Tel:
+49 (0)241 95 163 153
Fax:
+49 (0)241 95 163 155
E-Mail:
orders@anticorps-enligne.fr

DLG4 Anticorps

(Discs, Large Homolog 4 (Drosophila) (DLG4))

Choisissez l’un des 201 anticorps DLG4 de notre liste de produits basés sur 25 publications et 139 images de validation.

Découvrez des anticorps DLG4 fiables issus d’une large sélection de fabricants renommés. Notre portefeuille permet une détection précise de DLG4 dans plusieurs espèces, y compris Rat, Human, Mouse, Cow, Monkey, Rabbit, Zebrafish (Danio rerio), Guinea Pig, Horse, Dog, Hamster, Bat, Non-Human Primate, Pig, Sheep, et prend en charge diverses applications de recherche telles que WB, IHC, FACS, ICC, IF.

Trouvez rapidement l’anticorps adapté grâce à nos outils de recherche, de filtrage et de comparaison. Chaque page produit fournit des données de validation détaillées, des références bibliographiques et des retours d’utilisateurs. Contrairement aux ressources dédiées uniquement à la comparaison, vous pouvez acheter directement les anticorps sur notre site. Choisissez parmi des anticorps polyclonaux, monoclonaux ou recombinants DLG4, issus de différents hôtes tels que Rabbit, Mouse, Alpaca. Parcourez nos produits ci-dessous et commandez directement pour soutenir vos recherches en toute confiance.

Les noms alternatifs de DLG4 sont dlg1, dlg4, DLG4, dlg4b, Dlg4.

201 Résultats

DLG4 Reactivité: Rat WB, IHC, ICC, IF, AA Hôte: Souris Monoclonal 6G6 Atto 594
N° du produit ABIN2484808
678,21 €
Plus frais de livraison 40,00 € et TVA
100 μg
Destination: France
Envoi sous 7 à 10 jours ouvrables
 
DLG4 Reactivité: Rat WB, IHC, ICC, IF, AA Hôte: Souris Monoclonal 6G6 Atto 390
N° du produit ABIN2484805
679,64 €
Plus frais de livraison 40,00 € et TVA
100 μg
Destination: France
Envoi sous 7 à 10 jours ouvrables
 
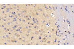
DLG4 Reactivité: Rat, Humain, Souris, Boeuf (Vache), Singe, Lapin, Poisson zèbre (Danio rerio), Chien, Cheval, Cobaye WB, IHC, IHC (p) Hôte: Lapin Polyclonal unconjugated
N° du produit ABIN6749749
639,37 €
Plus frais de livraison 40,00 € et TVA
100 μL
Destination: France
Envoi sous 15 à 20 jours ouvrables
 
DLG4 Reactivité: Rat, Humain, Souris WB, FACS Hôte: Lapin Polyclonal unconjugated
N° du produit ABIN3043563
500,50 €
Plus frais de livraison 40,00 € et TVA
100 μg
Destination: France
Envoi sous 8 à 12 jours ouvrables
 
DLG4 Reactivité: Rat, Humain, Souris WB, IHC, IF Hôte: Lapin Polyclonal unconjugated
N° du produit ABIN3044479
500,50 €
Plus frais de livraison 40,00 € et TVA
100 μg
Destination: France
Envoi sous 8 à 12 jours ouvrables
 
DLG4 Reactivité: Souris WB, IHC, ICC, IP Hôte: Lapin Polyclonal unconjugated
N° du produit ABIN7436216
317,29 €
Plus frais de livraison 40,00 € et TVA
100 μL (Autres quantités disponibles)
Destination: France
Envoi sous 11 à 15 jours ouvrables
 
DLG4 Reactivité: Rat, Humain, Souris WB, ICC, ELISA, FACS, IF (cc), IF (p), IHC (p), IHC (fro) Hôte: Lapin Polyclonal unconjugated
N° du produit ABIN5001294
357,70 €
Plus frais de livraison 40,00 € et TVA
100 μL
Destination: France
Envoi sous 8 à 12 jours ouvrables
 
DLG4 Reactivité: Rat, Humain, Souris, Singe WB, ICC, ELISA, FACS, IF (cc), IF (p), IHC (p), IHC (fro) Hôte: Lapin Polyclonal unconjugated
Pubmed 6 références
N° du produit ABIN725930
357,70 €
Plus frais de livraison 40,00 € et TVA
100 μL
Destination: France
Envoi sous 8 à 12 jours ouvrables
 
DLG4 Reactivité: Humain, Souris WB, IHC (p) Hôte: Souris Monoclonal 127CT15-8-20 unconjugated
N° du produit ABIN658997
434,77 €
Plus frais de livraison 40,00 € et TVA
0.1 mL
Destination: France
Envoi sous 14 à 17 jours ouvrables
 
