Tel:
+49 (0)241 95 163 153
Fax:
+49 (0)241 95 163 155
E-Mail:
orders@anticorps-enligne.fr

IL-1 beta Anticorps

(Interleukin 1, beta (IL1B))

Choisissez l’un des 350 anticorps IL-1 beta de notre liste de produits basés sur 97 publications et 144 images de validation.

Découvrez des anticorps IL-1 beta fiables issus d’une large sélection de fabricants renommés. Notre portefeuille permet une détection précise de IL-1 beta dans plusieurs espèces, y compris Human, Mouse, Rat, Rabbit, Cow, Dog, Sheep, Guinea Pig, Horse, Pig, Chicken, Primate, Zebrafish (Danio rerio), Goat, Monkey, E. coli, et prend en charge diverses applications de recherche telles que WB, ELISA, IHC, IP, FACS.

Trouvez rapidement l’anticorps adapté grâce à nos outils de recherche, de filtrage et de comparaison. Chaque page produit fournit des données de validation détaillées, des références bibliographiques et des retours d’utilisateurs. Contrairement aux ressources dédiées uniquement à la comparaison, vous pouvez acheter directement les anticorps sur notre site. Choisissez parmi des anticorps polyclonaux, monoclonaux ou recombinants IL-1 beta, issus de différents hôtes tels que Rabbit, Mouse, Guinea Pig. Parcourez nos produits ci-dessous et commandez directement pour soutenir vos recherches en toute confiance.

Les noms alternatifs de IL-1 beta sont IL1B, il1b, Il1b.

350 Résultats

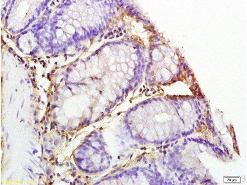
IL1B Reactivité: Humain, Souris, Rat, Lapin, Porc, Boeuf (Vache) WB, ELISA, FACS, IF (p), IHC (p), IF (cc), IHC (fro), DB Hôte: Lapin Polyclonal unconjugated
Pubmed 16 références
N° du produit ABIN728503
357,70 €
Plus frais de livraison 40,00 € et TVA
100 μL
Destination: France
Envoi sous 8 à 12 jours ouvrables
 
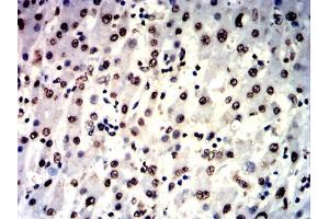
IL1B Reactivité: Humain IHC, ELISA, ICC Hôte: Souris Monoclonal 3A6 unconjugated
Pubmed 2 références
N° du produit ABIN969215
498,33 €
Plus frais de livraison 40,00 € et TVA
100 μL
Destination: France
Envoi sous 7 à 10 jours ouvrables
 
IL1B Reactivité: Humain WB, IP, ELISA, IF Hôte: Souris Monoclonal 2A8 unconjugated
Pubmed 1 reference
N° du produit ABIN516996
651,20 €
Plus frais de livraison 40,00 € et TVA
100 μg
Destination: France
Envoi sous 8 à 9 jours ouvrables
 
IL1B Reactivité: Humain, Souris, Rat, Lapin, Boeuf (Vache) WB, ELISA, IF (p), IHC (p), IF (cc), IHC (fro) Hôte: Lapin Polyclonal unconjugated
Pubmed 3 références
N° du produit ABIN872644
357,70 €
Plus frais de livraison 40,00 € et TVA
100 μL
Destination: France
Envoi sous 8 à 12 jours ouvrables
 
IL1B Reactivité: Humain ELISA, ICC, FACS Hôte: Souris Monoclonal 5C3B7 unconjugated
N° du produit ABIN7193975
498,33 €
Plus frais de livraison 40,00 € et TVA
100 μL
Destination: France
Envoi sous 7 à 10 jours ouvrables
 
IL1B Reactivité: Humain IHC, ELISA, ICC, FACS Hôte: Souris Monoclonal 6F12D5 unconjugated
N° du produit ABIN7193976
498,33 €
Plus frais de livraison 40,00 € et TVA
100 μL
Destination: France
Envoi sous 7 à 10 jours ouvrables
 
