Tel:
+49 (0)241 95 163 153
Fax:
+49 (0)241 95 163 155
E-Mail:
orders@anticorps-enligne.fr

DKC1 Anticorps

(Dyskeratosis Congenita 1, Dyskerin (DKC1))

Choisissez l’un des 93 anticorps DKC1 de notre liste de produits basés sur 51 images de validation.

Découvrez des anticorps DKC1 fiables issus d’une large sélection de fabricants renommés. Notre portefeuille permet une détection précise de DKC1 dans plusieurs espèces, y compris Human, Mouse, Rat, Cow, Dog, Rabbit, Sheep, Zebrafish (Danio rerio), Guinea Pig, Horse, Monkey, Goat, Hamster, Pig, Saccharomyces cerevisiae, Xenopus laevis, et prend en charge diverses applications de recherche telles que WB, IHC, IF, ICC, ELISA.

Trouvez rapidement l’anticorps adapté grâce à nos outils de recherche, de filtrage et de comparaison. Chaque page produit fournit des données de validation détaillées, des références bibliographiques et des retours d’utilisateurs. Contrairement aux ressources dédiées uniquement à la comparaison, vous pouvez acheter directement les anticorps sur notre site. Choisissez parmi des anticorps polyclonaux, monoclonaux ou recombinants DKC1, issus de différents hôtes tels que Rabbit, Mouse, Goat. Parcourez nos produits ci-dessous et commandez directement pour soutenir vos recherches en toute confiance.

Les noms alternatifs de DKC1 sont DKC1, MIR664B, dkc1, dkc1.L, Dkc1, NAP57.

93 Résultats

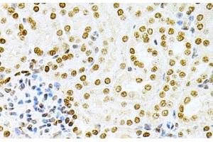
DKC1 Reactivité: Humain WB, IHC Hôte: Lapin Monoclonal unconjugated
N° du produit ABIN7266869
330,00 €
Plus frais de livraison 40,00 € et TVA
100 μL (Autres quantités disponibles)
Destination: France
Envoi sous 8 à 10 jours ouvrables
 
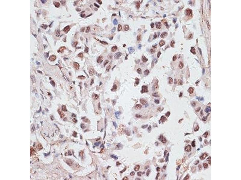
DKC1 Reactivité: Humain, Souris, Rat IHC, IF Hôte: Lapin Polyclonal unconjugated
N° du produit ABIN7259883
449,00 €
Plus frais de livraison 40,00 € et TVA
200 μL (Autres quantités disponibles)
Destination: France
Envoi sous 9 à 13 jours ouvrables
 
DKC1 Reactivité: Humain WB, IHC, IF Hôte: Lapin Polyclonal unconjugated
N° du produit ABIN6139635
320,00 €
Plus frais de livraison 40,00 € et TVA
100 μL (Autres quantités disponibles)
Destination: France
Envoi sous 8 à 10 jours ouvrables
 
DKC1 Reactivité: Humain WB, IF, IHC (p) Hôte: Souris Polyclonal unconjugated
N° du produit ABIN514989
651,20 €
Plus frais de livraison 40,00 € et TVA
50 μg
Destination: France
Envoi sous 8 à 9 jours ouvrables
 
KD Validated DKC1 Reactivité: Humain WB, FACS Hôte: Lapin Monoclonal 25GB3495 unconjugated Recombinant Antibody
N° du produit ABIN7798408
598,92 €
Plus frais de livraison 40,00 € et TVA
100 μL
Destination: France
Envoi sous 7 à 10 jours ouvrables
 
DKC1 Reactivité: Humain, Souris WB, IF, IHC (p) Hôte: Lapin Polyclonal RB26907 unconjugated
N° du produit ABIN651670
434,77 €
Plus frais de livraison 40,00 € et TVA
400 μL (Autres quantités disponibles)
Destination: France
Envoi sous 14 à 17 jours ouvrables
 
DKC1 Reactivité: Humain WB, ELISA Hôte: Souris Monoclonal 3E10 unconjugated
N° du produit ABIN2566130
651,20 €
Plus frais de livraison 40,00 € et TVA
100 μg
Destination: France
Envoi sous 8 à 9 jours ouvrables
 
DKC1 Reactivité: Humain WB, ICC, FACS Hôte: Lapin Monoclonal 23GB1810 unconjugated Recombinant Antibody
N° du produit ABIN7798407
394,31 €
Plus frais de livraison 40,00 € et TVA
100 μL
Destination: France
Envoi sous 7 à 10 jours ouvrables
 
DKC1 Reactivité: Humain WB, IF, ELISA Hôte: Lapin Polyclonal unconjugated
N° du produit ABIN7154810
328,90 €
Plus frais de livraison 40,00 € et TVA
100 μg (Autres quantités disponibles)
Destination: France
Envoi sous 11 à 15 jours ouvrables
 
