Tel:
+49 (0)241 95 163 153
Fax:
+49 (0)241 95 163 155
E-Mail:
orders@anticorps-enligne.fr

C9orf89 Anticorps

(Chromosome 9 Open Reading Frame 89 (C9orf89))

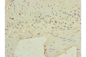
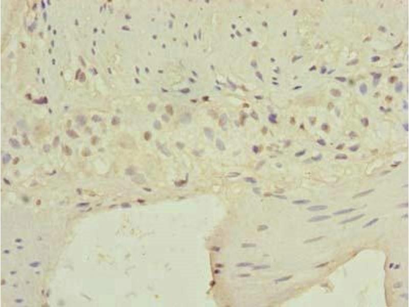
Choisissez l’un des 33 anticorps C9orf89 de notre liste de produits basés sur 5 images de validation.

Découvrez des anticorps C9orf89 fiables issus d’une large sélection de fabricants renommés. Notre portefeuille permet une détection précise de C9orf89 dans plusieurs espèces, y compris Human, Mouse, Rat, et prend en charge diverses applications de recherche telles que WB, IF (cc), IF (p), ELISA, IHC (p).

Trouvez rapidement l’anticorps adapté grâce à nos outils de recherche, de filtrage et de comparaison. Chaque page produit fournit des données de validation détaillées, des références bibliographiques et des retours d’utilisateurs. Contrairement aux ressources dédiées uniquement à la comparaison, vous pouvez acheter directement les anticorps sur notre site. Choisissez parmi des anticorps polyclonaux, monoclonaux ou recombinants C9orf89, issus de différents hôtes tels que Rabbit, Mouse. Parcourez nos produits ci-dessous et commandez directement pour soutenir vos recherches en toute confiance.

Les noms alternatifs de C9orf89 sont CARD19, Card19.

33 Résultats

C9orf89 Reactivité: Humain ELISA, IHC Hôte: Lapin Polyclonal unconjugated
N° du produit ABIN7145326
328,90 €
Plus frais de livraison 40,00 € et TVA
100 μg (Autres quantités disponibles)
Destination: France
Envoi sous 11 à 15 jours ouvrables
 
C9orf89 Reactivité: Humain WB Hôte: Souris Polyclonal unconjugated
N° du produit ABIN529631
651,20 €
Plus frais de livraison 40,00 € et TVA
50 μg
Destination: France
Envoi sous 8 à 9 jours ouvrables
 
C9orf89 Reactivité: Souris, Rat WB Hôte: Lapin Polyclonal unconjugated
N° du produit ABIN7073503
592,31 €
Plus frais de livraison 40,00 € et TVA
100 μL
Destination: France
Envoi sous 13 à 20 jours ouvrables
 
C9orf89 Reactivité: Humain WB, IF (cc), IF (p) Hôte: Lapin Polyclonal AbBy Fluor® 750
N° du produit ABIN4998844
426,37 €
Plus frais de livraison 40,00 € et TVA
100 μL
Destination: France
Envoi sous 20 à 25 jours ouvrables
 
C9orf89 Reactivité: Humain WB, IF (cc), IF (p) Hôte: Lapin Polyclonal AbBy Fluor® 680
N° du produit ABIN4998843
426,37 €
Plus frais de livraison 40,00 € et TVA
100 μL
Destination: France
Envoi sous 20 à 25 jours ouvrables
 
C9orf89 Reactivité: Humain ELISA, WB, IHC (p), IHC (fro) Hôte: Lapin Polyclonal HRP
N° du produit ABIN2172155
437,53 €
Plus frais de livraison 40,00 € et TVA
100 μL
Destination: France
Envoi sous 20 à 25 jours ouvrables
 
C9orf89 Reactivité: Humain, Souris ELISA, IHC (p) Hôte: Lapin Polyclonal unconjugated
N° du produit ABIN7225394
623,62 €
Plus frais de livraison 40,00 € et TVA
100 μL (Autres quantités disponibles)
Destination: France
Envoi sous 10 à 14 jours ouvrables
 
C9orf89 Reactivité: Humain ELISA, WB, IHC (p), IHC (fro) Hôte: Lapin Polyclonal Biotin
N° du produit ABIN2172149
419,50 €
Plus frais de livraison 40,00 € et TVA
100 μL
Destination: France
Envoi sous 20 à 25 jours ouvrables
 
C9orf89 Reactivité: Humain WB, IF (cc), IF (p) Hôte: Lapin Polyclonal AbBy Fluor® 647
N° du produit ABIN2172148
426,37 €
Plus frais de livraison 40,00 € et TVA
100 μL
Destination: France
Envoi sous 20 à 25 jours ouvrables
 
C9orf89 Reactivité: Humain WB, IF (cc), IF (p) Hôte: Lapin Polyclonal Cy5.5
N° du produit ABIN2172152
437,53 €
Plus frais de livraison 40,00 € et TVA
100 μL
Destination: France
Envoi sous 20 à 25 jours ouvrables
 
