Tel:
+49 (0)241 95 163 153
Fax:
+49 (0)241 95 163 155
E-Mail:
orders@anticorps-enligne.fr

HYAL1 Anticorps

(Hyaluronidase-1 (HYAL1))

Choisissez l’un des 71 anticorps HYAL1 de notre liste de produits basés sur 2 publications et 51 images de validation.

Découvrez des anticorps HYAL1 fiables issus d’une large sélection de fabricants renommés. Notre portefeuille permet une détection précise de HYAL1 dans plusieurs espèces, y compris Human, Mouse, Rat, Cow, Dog, Guinea Pig, Horse, Bat, Monkey, Pig, Rabbit, Gibbon, Orang-Utan, et prend en charge diverses applications de recherche telles que WB, IHC, ELISA, IF (cc), IF (p).

Trouvez rapidement l’anticorps adapté grâce à nos outils de recherche, de filtrage et de comparaison. Chaque page produit fournit des données de validation détaillées, des références bibliographiques et des retours d’utilisateurs. Contrairement aux ressources dédiées uniquement à la comparaison, vous pouvez acheter directement les anticorps sur notre site. Choisissez parmi des anticorps polyclonaux, monoclonaux ou recombinants HYAL1, issus de différents hôtes tels que Rabbit, Mouse, Goat. Parcourez nos produits ci-dessous et commandez directement pour soutenir vos recherches en toute confiance.

Les noms alternatifs de HYAL1 sont HYAL1, Hyal1.

71 Résultats

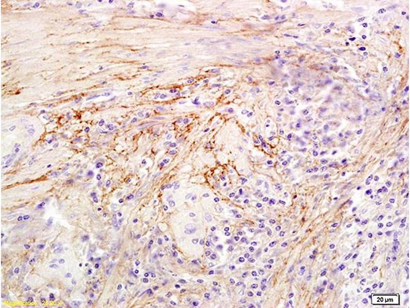
HYAL1 Reactivité: Humain, Souris, Rat, Boeuf (Vache), Chien, Cobaye, Cheval, Lapin WB, IHC Hôte: Lapin Polyclonal unconjugated
Independent Validation 1 validation
N° du produit ABIN2784342
534,11 €
Plus frais de livraison 40,00 € et TVA
100 μL (Autres quantités disponibles)
Destination: France
Envoi sous 6 à 9 jours ouvrables
Independently Validated
HYAL1 Reactivité: Humain, Souris, Rat, Boeuf (Vache), Chien, Cobaye, Cheval, Lapin WB, IHC Hôte: Lapin Polyclonal unconjugated
Independent Validation 1 validation
N° du produit ABIN2784343
534,11 €
Plus frais de livraison 40,00 € et TVA
100 μL (Autres quantités disponibles)
Destination: France
Envoi sous 6 à 9 jours ouvrables
Independently Validated
HYAL1 Reactivité: Humain, Souris, Rat WB, IHC Hôte: Lapin Polyclonal unconjugated
N° du produit ABIN7262501
449,00 €
Plus frais de livraison 40,00 € et TVA
200 μL (Autres quantités disponibles)
Destination: France
Envoi sous 9 à 13 jours ouvrables
 