Verified DLG4 Reactivité: Rat WB, ELISA Hôte: Chèvre Polyclonal unconjugated
N° du produit ABIN570971
488,25 €
Plus frais de livraison 40,00 € et TVA
100 μg
Destination: France
Envoi sous 5 à 8 jours ouvrables
 
DLG4 Reactivité: Humain WB, ELISA Hôte: Souris Polyclonal unconjugated
N° du produit ABIN560610
508,80 €
Plus frais de livraison 40,00 € et TVA
50 μL
Destination: France
Envoi sous 8 à 9 jours ouvrables
 
DLG4 Reactivité: Rat, Humain, Souris WB, IHC, ELISA Hôte: Lapin Polyclonal unconjugated
N° du produit ABIN6264460
525,71 €
Plus frais de livraison 40,00 € et TVA
100 μL (Autres quantités disponibles)
Destination: France
Envoi sous 9 à 11 jours ouvrables
 
Microarray verified DLG4 Reactivité: Humain, Souris IHC Hôte: Souris Monoclonal MAB347278 unconjugated
N° du produit ABIN7456070
633,33 €
Plus frais de livraison 40,00 € et TVA
100 μg
Destination: France
Envoi sous 17 à 21 jours ouvrables
 
Microarray verified DLG4 Reactivité: Humain, Souris IHC Hôte: Souris Monoclonal MAB102600 unconjugated
N° du produit ABIN7455965
633,33 €
Plus frais de livraison 40,00 € et TVA
100 μg
Destination: France
Envoi sous 17 à 21 jours ouvrables
 
Microarray verified DLG4 Reactivité: Humain, Souris IHC Hôte: Souris Monoclonal MAB926393 unconjugated
N° du produit ABIN7456317
633,33 €
Plus frais de livraison 40,00 € et TVA
100 μg
Destination: France
Envoi sous 17 à 21 jours ouvrables
 
Microarray verified DLG4 Reactivité: Humain, Souris IHC Hôte: Souris Monoclonal MAB357603 unconjugated
N° du produit ABIN7456076
633,33 €
Plus frais de livraison 40,00 € et TVA
100 μg
Destination: France
Envoi sous 17 à 21 jours ouvrables
 
DLG4 Reactivité: Humain WB Hôte: Souris Polyclonal unconjugated
N° du produit ABIN950140
651,20 €
Plus frais de livraison 40,00 € et TVA
50 μg
Destination: France
Envoi sous 8 à 9 jours ouvrables
 
DLG4 Reactivité: Rat, Humain, Souris, Hamster WB, IP Hôte: Lapin Polyclonal unconjugated
Pubmed 10 références
N° du produit ABIN1742271
393,85 €
Plus frais de livraison 40,00 € et TVA
200 μL
Destination: France
Envoi sous 2 à 3 jours ouvrables
 
