraison 40,00 € et TVA
100 μL (Autres quantités disponibles)
Destination: France
Envoi sous 8 à 10 jours ouvrables
 
BCL2 Reactivité: Humain, Souris, Rat WB, FACS, ELISA, IHC (p), IF (cc), IF (p), IHC (fro) Hôte: Lapin Polyclonal unconjugated
Pubmed 1 reference
N° du produit ABIN683428
357,70 €
Plus frais de livraison 40,00 € et TVA
100 μL
Destination: France
Envoi sous 8 à 12 jours ouvrables
 
BCL2 Reactivité: Humain, Souris, Rat WB, FACS, ELISA, IHC (p), IF (cc), IF (p), IHC (fro) Hôte: Lapin Polyclonal unconjugated
N° du produit ABIN756622
357,70 €
Plus frais de livraison 40,00 € et TVA
100 μL
Destination: France
Envoi sous 8 à 12 jours ouvrables
 
BCL2 Reactivité: Humain WB, IHC, FACS, ELISA Hôte: Lapin Monoclonal 2C6 unconjugated Recombinant Antibody
N° du produit ABIN7127273
385,00 €
Plus frais de livraison 40,00 € et TVA
100 μL (Autres quantités disponibles)
Destination: France
Envoi sous 11 à 15 jours ouvrables
 
BCL2 Reactivité: Humain ICFC Hôte: Souris Monoclonal Bcl-2-100 FITC
Pubmed 4 références
N° du produit ABIN1302954
418,97 €
Plus frais de livraison 40,00 € et TVA
100 tests
Destination: France
Envoi sous 2 à 4 jours ouvrables
 
BCL2 Reactivité: Humain ICFC Hôte: Souris Monoclonal Bcl-2-100 APC
Pubmed 3 références
N° du produit ABIN1981878
481,21 €
Plus frais de livraison 40,00 € et TVA
100 tests
Destination: France
Envoi sous 2 à 4 jours ouvrables
 
BCL2 Reactivité: Humain, Souris IHC, FACS, ELISA, ICC Hôte: Souris Monoclonal 8E12 unconjugated
Pubmed 3 références
N° du produit ABIN968975
602,28 €
Plus frais de livraison 40,00 € et TVA
100 μL
Destination: France
Envoi sous 7 à 10 jours ouvrables
 
BCL2 Reactivité: Humain FACS, ELISA Hôte: Souris Monoclonal 7F9B12 unconjugated
N° du produit ABIN7193707
657,84 €
Plus frais de livraison 40,00 € et TVA
100 μL
Destination: France
Envoi sous 7 à 10 jours ouvrables
 