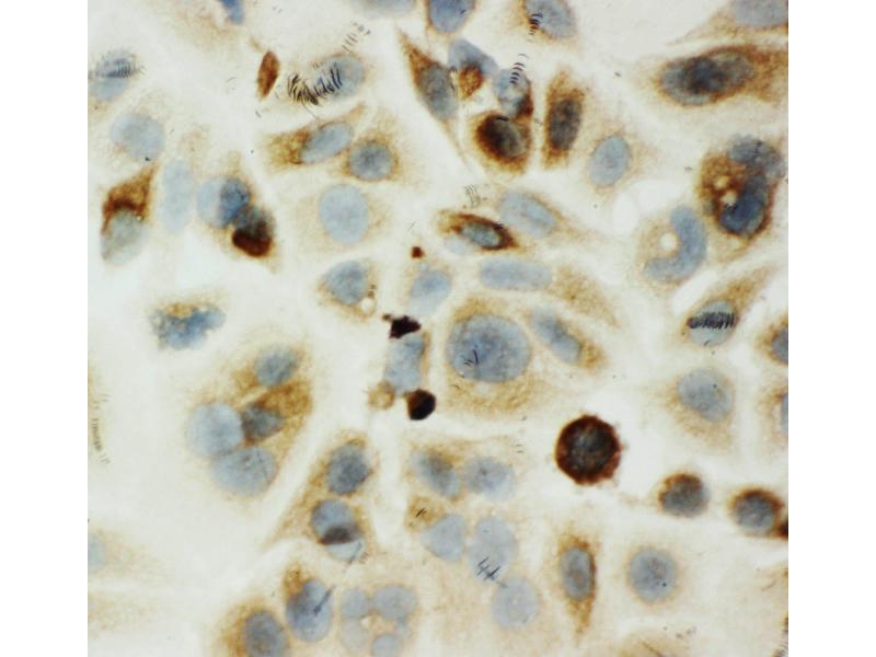
Verified HYAL1 Reactivité: Humain IHC, ELISA, IF, FACS Hôte: Chèvre Polyclonal unconjugated
N° du produit ABIN334421
488,25 €
Plus frais de livraison 40,00 € et TVA
100 μg
Destination: France
Envoi sous 5 à 8 jours ouvrables
 
HYAL1 Reactivité: Humain, Souris, Rat, Singe WB, IHC, ICC Hôte: Lapin Polyclonal unconjugated
N° du produit ABIN3043999
500,50 €
Plus frais de livraison 40,00 € et TVA
100 μg
Destination: France
Envoi sous 8 à 12 jours ouvrables
 
HYAL1 Reactivité: Humain WB Hôte: Souris Polyclonal unconjugated
Pubmed 1 reference
N° du produit ABIN516763
651,20 €
Plus frais de livraison 40,00 € et TVA
50 μg
Destination: France
Envoi sous 8 à 9 jours ouvrables
 
HYAL1 Reactivité: Humain WB, IHC, ELISA Hôte: Lapin Polyclonal unconjugated
N° du produit ABIN7155970
328,90 €
Plus frais de livraison 40,00 € et TVA
100 μL (Autres quantités disponibles)
Destination: France
Envoi sous 11 à 15 jours ouvrables
 
HYAL1 Reactivité: Humain ELISA, IP Hôte: Souris Monoclonal 2H7 unconjugated
N° du produit ABIN516765
651,20 €
Plus frais de livraison 40,00 € et TVA
100 μg
Destination: France
Envoi sous 8 à 9 jours ouvrables
 
HYAL1 Reactivité: Humain WB, ELISA Hôte: Souris Polyclonal unconjugated
Pubmed 1 reference
N° du produit ABIN516762
508,80 €
Plus frais de livraison 40,00 € et TVA
50 μL
Destination: France
Envoi sous 8 à 9 jours ouvrables
 
HYAL1 Reactivité: Humain ELISA, IF (cc), IF (p), IHC (p), IHC (fro) Hôte: Lapin Polyclonal unconjugated
N° du produit ABIN673779
357,70 €
Plus frais de livraison 40,00 € et TVA
100 μL
Destination: France
Envoi sous 8 à 12 jours ouvrables
 
HYAL1 Reactivité: Humain IHC, ELISA Hôte: Lapin Polyclonal unconjugated
N° du produit ABIN7155969
328,90 €
Plus frais de livraison 40,00 € et TVA
100 μL (Autres quantités disponibles)
Destination: France
Envoi sous 11 à 15 jours ouvrables
 
