Tel:
+49 (0)241 95 163 153
Fax:
+49 (0)241 95 163 155
E-Mail:
orders@anticorps-enligne.fr

HNRNPF Anticorps

(Heterogeneous Nuclear Ribonucleoprotein F (HNRNPF))

Choisissez l’un des 52 anticorps HNRNPF de notre liste de produits basés sur 2 publications et 48 images de validation.

Découvrez des anticorps HNRNPF fiables issus d’une large sélection de fabricants renommés. Notre portefeuille permet une détection précise de HNRNPF dans plusieurs espèces, y compris Human, Mouse, Rat, Cow, Monkey, Guinea Pig, Rabbit, Dog, Horse, Bat, Pig, et prend en charge diverses applications de recherche telles que WB, ELISA, IF, IF (cc), IF (p).

Trouvez rapidement l’anticorps adapté grâce à nos outils de recherche, de filtrage et de comparaison. Chaque page produit fournit des données de validation détaillées, des références bibliographiques et des retours d’utilisateurs. Contrairement aux ressources dédiées uniquement à la comparaison, vous pouvez acheter directement les anticorps sur notre site. Choisissez parmi des anticorps polyclonaux, monoclonaux ou recombinants HNRNPF, issus de différents hôtes tels que Rabbit, Mouse. Parcourez nos produits ci-dessous et commandez directement pour soutenir vos recherches en toute confiance.

Les noms alternatifs de HNRNPF sont HNRNPF, Hnrnpf.

52 Résultats

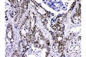
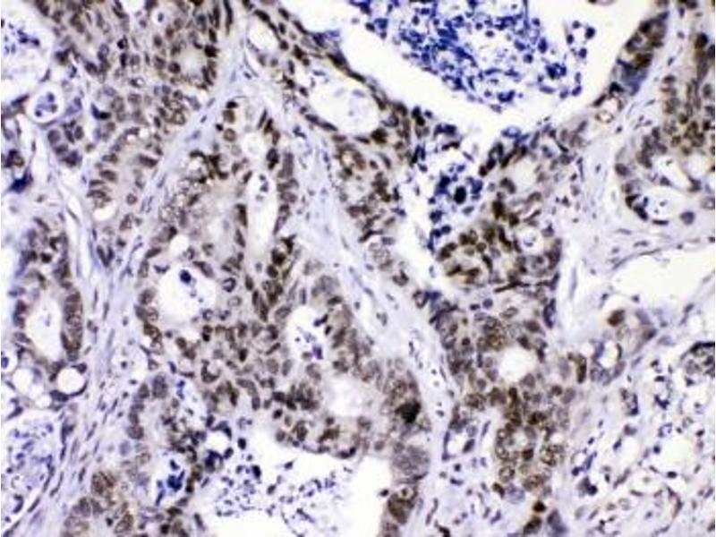
KO Validated HNRNPF Reactivité: Humain WB, IF, ICC, IHC (p), IP Hôte: Lapin Polyclonal unconjugated
N° du produit ABIN2856959
583,17 €
Plus frais de livraison 40,00 € et TVA
100 μL
Destination: France
Envoi sous 7 à 10 jours ouvrables
 
HNRNPF Reactivité: Humain, Souris, Rat WB, IF, IHC, ICC, IHC (fro), FACS Hôte: Lapin Polyclonal unconjugated
N° du produit ABIN4886622
500,50 €
Plus frais de livraison 40,00 € et TVA
100 μg
Destination: France
Envoi sous 8 à 12 jours ouvrables
 
HNRNPF Reactivité: Humain, Souris, Rat, Boeuf (Vache), Cobaye, Lapin, Chien, Cheval WB, IHC Hôte: Lapin Polyclonal unconjugated
Pubmed 1 reference
N° du produit ABIN2778920
470,22 €
Plus frais de livraison 40,00 € et TVA
100 μL (Autres quantités disponibles)
Destination: France
Envoi sous 6 à 9 jours ouvrables
 
HNRNPF Reactivité: Humain WB, ELISA Hôte: Souris Monoclonal 3H4 unconjugated
Pubmed 1 reference
N° du produit ABIN108581
764,94 €
Plus frais de livraison 40,00 € et TVA
100 μL (Autres quantités disponibles)
Destination: France
Envoi sous 6 à 8 jours ouvrables
 
KD Validated HNRNPF Reactivité: Humain WB, FACS Hôte: Souris Monoclonal 24GB6670 unconjugated
N° du produit ABIN7798897
598,92 €
Plus frais de livraison 40,00 € et TVA
100 μL
Destination: France
Envoi sous 7 à 10 jours ouvrables
 