IL1B Reactivité: Humain, Souris WB, FACS, IHC (p) Hôte: Lapin Polyclonal RB21917 unconjugated
Pubmed 4 références
N° du produit ABIN652470
434,77 €
Plus frais de livraison 40,00 € et TVA
400 μL (Autres quantités disponibles)
Destination: France
Envoi sous 14 à 17 jours ouvrables
 
IL1B Reactivité: Humain WB, IF Hôte: Lapin Polyclonal unconjugated
Pubmed 7 références
N° du produit ABIN3021462
320,00 €
Plus frais de livraison 40,00 € et TVA
100 μL (Autres quantités disponibles)
Destination: France
Envoi sous 8 à 10 jours ouvrables
 
IL1B Reactivité: Mouton WB, IHC, IP, ICC Hôte: Lapin Polyclonal unconjugated
N° du produit ABIN7442414
346,86 €
Plus frais de livraison 40,00 € et TVA
100 μL (Autres quantités disponibles)
Destination: France
Envoi sous 11 à 15 jours ouvrables
 
IL1B Reactivité: Humain WB, PLA Hôte: Lapin Polyclonal unconjugated
Pubmed 1 reference
N° du produit ABIN516995
636,80 €
Plus frais de livraison 40,00 € et TVA
100 μg
Destination: France
Envoi sous 8 à 9 jours ouvrables
 
IL1B Reactivité: Humain WB, IHC, ELISA, FACS Hôte: Lapin Polyclonal unconjugated
N° du produit ABIN3031434
631,13 €
Plus frais de livraison 40,00 € et TVA
0.4 mL (Autres quantités disponibles)
Destination: France
Envoi sous 6 à 9 jours ouvrables
 
IL1B Reactivité: Humain WB, ELISA, IF Hôte: Souris Monoclonal 2E8 unconjugated
N° du produit ABIN516998
651,20 €
Plus frais de livraison 40,00 € et TVA
100 μg
Destination: France
Envoi sous 8 à 9 jours ouvrables
 
IL1B Reactivité: Humain WB, IP Hôte: Lapin Polyclonal unconjugated
N° du produit ABIN516994
636,80 €
Plus frais de livraison 40,00 € et TVA
100 μL
Destination: France
Envoi sous 8 à 9 jours ouvrables
 
Rockland 209-401-301 IL1B Reactivité: Humain WB, IHC, IP, ELISA, FACS Hôte: Lapin Polyclonal unconjugated
Pubmed 1 reference
N° du produit ABIN103012
1.598,34 €
Frais d'envoi 40,00 €, glace carbonique 20,00 € et TVA exclus
1 mg
Destination: France
Envoi sous 5 à 8 jours ouvrables
Rockland Original
Rockland 210-401-319 IL1B Reactivité: Souris WB, IHC, IP, ELISA, FACS, IF, FM Hôte: Lapin Polyclonal unconjugated
Pubmed 2 références
N° du produit ABIN964782
624,85 €
Plus frais de livraison 40,00 € et TVA
100 μg
Destination: France
Envoi sous 5 à 8 jours ouvrables
Rockland Original
IL1B Reactivité: Humain, Souris, Lapin, Chien, Cheval WB, IHC Hôte: Lapin Polyclonal unconjugated
Pubmed 2 références
N° du produit ABIN5326748
534,11 €
Plus frais de livraison 40,00 € et TVA
100 μL (Autres quantités disponibles)
Destination: France
Envoi sous 6 à 9 jours ouvrables
 
IL1B Reactivité: Humain WB Hôte: Souris Monoclonal 614CT4-3-1 unconjugated
Pubmed 1 reference
N° du produit ABIN1537701
434,77 €
Plus frais de livraison 40,00 € et TVA
0.1 mL
Destination: France
Envoi sous 14 à 17 jours ouvrables
 
IL1B Reactivité: Chien WB, IHC, IP, ICC Hôte: Lapin Polyclonal unconjugated
N° du produit ABIN7432046
263,88 €
Plus frais de livraison 40,00 € et TVA
100 μL (Autres quantités disponibles)
Destination: France
Envoi sous 11 à 15 jours ouvrables
 
IL1B Reactivité: Chien WB, IHC, IP, ICC Hôte: Souris Monoclonal C8 unconjugated
N° du produit ABIN7427393
330,65 €
Plus frais de livraison 40,00 € et TVA
100 μL (Autres quantités disponibles)
Destination: France
Envoi sous 11 à 15 jours ouvrables
 