HYAL1 Reactivité: Humain, Souris, Rat, Boeuf (Vache), Porc WB Hôte: Lapin Polyclonal unconjugated
N° du produit ABIN928458
1.218,13 €
Plus frais de livraison 40,00 € et TVA
100 μL
Destination: France
Envoi sous 20 à 27 jours ouvrables
 
HYAL1 Reactivité: Humain, Souris, Rat, Boeuf (Vache), Chien, Cobaye, Cheval, Roussette (Chauve-souris) WB, IHC, IHC (p) Hôte: Lapin Polyclonal unconjugated
N° du produit ABIN490044
610,95 €
Plus frais de livraison 40,00 € et TVA
50 μg
Destination: France
Envoi sous 15 à 20 jours ouvrables
 
HYAL1 Reactivité: Souris WB, IHC, IP, ICC Hôte: Lapin Polyclonal unconjugated
N° du produit ABIN1859237
277,00 €
Plus frais de livraison 40,00 € et TVA
100 μL (Autres quantités disponibles)
Destination: France
Envoi sous 11 à 15 jours ouvrables
 
HYAL1 Reactivité: Humain WB Hôte: Lapin Polyclonal unconjugated
N° du produit ABIN516764
636,80 €
Plus frais de livraison 40,00 € et TVA
100 μg
Destination: France
Envoi sous 8 à 9 jours ouvrables
 
HYAL1 Reactivité: Humain, Boeuf (Vache), Chien, Cobaye, Singe, Porc WB Hôte: Lapin Polyclonal unconjugated
N° du produit ABIN6743572
789,41 €
Plus frais de livraison 40,00 € et TVA
100 μL
Destination: France
Envoi sous 15 à 20 jours ouvrables
 
HYAL1 Reactivité: Rat WB, IHC, IP, ICC Hôte: Lapin Polyclonal unconjugated
N° du produit ABIN1868470
293,00 €
Plus frais de livraison 40,00 € et TVA
100 μL (Autres quantités disponibles)
Destination: France
Envoi sous 11 à 15 jours ouvrables
 
HYAL1 Reactivité: Humain WB, IHC (p) Hôte: Lapin Polyclonal unconjugated
N° du produit ABIN5531377
730,13 €
Plus frais de livraison 40,00 € et TVA
400 μL
Destination: France
Envoi sous 6 à 9 jours ouvrables
 
HYAL1 Reactivité: Humain WB, IHC (p), EIA Hôte: Lapin Polyclonal unconjugated
N° du produit ABIN952807
870,77 €
Plus frais de livraison 40,00 € et TVA
0.4 mL
Destination: France
Envoi sous 17 jours ouvrables
 
HYAL1 Reactivité: Humain IF (cc), IF (p) Hôte: Lapin Polyclonal AbBy Fluor® 750
N° du produit ABIN5004979
426,37 €
Plus frais de livraison 40,00 € et TVA
100 μL
Destination: France
Envoi sous 20 à 25 jours ouvrables
 