DKC1 Reactivité: Humain WB, IHC, ICC, IP Hôte: Lapin Polyclonal unconjugated
N° du produit ABIN5013475
245,00 €
Plus frais de livraison 40,00 € et TVA
100 μL
Destination: France
Envoi sous 13 à 17 jours ouvrables
 
DKC1 Reactivité: Souris WB, IHC, ICC, IP Hôte: Lapin Polyclonal unconjugated
N° du produit ABIN5013474
252,00 €
Plus frais de livraison 40,00 € et TVA
100 μL
Destination: France
Envoi sous 13 à 17 jours ouvrables
 
DKC1 Reactivité: Humain, Souris, Lapin, Singe WB, IHC, IF Hôte: Lapin Polyclonal unconjugated
N° du produit ABIN7302736
330,77 €
Plus frais de livraison 40,00 € et TVA
100 μL (Autres quantités disponibles)
Destination: France
Envoi sous 17 à 20 jours ouvrables
 
DKC1 Reactivité: Humain WB Hôte: Lapin Polyclonal unconjugated
N° du produit ABIN634217
1.218,13 €
Plus frais de livraison 40,00 € et TVA
100 μL
Destination: France
Envoi sous 13 à 17 jours ouvrables
 
Verified DKC1 Reactivité: Humain IHC, ELISA Hôte: Chèvre Polyclonal unconjugated
N° du produit ABIN190831
488,25 €
Plus frais de livraison 40,00 € et TVA
100 μg
Destination: France
Envoi sous 5 à 8 jours ouvrables
 
DKC1 Reactivité: Humain, Souris, Rat WB, IHC, IF, ELISA Hôte: Lapin Polyclonal unconjugated
N° du produit ABIN3184375
377,51 €
Plus frais de livraison 40,00 € et TVA
100 μL (Autres quantités disponibles)
Destination: France
Envoi sous 8 à 10 jours ouvrables
 
DKC1 Reactivité: Humain, Lapin, Singe, Boeuf (Vache), Chien, Mouton, Poisson zèbre (Danio rerio), Cobaye, Cheval, Hamster, Porc WB Hôte: Lapin Polyclonal unconjugated
N° du produit ABIN6742970
789,41 €
Plus frais de livraison 40,00 € et TVA
100 μL
Destination: France
Envoi sous 15 à 20 jours ouvrables
 
DKC1 Reactivité: Humain, Souris, Rat WB, IF, ELISA Hôte: Lapin Polyclonal unconjugated
N° du produit ABIN1533529
402,00 €
Plus frais de livraison 40,00 € et TVA
100 μL (Autres quantités disponibles)
Destination: France
Envoi sous 6 à 9 jours ouvrables
 
DKC1 Reactivité: Rat WB, IHC, ICC, IP Hôte: Lapin Polyclonal unconjugated
N° du produit ABIN5013473
266,00 €
Plus frais de livraison 40,00 € et TVA
100 μL
Destination: France
Envoi sous 13 à 17 jours ouvrables
 
DKC1 Reactivité: Humain WB, IF (cc), IF (p) Hôte: Lapin Polyclonal AbBy Fluor® 750
N° du produit ABIN5001604
426,37 €
Plus frais de livraison 40,00 € et TVA
100 μL
Destination: France
Envoi sous 20 à 25 jours ouvrables
 
DKC1 Reactivité: Humain WB, IF (cc), IF (p) Hôte: Lapin Polyclonal AbBy Fluor® 680
N° du produit ABIN5001603
426,37 €
Plus frais de livraison 40,00 € et TVA
100 μL
Destination: France
Envoi sous 20 à 25 jours ouvrables
 