  • Type Primary
    • Primary
  • Application
    • Western Blotting (WB)
    • Flow Cytometry (FACS)
    • Immunohistochemistry (IHC)
    • ELISA
    • Immunofluorescence (IF)
    • Immunofluorescence (Cultured Cells) (IF (cc))
    • Immunofluorescence (Paraffin-embedded Sections) (IF (p))
    • Immunoprecipitation (IP)
    • Immunocytochemistry (ICC)
    • Immunohistochemistry (Paraffin-embedded Sections) (IHC (p))
    • Immunohistochemistry (Formalin-fixed Sections) (IHC (f))
    • Immunohistochemistry (Frozen Sections) (IHC (fro))
    • Immunohistochemistry (Formalin-fixed Paraffin-embedded Sections) (IHC (fp))
    • Dot Blot (DB)
    • Enzyme Immunoassay (EIA)
    • Immunofluorescence (fixed cells) (IF/ICC)
    • Immunostaining (ISt)
    • Immunochromatography (IC)
    • Staining Methods (StM)
    • Intracellular Flow Cytometry (ICFC)
    • Intracellular Staining (ICS)
    • Neutralization (Neut)
    • Radioimmunoassay (RIA)
    • Cellular Assay (CA)
    • ELISA (Capture)
    • ELISA (Detection)
    • Fluorescence Microscopy (FM)
    • Functional Studies (Func)
    • Heat-induced Epitope Retrieval (HIER)
    • Immunoassay (IA)
    • Coating (Coat)
  • Réactivité
    • Human
    • Mouse
    • Rat
    • Pig
    • Rabbit
    • Sheep
    • Monkey
    • Dog
    • Cow
    • Guinea Pig
    • Horse
    • Chicken
    • Bacteria
    • Chimpanzee
    • Hamster
    • Zebrafish (Danio rerio)
  • Cité dans publications
  • Images disponible
  • Sans conservateur uniquement
  • Carrier free only
  • Hote
    • Rabbit
    • Mouse
    • Sheep
    • Goat
    • Rat
    • Alpaca
    • Armenian Hamster
    • Hamster
    • Pig
  • Clonalité
    • Polyclonal
    • Monoclonal
  • Clone
    • 3F12
    • 8C8
    • rBCL2-796
    • 100-D5 124
    • BCL2-1878R
    • S07-2A1
    • 100-D5-124
    • Bcl-2-100
    • 1E2
    • BCL-10C4
    • 100-D5
    • 10C4
    • 4D10
    • AT1B5
    • BL-2
    • N46-467
    • 124
    • 83-8B
    • 8E12
    • 8E1D8
    • BCL2-782-BCL2-796
    • rBCL2-782
    • 10A10
    • 10C2
    • 10K110
    • 11H1
    • 23GB675
    • 23GB680
    • 25GB3660
    • 2C4
    • 2C6
    • 3B5H7
    • 3F11
    • 4D7
    • 5F7
    • 5H60
    • 6B5
    • 6C4
    • 6C8
    • 6D11
    • 7-Bcl
    • 7A4
    • 7F9B12
    • 8A10
    • 8B5
    • AAOH-2
    • BCL2-2210R
    • Bcl2-100
    • D1
    • G1-G1-4
    Please use search to find more...
  • Epitope
    • AA 41-54
    • pSer70
    • pSer87
    • pThr69
    • AA 51-150
    • pThr56
    • AA 151-239
    • AA 161-239
    • pThr129
    • AA 1-211
    • AA 2-211
    • N-Term
    • AA 144-171
    • AA 75-110
    • AA 87-116
    • AA 31-80
    • AA 5-205
    • AA 86-114
    • Center
    • AA 61-76
    • AA 1-239
    • AA 2-208
    • BH3 Domain
    • Internal Region
    • Ser70
    • pThr74
    • AA 1-195
    • AA 118-165
    • AA 46-95
    • AA 49-76
    • AA 50-100
    • AA 54-58
    • AA 68-72
    • Thr56
    • Thr69
    • AA 1-100
    • AA 1-208
    • AA 10-90
    • AA 101-160
    • AA 140-239
    • AA 143-171
    • AA 21-120
    • AA 26-75
    • AA 36-85
    • AA 41-90
    • AA 49-179
    • AA 54-103
    • AA 61-110
    • AA 62-76
    • AA 80-130
    Please use search to find more...
  • Conjugué
    • Inconjugué
    • Biotin
    • FITC
    • PE
    • HRP
    • APC
    • Alexa Fluor 647
    • Alexa Fluor 488
    • AbBy Fluor® 350
    • AbBy Fluor® 488
    • AbBy Fluor® 555
    • AbBy Fluor® 594
    • AbBy Fluor® 647
    • AbBy Fluor® 680
    • AbBy Fluor® 750
    • Alexa Fluor 555
    • Alexa Fluor 594
    • Alexa Fluor 680
    • Alexa Fluor 750
    • Cy3
    • Cy5
    • Cy5.5
    • Cy7
    • CF®740
    • CF®405S
    • CF®488A
    • CF®568
    • CF®594
    • CF®640R
    • CF®647
    • Alexa Fluor 350
    • Alexa Fluor 405
    • Sepharose
    • CF405M
    • Magnetic Particles
    • PE-Cy7
    • PerCP
    • iFluor™647
  • Isotype
    • IgG
    • IgG1
    • IgG1 kappa
    • kappa
    • Ig Fraction
    • IgG2a
    • IgG2b
    • IgG2b kappa
    • IgG kappa
  • Type Proteine
    • Recombinant Antibody
  • Format
    • Liquid
    • Lyophilized
  • Fragment
    • single-domain Antibody (sdAb)
  • Grade
    • GMP Grade
    • KD Validated
    • Verified
  • Supplier
    • antibodies-online
    • Signalway
    • Biotium
    • USBio
    • Abbexa
    • Acris
    • Cohesion Biosciences
    • NSJ Bioreagents
    • BD Biosciences
    • Assay Biotechnology Company, Inc.
    • Assaypro
    • BioLegend
    • Biomatik
    • RayBiotech
    • Boster Bio
    • Covalab
    • ProSci
    • Angio-Proteomie
    • ProteoGenix
    • Wuhan Fine biotech
    • Aviva Systems Biology
    • CUSABIO
    • Enogene Biotech
    • Rockland

Dernières publications pour nos Bcl-2 Anticorps

Hoffmann, Sauer, Book, Ermler, Fischer, Gerlach, Beltagi, Morgenroth, Alexa, Kranz, Saar: "Mechanism of Action and Interaction of Garlic Extract and Established Therapeutics in Prostate Cancer." dans: International journal of molecular sciences, Vol. 26, Issue 4, (2025) (PubMed).