HNRNPF Reactivité: Humain, Souris, Rat WB, ELISA, IF Hôte: Lapin Polyclonal unconjugated
N° du produit ABIN3185062
377,51 €
Plus frais de livraison 40,00 € et TVA
100 μL (Autres quantités disponibles)
Destination: France
Envoi sous 8 à 10 jours ouvrables
 
HNRNPF Reactivité: Humain, Souris, Rat WB, IHC Hôte: Lapin Polyclonal unconjugated
N° du produit ABIN629934
1.075,31 €
Plus frais de livraison 40,00 € et TVA
100 μg
Destination: France
Envoi sous 13 à 17 jours ouvrables
 
HNRNPF Reactivité: Humain WB, ELISA, IF Hôte: Lapin Polyclonal unconjugated
N° du produit ABIN7188814
218,90 €
Plus frais de livraison 40,00 € et TVA
100 μg (Autres quantités disponibles)
Destination: France
Envoi sous 11 à 15 jours ouvrables
 
HNRNPF Reactivité: Humain WB, IF Hôte: Lapin Polyclonal unconjugated
N° du produit ABIN6141909
385,00 €
Plus frais de livraison 40,00 € et TVA
100 μL (Autres quantités disponibles)
Destination: France
Envoi sous 8 à 10 jours ouvrables
 
HNRNPF Reactivité: Humain, Souris, Rat, Cobaye, Lapin, Singe WB, IHC, IHC (p) Hôte: Lapin Polyclonal unconjugated
N° du produit ABIN202472
741,67 €
Plus frais de livraison 40,00 € et TVA
100 μL
Destination: France
Envoi sous 15 à 20 jours ouvrables
 
HNRNPF Reactivité: Humain, Souris, Rat WB, ELISA, IF, IHC, ICC Hôte: Lapin Polyclonal unconjugated
N° du produit ABIN6257258
525,71 €
Plus frais de livraison 40,00 € et TVA
100 μL (Autres quantités disponibles)
Destination: France
Envoi sous 9 à 11 jours ouvrables
 
HNRNPF Reactivité: Humain WB, IF, IHC, FACS Hôte: Souris Monoclonal 5F5 unconjugated
N° du produit ABIN2722916
627,08 €
Plus frais de livraison 40,00 € et TVA
0.1 mL
Destination: France
Envoi sous 7 à 9 jours ouvrables
 
HNRNPF Reactivité: Humain, Souris, Rat, Boeuf (Vache) WB, IF, IHC (p) Hôte: Lapin Polyclonal unconjugated
N° du produit ABIN497944
895,38 €
Plus frais de livraison 40,00 € et TVA
0.1 mL
Destination: France
Envoi sous 17 jours ouvrables
 
HNRNPF Reactivité: Humain WB, ELISA Hôte: Lapin Polyclonal unconjugated
N° du produit ABIN7184463
326,70 €
Plus frais de livraison 40,00 € et TVA
100 μL
Destination: France
Envoi sous 11 à 15 jours ouvrables
 
HNRNPF Reactivité: Humain ELISA, IHC Hôte: Lapin Polyclonal unconjugated
N° du produit ABIN7155108
328,90 €
Plus frais de livraison 40,00 € et TVA
100 μg (Autres quantités disponibles)
Destination: France
Envoi sous 11 à 15 jours ouvrables
 
HNRNPF Reactivité: Humain, Souris, Rat, Boeuf (Vache), Cobaye, Lapin, Chien, Cheval, Singe, Roussette (Chauve-souris), Porc WB Hôte: Lapin Polyclonal unconjugated
N° du produit ABIN6747978
789,41 €
Plus frais de livraison 40,00 € et TVA
100 μL
Destination: France
Envoi sous 15 à 20 jours ouvrables
 
HNRNPF Reactivité: Humain, Souris, Rat WB, IHC (p) Hôte: Lapin Polyclonal unconjugated
N° du produit ABIN5647146
644,88 €
Plus frais de livraison 40,00 € et TVA
100 μg
Destination: France
Envoi sous 6 à 9 jours ouvrables
 
HNRNPF Reactivité: Humain, Souris WB, IF Hôte: Lapin Polyclonal unconjugated
N° du produit ABIN7295888
330,77 €
Plus frais de livraison 40,00 € et TVA
100 μL (Autres quantités disponibles)
Destination: France
Envoi sous 17 à 20 jours ouvrables
 
HNRNPF Reactivité: Souris, Rat WB, IF (cc), IF (p) Hôte: Lapin Polyclonal AbBy Fluor® 750
N° du produit ABIN5004783
426,37 €
Plus frais de livraison 40,00 € et TVA
100 μL
Destination: France
Envoi sous 20 à 25 jours ouvrables
 