  • Type Primary
    • Primary
  • Application
    • Western Blotting (WB)
    • Immunohistochemistry (IHC)
    • Immunofluorescence (IF)
    • Immunocytochemistry (ICC)
    • ELISA
    • Immunofluorescence (Cultured Cells) (IF (cc))
    • Immunofluorescence (Paraffin-embedded Sections) (IF (p))
    • Immunohistochemistry (Paraffin-embedded Sections) (IHC (p))
    • Immunoprecipitation (IP)
    • Flow Cytometry (FACS)
    • Immunohistochemistry (Frozen Sections) (IHC (fro))
    • Immunofluorescence (fixed cells) (IF/ICC)
  • Réactivité
    • Human
    • Mouse
    • Rat
    • Cow
    • Dog
    • Rabbit
    • Sheep
    • Zebrafish (Danio rerio)
    • Guinea Pig
    • Horse
    • Monkey
    • Goat
    • Hamster
    • Pig
    • Saccharomyces cerevisiae
    • Xenopus laevis
  • Images disponible
  • Sans conservateur uniquement
  • Carrier free only
  • Hote
    • Rabbit
    • Mouse
    • Goat
  • Clonalité
    • Polyclonal
    • Monoclonal
  • Clone
    • S02-2D8
    • 18D42
    • 23GB1810
    • 25GB3495
    • 3E10
    • R03-6X5R03-6X5
    • RB26907
  • Epitope
    • AA 81-190
    • AA 185-213
    • AA 94-170
    • AA 1-514
    • Internal Region
    • AA 171-220
    • AA 298-509
    • AA 340-390
    • AA 390-440
    • Center
    • N-Term
    • AA 1-180
    • AA 140-220
    • AA 19-447
    • AA 192-221
    • AA 298-465
    • AA 35-84
    • C-Term
    • Lys203
  • Conjugué
    • Inconjugué
    • Biotin
    • Alexa Fluor 488
    • Alexa Fluor 555
    • Alexa Fluor 594
    • Alexa Fluor 647
    • Alexa Fluor 680
    • Alexa Fluor 750
    • FITC
    • HRP
    • Alexa Fluor 350
    • Alexa Fluor 405
    • APC
    • AbBy Fluor® 350
    • AbBy Fluor® 488
    • AbBy Fluor® 555
    • AbBy Fluor® 594
    • AbBy Fluor® 647
    • AbBy Fluor® 680
    • AbBy Fluor® 750
    • Cy3
    • Cy5
    • Cy5.5
    • Cy7
    • PE
  • Isotype
    • IgG
    • Ig Fraction
    • IgG2a
  • Type Proteine
    • Recombinant Antibody
  • Format
    • Liquid
    • Lyophilized
  • Grade
    • KD Validated
    • KO Validated
    • Verified
  • Supplier
    • antibodies-online
    • Signalway
    • Cloud-Clone
    • Abbexa
    • Boster Bio
    • Abiocode
    • Acris
    • Assay Biotechnology Company, Inc.
    • Aviva Systems Biology
    • Cohesion Biosciences
    • USBio

Dernières publications pour nos DKC1 Anticorps

von Stedingk, Koster, Piqueras, Noguera, Navarro, Påhlman, Versteeg, Ora, Gisselsson, Lindgren, Axelson: "snoRNPs Regulate Telomerase Activity in Neuroblastoma and Are Associated with Poor Prognosis." dans: Translational oncology, Vol. 6, Issue 4, pp. 447-57, (2013) (PubMed).

Stadler, Rexhepaj, Singan, Murphy, Pepperkok, Uhlén, Simpson, Lundberg: "Immunofluorescence and fluorescent-protein tagging show high correlation for protein localization in mammalian cells." dans: Nature methods, Vol. 10, Issue 4, pp. 315-23, (2013) (PubMed).

Koskimaa, Kurvinen, Costa, Syrjänen, Syrjänen: "Molecular markers implicating early malignant events in cervical carcinogenesis." dans: Cancer epidemiology, biomarkers & prevention : a publication of the American Association for Cancer Research, cosponsored by the American Society of Preventive Oncology, Vol. 19, Issue 8, pp. 2003-12, (2010) (PubMed).

Sieron, Hader, Hatina, Engers, Wlazlinski, Müller, Schulz: "DKC1 overexpression associated with prostate cancer progression." dans: British journal of cancer, Vol. 101, Issue 8, pp. 1410-6, (2009) (PubMed).

Montanaro, Calienni, Ceccarelli, Santini, Taffurelli, Pileri, Treré, Derenzini: "Relationship between dyskerin expression and telomerase activity in human breast cancer." dans: Cellular oncology : the official journal of the International Society for Cellular Oncology, Vol. 30, Issue 6, pp. 483-90, (2008) (PubMed).

Yoon, Peng, Brandenburger, Brandenburg, Zollo, Xu, Rego, Ruggero: "Impaired control of IRES-mediated translation in X-linked dyskeratosis congenita." dans: Science (New York, N.Y.), Vol. 312, Issue 5775, pp. 902-6, (2006) (PubMed).

Pseudonymes pour DKC1 Anticorps

dyskerin pseudouridine synthase 1 (DKC1) Anticorps
microRNA 664b (MIR664B) Anticorps
dyskeratosis congenita 1, dyskerin (dkc1) Anticorps
dyskeratosis congenita 1, dyskerin L homeolog (dkc1.L) Anticorps
dyskeratosis congenita 1, dyskerin (Dkc1) Anticorps
dyskerin pseudouridine synthase 1 (Dkc1) Anticorps
homologue of NAP57 (NAP57) Anticorps
AtCBF5 Anticorps
AtNAP57 Anticorps
BC068171 Anticorps
CBF5 Anticorps
cbf5 Anticorps
DKC Anticorps
dkc Anticorps
DKC1 Anticorps
DKCX Anticorps
dyskerin Anticorps
fv62a07 Anticorps
homologue of NAP57 Anticorps
NAP57 Anticorps
nap57 Anticorps
Nap57 Anticorps
NOLA4 Anticorps
nola4 Anticorps
wu:fa28f10 Anticorps
wu:fc87a02 Anticorps
wu:fi24a05 Anticorps
wu:fv62a07 Anticorps
XAP101 Anticorps
xap101 Anticorps
zgc:110395 Anticorps
Vous êtes ici:
Chat with us!