Tvrdá, Ďuračka, Benko, Kováčik, Lovíšek, Gálová, Žiarovská, Schwarzová, Kačániová: "Ejaculatory Abstinence Affects the Sperm Quality in Normozoospermic Men-How Does the Seminal Bacteriome Respond?" dans: International journal of molecular sciences, Vol. 24, Issue 4, (2023) (PubMed).

Xu, Zhu, Su, Tang, Yao, Jiao, Hou, Chen, Wei, Wang, Wang, Gong, Zhu, Zhang, Zhu, Zou: "Ze-Qi-Tang Formula Induces Granulocytic Myeloid-Derived Suppressor Cell Apoptosis via STAT3/S100A9/Bcl-2/Caspase-3 Signaling to Prolong the Survival of Mice with Orthotopic Lung Cancer." dans: Mediators of inflammation, Vol. 2021, pp. 8856326, (2021) (PubMed).

Wu, Fan, Chen, Hu, Cui, Liu, Wang, Guo, Shen, Xie: "Astragaloside IV protects human cardiomyocytes from hypoxia/reoxygenation injury by regulating miR-101a." dans: Molecular and cellular biochemistry, Vol. 470, Issue 1-2, pp. 41-51, (2021) (PubMed).

Lin, Lecca, Yang, Luo, Scerba, Tweedie, Huang, Jung, Kim, Yang, Hoffer, Wang, Greig: "3,6'-dithiopomalidomide reduces neural loss, inflammation, behavioral deficits in brain injury and microglial activation." dans: eLife, Vol. 9, (2020) (PubMed).

Luo, Huang, Yuan, Yang, Wang, Huang, Tang, Sun: "Abdominal paracentesis drainage attenuates severe acute pancreatitis by enhancing cell apoptosis via PI3K/AKT signaling pathway." dans: Apoptosis : an international journal on programmed cell death, Vol. 25, Issue 3-4, pp. 290-303, (2020) (PubMed).

Yang, Tang, Xu, Liu, Tan, Gao, Sun, Ding, Liu, Chen: "PI3K/mTORC1/2 inhibitor PQR309 inhibits proliferation and induces apoptosis in human glioblastoma cells." dans: Oncology reports, Vol. 43, Issue 3, pp. 773-782, (2020) (PubMed).

Wen, Sun, Tan, Liu, Huang, Chen, Qi, Tang: "Abdominal paracentesis drainage ameliorates myocardial injury in severe experimental pancreatitis rats through suppressing oxidative stress." dans: World journal of gastroenterology, Vol. 26, Issue 1, pp. 35-54, (2020) (PubMed).

Wu, Luo, Liu, Cui, Guo, Zhao, Guo, Bai, Guo, Feng, Qu et al.: "Recombinant adiponectin peptide promotes neuronal survival after intracerebral haemorrhage by suppressing mitochondrial and ATF4-CHOP apoptosis pathways in diabetic mice via Smad3 signalling ..." dans: Cell proliferation, Vol. 53, Issue 2, pp. e12759, (2020) (PubMed).

Jiao, Li, Shao, Zhang, Gong, Yang, Wang, Tan, Sun, Xuan, Yu, Li, Gao, Liu, Xu, Li, Zhang, Zhang: "lncRNA-ZFAS1 induces mitochondria-mediated apoptosis by causing cytosolic Ca2+ overload in myocardial infarction mice model." dans: Cell death & disease, Vol. 10, Issue 12, pp. 942, (2020) (PubMed).

Pseudonymes pour Bcl-2 Anticorps

BCL2, apoptosis regulator (BCL2) Anticorps
BCL2, apoptosis regulator (Bcl2) Anticorps
B cell leukemia/lymphoma 2 (Bcl2) Anticorps
B-cell CLL/lymphoma 2a (bcl2a) Anticorps
B-cell CLL/lymphoma 2 protein (BCL-2) Anticorps
AW986256 Anticorps
Bcl-2 Anticorps
bcl-2 Anticorps
BCL-2 Anticorps
Bcl2 Anticorps
C430015F12Rik Anticorps
D630044D05Rik Anticorps
D830018M01Rik Anticorps
PPP1R50 Anticorps
Vous êtes ici:
Chat with us!