HNRNPF Reactivité: Souris, Rat WB, IF (cc), IF (p) Hôte: Lapin Polyclonal AbBy Fluor® 680
N° du produit ABIN5004782
426,37 €
Plus frais de livraison 40,00 € et TVA
100 μL
Destination: France
Envoi sous 20 à 25 jours ouvrables
 
  • Type Primary
    • Primary
  • Application
    • Western Blotting (WB)
    • ELISA
    • Immunofluorescence (IF)
    • Immunofluorescence (Cultured Cells) (IF (cc))
    • Immunofluorescence (Paraffin-embedded Sections) (IF (p))
    • Immunohistochemistry (IHC)
    • Immunohistochemistry (Paraffin-embedded Sections) (IHC (p))
    • Immunocytochemistry (ICC)
    • Immunohistochemistry (Frozen Sections) (IHC (fro))
    • Flow Cytometry (FACS)
    • Immunochromatography (IC)
    • Immunohistochemistry (Formalin-fixed Paraffin-embedded Sections) (IHC (fp))
    • Immunoprecipitation (IP)
    • Immunofluorescence (fixed cells) (IF/ICC)
  • Réactivité
    • Human
    • Mouse
    • Rat
    • Cow
    • Monkey
    • Guinea Pig
    • Rabbit
    • Dog
    • Horse
    • Bat
    • Pig
  • Cité dans publications
  • Images disponible
  • Carrier free only
  • Hote
    • Rabbit
    • Mouse
  • Clonalité
    • Polyclonal
    • Monoclonal
  • Clone
    • 24GB6670
    • 3H4
    • 5F5
  • Epitope
    • AA 301-415
    • N-Term
    • AA 186-336
    • C-Term
    • AA 1-204
    • AA 23-53
    • AA 1-164
    • AA 1-174
    • AA 1-280
    • AA 11-60
    • AA 30-110
    • AA 328-377
    • Tyr47
  • Conjugué
    • Inconjugué
    • FITC
    • Biotin
    • HRP
    • AbBy Fluor® 350
    • AbBy Fluor® 488
    • AbBy Fluor® 555
    • AbBy Fluor® 594
    • AbBy Fluor® 647
    • AbBy Fluor® 680
    • AbBy Fluor® 750
    • Alexa Fluor 488
    • Alexa Fluor 555
    • Alexa Fluor 594
    • Alexa Fluor 647
    • Alexa Fluor 680
    • Alexa Fluor 750
    • Cy3
    • Cy5
    • Cy5.5
    • Cy7
    • PE
  • Isotype
    • IgG
    • IgG2a
    • IgG1
  • Format
    • Liquid
    • Lyophilized
  • Grade
    • KD Validated
    • KO Validated
  • Supplier
    • antibodies-online
    • Signalway
    • Abbexa
    • Acris
    • Assay Biotechnology Company, Inc.
    • Aviva Systems Biology
    • Boster Bio
    • Cohesion Biosciences
    • NSJ Bioreagents
    • OriGene
    • RayBiotech

Dernières publications pour nos HNRNPF Anticorps

White, Gonsior, Bauer, Krämer-Albers, Luhmann, Trotter: "Heterogeneous nuclear ribonucleoprotein (hnRNP) F is a novel component of oligodendroglial RNA transport granules contributing to regulation of myelin basic protein (MBP) synthesis." dans: The Journal of biological chemistry, Vol. 287, Issue 3, pp. 1742-54, (2012) (PubMed).

Song, Choi, Law, Wei, Loh: "Post-transcriptional regulation of mu-opioid receptor: role of the RNA-binding proteins heterogeneous nuclear ribonucleoprotein H1 and F." dans: Cellular and molecular life sciences : CMLS, Vol. 69, Issue 4, pp. 599-610, (2012) (PubMed).

Stark, Bram, Akerman, Mandel-Gutfreund, Assaraf: "Heterogeneous nuclear ribonucleoprotein H1/H2-dependent unsplicing of thymidine phosphorylase results in anticancer drug resistance." dans: The Journal of biological chemistry, Vol. 286, Issue 5, pp. 3741-54, (2011) (PubMed).

Matunis, Xing, Dreyfuss: "The hnRNP F protein: unique primary structure, nucleic acid-binding properties, and subcellular localization." dans: Nucleic acids research, Vol. 22, Issue 6, pp. 1059-67, (1994) (PubMed).

Pseudonymes pour HNRNPF Anticorps

heterogeneous nuclear ribonucleoprotein F (HNRNPF) Anticorps
heterogeneous nuclear ribonucleoprotein F (Hnrnpf) Anticorps
4833420I20Rik Anticorps
AA407306 Anticorps
HNRNPF Anticorps
hnRNP F Anticorps
HNRPF Anticorps
Hnrpf Anticorps
mcs94-1 Anticorps
OK/SW-cl.23 Anticorps
QtsA-10715 Anticorps
Vous êtes ici:
Chat with us!