IL1B Reactivité: Humain WB, ELISA Hôte: Souris Monoclonal 1G8 unconjugated
N° du produit ABIN516997
651,20 €
Plus frais de livraison 40,00 € et TVA
100 μg
Destination: France
Envoi sous 8 à 9 jours ouvrables
 
  • Type Primary
    • Primary
  • Application
    • Western Blotting (WB)
    • ELISA
    • Immunohistochemistry (IHC)
    • Immunoprecipitation (IP)
    • Flow Cytometry (FACS)
    • Immunocytochemistry (ICC)
    • Immunofluorescence (Paraffin-embedded Sections) (IF (p))
    • Neutralization (Neut)
    • Immunofluorescence (IF)
    • Immunofluorescence (Cultured Cells) (IF (cc))
    • Enzyme Immunoassay (EIA)
    • Immunofluorescence (fixed cells) (IF/ICC)
    • Immunohistochemistry (Paraffin-embedded Sections) (IHC (p))
    • Functional Studies (Func)
    • Immunohistochemistry (Frozen Sections) (IHC (fro))
    • Dot Blot (DB)
    • ELISpot
    • Radioimmunoassay (RIA)
    • Immunochromatography (IC)
    • Immunohistochemistry (Formalin-fixed Sections) (IHC (f))
    • Coating (Coat)
    • Blocking Antibody (Inhibition)
    • Electrophoresis (EP)
    • Immunolocalization (IL)
    • Cellular Assay (CA)
    • ELISA (Capture)
    • Fluorescence Microscopy (FM)
    • Immunoassay (IA)
    • Immunostaining (ISt)
    • Intracellular Flow Cytometry (ICFC)
    • Proximity Ligation Assay (PLA)
    • Surface Plasmon Resonance (SPR)
    • Bio-Layer Interferometry (BLI)
  • Réactivité
    • Human
    • Mouse
    • Rat
    • Rabbit
    • Cow
    • Dog
    • Sheep
    • Guinea Pig
    • Horse
    • Pig
    • Chicken
    • Primate
    • Zebrafish (Danio rerio)
    • Goat
    • Monkey
    • E. coli
  • Cité dans publications
  • Images disponible
  • Sans conservateur uniquement
  • Carrier free only
  • Hote
    • Rabbit
    • Mouse
    • Guinea Pig
    • Human
    • Goat
    • Rat
    • Hamster
    • Armenian Hamster
    • Sheep
  • Clonalité
    • Polyclonal
    • Monoclonal
    • Chimeric
  • Clone
    • CRM56
    • B122
    • SAA0368
    • SAA0369
    • B-A15
    • C8
    • JK1B-1
    • 1E6
    • 3A6
    • 6E4
    • C2
    • C3
    • CDP484
    • DMC271
    • H1b-98
    • JK1B-2
    • 11n92
    • 13F215
    • 1400-24
    • 1D4
    • 1G8
    • 1T3
    • 28I10
    • 2A8
    • 2E8
    • 3H2506
    • 4C1
    • 5C10
    • 5C3B7
    • 614CT4-3-1
    • 6F12D5
    • 7P10
    • 8B25
    • A7
    • AFB20123
    • B-B53
    • C1
    • C10
    • C13
    • C7
    • CRM57
    • D1
    • D11
    • D4
    • D6
    • DF8
    • DLX2323
    • GT289
    • ID4
    • LY2189102
    Please use search to find more...
  • Epitope
    • AA 117-269
    • AA 118-269
    • AA 161-269
    • AA 181-269
    • AA 120-170
    • AA 118-268
    • AA 117-268
    • AA 1-269
    • AA 148-174
    • Center
    • C-Term
    • AA 114-266
    • AA 115-266
    • AA 119-268
    • AA 249-269
    • AA 63-247
    • AA 170-269
    • AA 95-262
    • Internal Region
    • AA 1-266
    • AA 103-260
    • AA 104-261
    • AA 109-251
    • AA 154-183
    • AA 211-225
    • AA 249-263
    • Cleaved-Asp210
    • N-Term
    • AA 1-273
    • AA 1-284
    • AA 101-200
    • AA 110-263
    • AA 113-162
    • AA 116-268
    • AA 13-242
    • AA 161-210
    • AA 181-230
    • AA 192-241
    • AA 199-214
    • AA 250-265
    • AA 38-87
  • Conjugué
    • Inconjugué
    • Biotin
    • FITC
    • APC
    • HRP
    • PE
    • Alexa Fluor 647
    • Magnetic Particles
    • PerCP
    • Sepharose
    • AbBy Fluor® 350
    • AbBy Fluor® 488
    • AbBy Fluor® 555
    • AbBy Fluor® 594
    • AbBy Fluor® 647
    • Alexa Fluor 488
    • Alexa Fluor 555
    • Alexa Fluor 594
    • Alexa Fluor 680
    • Alexa Fluor 750
    • Cy3
    • Cy5
    • Cy5.5
    • Cy7
    • AbBy Fluor® 680
    • AbBy Fluor® 750
    • Alexa Fluor 350
    • Alexa Fluor 405
    • Elab Fluor®647
    • PE-Cy5
    • PE-Cy7
    • PE-Elab Fluor®594
    • Pacific Blue
  • Isotype
    • IgG
    • IgG1
    • kappa
    • IgG2a
    • IgG2b
    • IgG2b kappa
    • IgG1 kappa
    • IgG2a kappa
    • Ig Fraction
    • IgG lambda
    • IgG2
    • IgM
  • Type Proteine
    • Recombinant Antibody
  • Format
    • Liquid
    • Lyophilized
  • Fragment
    • Fc fragment
  • Grade
    • Verified
  • Supplier
    • antibodies-online
    • Signalway
    • USBio
    • Abbexa
    • ProteoGenix
    • Assaypro
    • Biomatik
    • Acris
    • BioLegend
    • Boster Bio
    • Rockland
    • Cohesion Biosciences
    • Angio-Proteomie
    • RayBiotech
    • Assay Biotechnology Company, Inc.
    • CUSABIO
    • Cloud-Clone
    • BD Biosciences
    • Elabscience
    • ProSci
    • Aviva Systems Biology
    • Enogene Biotech
    • Hytest
    • ITSI-Biosciences
    • NSJ Bioreagents