C9orf89 Reactivité: Humain WB, IF (cc), IF (p) Hôte: Lapin Polyclonal FITC
N° du produit ABIN2172154
437,53 €
Plus frais de livraison 40,00 € et TVA
100 μL
Destination: France
Envoi sous 20 à 25 jours ouvrables
 
C9orf89 Reactivité: Humain ELISA, WB, IF (cc), IF (p), IHC (p), IHC (fro), ICC Hôte: Lapin Polyclonal unconjugated
N° du produit ABIN2172144
357,70 €
Plus frais de livraison 40,00 € et TVA
100 μL
Destination: France
Envoi sous 8 à 12 jours ouvrables
 
C9orf89 Reactivité: Humain WB, IF (cc), IF (p) Hôte: Lapin Polyclonal AbBy Fluor® 350
N° du produit ABIN2172145
426,37 €
Plus frais de livraison 40,00 € et TVA
100 μL
Destination: France
Envoi sous 20 à 25 jours ouvrables
 
C9orf89 Reactivité: Humain WB, IF (cc), IF (p) Hôte: Lapin Polyclonal Cy7
N° du produit ABIN2172153
437,53 €
Plus frais de livraison 40,00 € et TVA
100 μL
Destination: France
Envoi sous 20 à 25 jours ouvrables
 
C9orf89 Reactivité: Humain WB, IF (cc), IF (p) Hôte: Lapin Polyclonal Cy3
N° du produit ABIN2172150
437,53 €
Plus frais de livraison 40,00 € et TVA
100 μL
Destination: France
Envoi sous 20 à 25 jours ouvrables
 
C9orf89 Reactivité: Humain WB, IF (cc), IF (p) Hôte: Lapin Polyclonal Cy5
N° du produit ABIN2172151
437,53 €
Plus frais de livraison 40,00 € et TVA
100 μL
Destination: France
Envoi sous 20 à 25 jours ouvrables
 
C9orf89 Reactivité: Humain WB, IF (cc), IF (p) Hôte: Lapin Polyclonal AbBy Fluor® 555
N° du produit ABIN2172147
426,37 €
Plus frais de livraison 40,00 € et TVA
100 μL
Destination: France
Envoi sous 20 à 25 jours ouvrables
 
C9orf89 Reactivité: Humain WB, IF (cc), IF (p) Hôte: Lapin Polyclonal AbBy Fluor® 488
N° du produit ABIN2172146
426,37 €
Plus frais de livraison 40,00 € et TVA
100 μL
Destination: France
Envoi sous 20 à 25 jours ouvrables
 
C9orf89 Reactivité: Humain ELISA Hôte: Lapin Polyclonal HRP
N° du produit ABIN7145329
328,90 €
Plus frais de livraison 40,00 € et TVA
100 μg (Autres quantités disponibles)
Destination: France
Envoi sous 11 à 15 jours ouvrables
 
C9orf89 Reactivité: Humain ELISA Hôte: Lapin Polyclonal Biotin
N° du produit ABIN7145327
328,90 €
Plus frais de livraison 40,00 € et TVA
100 μg (Autres quantités disponibles)
Destination: France
Envoi sous 11 à 15 jours ouvrables
 
  • Type Primary
    • Primary
  • Application
    • Western Blotting (WB)
    • Immunofluorescence (Cultured Cells) (IF (cc))
    • Immunofluorescence (Paraffin-embedded Sections) (IF (p))
    • ELISA
    • Immunohistochemistry (Paraffin-embedded Sections) (IHC (p))
    • Immunohistochemistry (Frozen Sections) (IHC (fro))
    • Immunohistochemistry (IHC)
    • Immunocytochemistry (ICC)
  • Réactivité
    • Human
    • Mouse
    • Rat
  • Images disponible
  • Carrier free only
  • Hote
    • Rabbit
    • Mouse
  • Clonalité
    • Polyclonal
  • Epitope
    • AA 1-100
    • AA 1-183
    • AA 21-70
    • AA 40-120
    • Internal Region
  • Conjugué
    • Inconjugué
    • Biotin
    • FITC
    • HRP
    • AbBy Fluor® 350
    • AbBy Fluor® 488
    • AbBy Fluor® 555
    • AbBy Fluor® 594
    • AbBy Fluor® 647
    • AbBy Fluor® 680
    • AbBy Fluor® 750
    • Alexa Fluor 488
    • Alexa Fluor 555
    • Alexa Fluor 594
    • Alexa Fluor 647
    • Alexa Fluor 680
    • Alexa Fluor 750
    • Cy3
    • Cy5
    • Cy5.5
    • Cy7
  • Isotype
    • IgG
  • Format
    • Liquid
  • Supplier
    • antibodies-online
    • Signalway
    • Abbexa
    • Assay Biotechnology Company, Inc.

Pseudonymes pour C9orf89 Anticorps

caspase recruitment domain family member 19 (CARD19) Anticorps
caspase recruitment domain family, member 19 (Card19) Anticorps
AI851695 Anticorps
bA370F5.1 Anticorps
BinCARD Anticorps
Bincard Anticorps
C9orf89 Anticorps
Vous êtes ici:
Chat with us!