Rockland 200-301-g32 DLG4 Reactivité: Rat WB, IHC, ELISA, IF, FM Hôte: Souris Monoclonal 6G6 unconjugated
N° du produit ABIN6658152
628,53 €
Frais d'envoi 40,00 €, glace carbonique 20,00 € et TVA exclus
100 μg
Destination: France
Envoi sous 5 à 8 jours ouvrables
Rockland Original
Rockland 200-301-g33 DLG4 Reactivité: Rat WB, IHC, IF Hôte: Souris Monoclonal 7E3 unconjugated
N° du produit ABIN6658153
628,53 €
Frais d'envoi 40,00 €, glace carbonique 20,00 € et TVA exclus
100 μg
Destination: France
Envoi sous 5 à 8 jours ouvrables
Rockland Original
  • Type Primary
    • Primary
  • Application
    • Western Blotting (WB)
    • Immunohistochemistry (IHC)
    • Flow Cytometry (FACS)
    • Immunocytochemistry (ICC)
    • Immunofluorescence (IF)
    • Immunofluorescence (Cultured Cells) (IF (cc))
    • Immunofluorescence (Paraffin-embedded Sections) (IF (p))
    • ELISA
    • Immunoprecipitation (IP)
    • Antibody Array (AA)
    • Immunofluorescence (fixed cells) (IF/ICC)
    • Immunohistochemistry (Paraffin-embedded Sections) (IHC (p))
    • Immunohistochemistry (Frozen Sections) (IHC (fro))
    • Fluorescence Microscopy (FM)
    • Immunochromatography (IC)
    • Multiplex Immunohistochemistry (mIHC)
  • Réactivité
    • Rat
    • Human
    • Mouse
    • Cow
    • Monkey
    • Rabbit
    • Zebrafish (Danio rerio)
    • Guinea Pig
    • Horse
    • Dog
    • Hamster
    • Bat
    • Non-Human Primate
    • Pig
    • Sheep
  • Cité dans publications
  • Images disponible
  • Independent Validation
  • Sans conservateur uniquement
  • Carrier free only
  • Hote
    • Rabbit
    • Mouse
    • Alpaca
    • Goat
    • Guinea Pig
    • Human
  • Clonalité
    • Monoclonal
    • Polyclonal
  • Clone
    • 6G6
    • 7E3
    • K28-43
    • K28-74
    • 1B2
    • RM288
    • 11C253
    • 127CT15-8-20
    • 16-PSD
    • 1H4
    • 1H8
    • 2D5H2
    • 3H3D4
    • 6G6-1C9
    • DAF-4
    • MAB102600
    • MAB347278
    • MAB357603
    • MAB926393
    • PF11
    • PT0455R
    • RB54010
    • S28-43
    • S28-86
  • Epitope
    • AA 351-450
    • AA 468-560
    • pTyr236
    • pTyr240
    • AA 77-299
    • PDZ Domain
    • N-Term
    • AA 1-767
    • AA 551-724
    • C-Term
    • Internal Region
    • AA 492-507
    • AA 505-518
    • AA 54-300
    • AA 581-724
    • Intracellular
    • AA 1-393
    • AA 18-32
    • AA 18-711
    • AA 253-302
    • AA 353-504
    • AA 548-579
    • AA 665-766
    • AA 677-706
    • AA 683-732
    • Fusion Domain
    • Leu302
    • Middle Region
    • Ser295
    • Ser307
    • pSer295
  • Conjugué
    • Inconjugué
    • Biotin
    • FITC
    • HRP
    • PE
    • Atto 488
    • APC
    • Alexa Fluor 647
    • Atto 390
    • Atto 594
    • PerCP
    • AbBy Fluor® 350
    • AbBy Fluor® 488
    • AbBy Fluor® 555
    • AbBy Fluor® 594
    • AbBy Fluor® 647
    • AbBy Fluor® 680
    • AbBy Fluor® 750
    • Alexa Fluor 488
    • Alexa Fluor 555
    • Alexa Fluor 594
    • Alexa Fluor 680
    • Alexa Fluor 750
    • Cy3
    • Cy5
    • Cy5.5
    • Cy7
    • FL490
    • FL550
    • FL594
    • FL650
    • Alexa Fluor 350
    • Alexa Fluor 405
    • Alexa Fluor 568
    • DBCO
    • Fc Tag
  • Isotype
    • IgG
    • IgG2a
    • IgG1
    • kappa
    • IgG2a kappa
    • Ig Fraction
    • IgG1 kappa
    • IgG2
    • IgG2b kappa
    • IgG3 kappa
    • IgM
  • Type Proteine
    • Recombinant Antibody
  • Format
    • Liquid
    • Lyophilized
  • Fragment
    • single-domain Antibody (sdAb)
  • Grade
    • KO Validated
    • Microarray verified
    • Carrier-free
    • Verified
  • Supplier
    • antibodies-online
    • Signalway
    • Abbexa
    • Antibodies Incorporated
    • Rockland
    • Boster Bio
    • Alomone Labs
    • Cohesion Biosciences
    • NSJ Bioreagents
    • ProteoGenix
    • Synaptic Systems
    • Abiocode
    • Acris
    • Assay Biotechnology Company, Inc.
    • Aviva Systems Biology
    • BD Biosciences
    • Biomatik
    • Covalab
    • ProSci
    • QED Bioscience
    • RevMAb Biosciences
    • USBio

Dernières publications pour nos DLG4 Anticorps

Zhang, Su, Sun, Chen, Han, Li, Dong, Ding, Fang, Li, Li: "Ginsenoside Rg1 alleviates Aβ deposition by inhibiting NADPH oxidase 2 activation in APP/PS1 mice." dans: Journal of ginseng research, Vol. 45, Issue 6, pp. 665-675, (2021) (PubMed).

Zhang, Chen, Wu, Zeng, Yuan, Cheng, Yang, Wang, Yang, Xu, Lei, Cao, Xu: "Histological Correlates of Neuroanatomical Changes in a Rat Model of Levodopa-Induced Dyskinesia Based on Voxel-Based Morphometry." dans: Frontiers in aging neuroscience, Vol. 13, pp. 759934, (2021) (PubMed).

Zhang, Liu, Zhang, Wei, Gao, Ma, Li, Cai, Shen: "Electroacupuncture Ameliorates Depression-Like Behaviour in Rats by Enhancing Synaptic Plasticity via the GluN2B/CaMKII/CREB Signalling Pathway." dans: Evidence-based complementary and alternative medicine : eCAM, Vol. 2021, pp. 2146001, (2021) (PubMed).