  • Type Primary
    • Primary
  • Application
    • Western Blotting (WB)
    • Immunohistochemistry (IHC)
    • ELISA
    • Immunofluorescence (Cultured Cells) (IF (cc))
    • Immunofluorescence (Paraffin-embedded Sections) (IF (p))
    • Immunocytochemistry (ICC)
    • Immunohistochemistry (Paraffin-embedded Sections) (IHC (p))
    • Immunoprecipitation (IP)
    • Immunohistochemistry (Frozen Sections) (IHC (fro))
    • Immunofluorescence (fixed cells) (IF/ICC)
    • Immunofluorescence (IF)
    • Enzyme Immunoassay (EIA)
    • Flow Cytometry (FACS)
    • Immunochromatography (IC)
  • Réactivité
    • Human
    • Mouse
    • Rat
    • Cow
    • Dog
    • Guinea Pig
    • Horse
    • Bat
    • Monkey
    • Pig
    • Rabbit
    • Gibbon
    • Orang-Utan
  • Cité dans publications
  • Images disponible
  • Independent Validation
  • Sans conservateur uniquement
  • Carrier free only
  • Hote
    • Rabbit
    • Mouse
    • Goat
  • Clonalité
    • Polyclonal
    • Monoclonal
  • Clone
    • 2H7
  • Epitope
    • AA 271-400
    • AA 280-309
    • C-Term
    • N-Term
    • AA 1-253
    • AA 22-435
    • AA 136-435
    • AA 279-309
    • AA 32-47
    • AA 434-450
    • AA 60-159
    • AA 36-85
    • AA 40-449
    • AA 52-462
    • AA 72-121
    • Internal Region
  • Conjugué
    • Inconjugué
    • Biotin
    • FITC
    • HRP
    • APC
    • AbBy Fluor® 350
    • AbBy Fluor® 488
    • AbBy Fluor® 555
    • AbBy Fluor® 594
    • AbBy Fluor® 647
    • AbBy Fluor® 680
    • AbBy Fluor® 750
    • Alexa Fluor 488
    • Alexa Fluor 555
    • Alexa Fluor 594
    • Alexa Fluor 647
    • Alexa Fluor 680
    • Alexa Fluor 750
    • Cy3
    • Cy5
    • Cy5.5
    • Cy7
    • PE
  • Isotype
    • IgG
    • Ig Fraction
    • IgG2a
  • Format
    • Liquid
    • Lyophilized
  • Grade
    • Verified
  • Supplier
    • antibodies-online
    • Signalway
    • Abbexa
    • Cloud-Clone
    • Aviva Systems Biology
    • Boster Bio
    • USBio
    • Acris
    • Cohesion Biosciences
    • ProSci
    • ProteoGenix
    • RayBiotech

Dernières publications pour nos HYAL1 Anticorps

Panogeorgou, Tserbini, Filou, Vynios, Naxakis, Papadas, Goumas, Mastronikolis: "Hyaluronan synthases and hyaluronidases in nasal polyps." dans: European archives of oto-rhino-laryngology : official journal of the European Federation of Oto-Rhino-Laryngological Societies (EUFOS) : affiliated with the German Society for Oto-Rhino-Laryngology - Head and Neck Surgery, Vol. 273, Issue 7, pp. 1801-8, (2016) (PubMed).

Rizzardi, Rosener, Koopmeiners, Isaksson Vogel, Metzger, Forster, Marston, Tiffany, McCarthy, Turley, Warlick, Henriksen, Schmechel: "Evaluation of protein biomarkers of prostate cancer aggressiveness." dans: BMC cancer, Vol. 14, pp. 244, (2014) (PubMed).

Siiskonen, Poukka, Tyynelä-Korhonen, Sironen, Pasonen-Seppänen: "Inverse expression of hyaluronidase 2 and hyaluronan synthases 1-3 is associated with reduced hyaluronan content in malignant cutaneous melanoma." dans: BMC cancer, Vol. 13, pp. 181, (2013) (PubMed).

Papakonstantinou, Kouri, Karakiulakis, Klagas, Eickelberg: "Increased hyaluronic acid content in idiopathic pulmonary arterial hypertension." dans: The European respiratory journal, Vol. 32, Issue 6, pp. 1504-12, (2008) (PubMed).

Daginakatte, Gutmann: "Neurofibromatosis-1 (Nf1) heterozygous brain microglia elaborate paracrine factors that promote Nf1-deficient astrocyte and glioma growth." dans: Human molecular genetics, Vol. 16, Issue 9, pp. 1098-112, (2007) (PubMed).

Pseudonymes pour HYAL1 Anticorps

hyaluronoglucosaminidase 1 (HYAL1) Anticorps
hyaluronoglucosaminidase 1 (Hyal1) Anticorps
Hya1 Anticorps
HYAL-1 Anticorps
Hyal-1 Anticorps
LUCA1 Anticorps
NAT6 Anticorps
Vous êtes ici:
Chat with us!