Madore, Leyrolle, Morel, Rossitto, Greenhalgh, Delpech, Martinat, Bosch-Bouju, Bourel, Rani, Lacabanne, Thomazeau, Hopperton, Beccari, Sere, Aubert, De Smedt-Peyrusse, Lecours, Bisht, Fourgeaud et al.: "Essential omega-3 fatty acids tune microglial phagocytosis of synaptic elements in the mouse developing brain. ..." dans: Nature communications, Vol. 11, Issue 1, pp. 6133, (2020) (PubMed).

Hodges, Louth, Bailey, McCormick: "Adolescent social instability stress alters markers of synaptic plasticity and dendritic structure in the medial amygdala and lateral septum in male rats." dans: Brain structure & function, Vol. 224, Issue 2, pp. 643-659, (2019) (PubMed).

Marcolin, Baumbach, Hodges, McCormick: "The effects of social instability stress and subsequent ethanol consumption in adolescence on brain and behavioural development in male rats." dans: Alcohol (Fayetteville, N.Y.), (2019) (PubMed).

Ku, Li, Gao, Zhang, Yan, Ji, Li, Sang: "NF-κB-regulated microRNA-574-5p underlies synaptic and cognitive impairment in response to atmospheric PM2.5 aspiration." dans: Particle and fibre toxicology, Vol. 14, Issue 1, pp. 34, (2018) (PubMed).

Liu, Feng, Chen, Luo, Yan, Chen, Lin, Ding, Wen: "Dcf1 Triggers Dendritic Spine Formation and Facilitates Memory Acquisition." dans: Molecular neurobiology, Vol. 55, Issue 1, pp. 763-775, (2018) (PubMed).

Simone, Baumbach, McCormick: "Sex-specific effects of CB1 receptor antagonism and stress in adolescence on anxiety, corticosterone concentrations, and contextual fear in adulthood in rats." dans: International journal of developmental neuroscience : the official journal of the International Society for Developmental Neuroscience, Vol. 69, pp. 119-131, (2018) (PubMed).

Casciati, Dobos, Antonelli, Benedek, Kempf, Bellés, Balogh, Tanori, Heredia, Atkinson, von Toerne, Azimzadeh, Saran, Sáfrány, Benotmane, Linares-Vidal, Tapio, Lumniczky, Pazzaglia: "Age-related effects of X-ray irradiation on mouse hippocampus." dans: Oncotarget, Vol. 7, Issue 19, pp. 28040-58, (2018) (PubMed).

Pseudonymes pour DLG4 Anticorps

discs large 1 (dlg1) Anticorps
discs, large homolog 4 (dlg4) Anticorps
discs large MAGUK scaffold protein 4 (DLG4) Anticorps
discs, large homolog 4b (Drosophila) (dlg4b) Anticorps
discs, large homolog 4 (Drosophila) (Dlg4) Anticorps
discs large MAGUK scaffold protein 4 (Dlg4) Anticorps
11 Anticorps
anon-EST:Posey93 Anticorps
anon-WO03040301.258 Anticorps
anon-WO03040301.260 Anticorps
anon-WO03040301.268 Anticorps
CG1725 Anticorps
CG1730 Anticorps
CPD Anticorps
d. lg.-1 Anticorps
Discs-large Anticorps
DLG Anticorps
Dlg Anticorps
dlg Anticorps
dlg-1 Anticorps
DLG-A Anticorps
Dlg-A Anticorps
dlg-A Anticorps
Dlg1 Anticorps
DLG4 Anticorps
DlgA Anticorps
dlgA Anticorps
dlgh4 Anticorps
Dlgh4 Anticorps
dlgS97 Anticorps
Dmel\\CG1725 Anticorps
Drodlg Anticorps
l(1)10Bf Anticorps
l(1)bwn Anticorps
l(1)d.lg-1 Anticorps
l(1)d.lg.-1 Anticorps
l(1)discs large Anticorps
l(1)dlg Anticorps
l(1)dlg-1 Anticorps
l(1)dlg1 Anticorps
l(1)G0276 Anticorps
l(1)G0342 Anticorps
l(1)G0456 Anticorps
l(1)G19 Anticorps
l(1)l.pr.-2 Anticorps
l(1)L11 Anticorps
l(1)lpr-2 Anticorps
LLGL1 Anticorps
misb Anticorps
PSD-95 Anticorps
PSD95 Anticorps
psd95 Anticorps
sap-90 Anticorps
SAP-90 Anticorps
sap90 Anticorps
SAP90 Anticorps
Sap90 Anticorps
SAP90A Anticorps
SAP97 Anticorps
Vous êtes ici:
Chat with us!