Dernières publications pour nos IL-1 beta Anticorps

Lv, Liu, Ye, Yang, Duan, Yao, Li, Tang, Chen, Liu, Deng, Wang, Xing, Liang, Xu, Ye: "XIST Inhibition Attenuates Calcium Oxalate Nephrocalcinosis-Induced Renal Inflammation and Oxidative Injury via the miR-223/NLRP3 Pathway." dans: Oxidative medicine and cellular longevity, Vol. 2021, pp. 1676152, (2022) (PubMed).

An, Zhang, Cao, Chen, Qin, Yang: "Punicalagin Protects Diabetic Nephropathy by Inhibiting Pyroptosis Based on TXNIP/NLRP3 Pathway." dans: Nutrients, Vol. 12, Issue 5, (2021) (PubMed).

Guo, Qin, Cao, Yang, Dai, Wang, Wang: "Regulation of the Immune Microenvironment by an NLRP3 Inhibitor Contributes to Attenuation of Acute Right Ventricular Failure in Rats with Pulmonary Arterial Hypertension." dans: Journal of inflammation research, Vol. 14, pp. 5699-5711, (2021) (PubMed).

Li, Sun, Luo, Wang, Cui, Yao, Xiong, He, Qian, Fan: "Quercetin Attenuates Trauma-Induced Heterotopic Ossification by Tuning Immune Cell Infiltration and Related Inflammatory Insult." dans: Frontiers in immunology, Vol. 12, pp. 649285, (2021) (PubMed).

Hu, Ren, Hong, Wang, Zheng, Ren, Chen, Liu, Wang, Gu, Wu, Ren: "Early Enteral Nutrition Preserves Intestinal Barrier Function through Reducing the Formation of Neutrophil Extracellular Traps (NETs) in Critically Ill Surgical Patients." dans: Oxidative medicine and cellular longevity, Vol. 2020, pp. 8815655, (2021) (PubMed).

Zhou, Xiao, Zhao, Tan, Long, Yu, He: "Enhanced Autolysosomal Function Ameliorates the Inflammatory Response Mediated by the NLRP3 Inflammasome in Alzheimer's Disease." dans: Frontiers in aging neuroscience, Vol. 13, pp. 629891, (2021) (PubMed).

He, Li, Xie, Zhao: "Long-term inhibition of dipeptidyl-peptidase 4 reduces islet infiltration and downregulates IL-1β and IL-12 in NOD mice." dans: International immunopharmacology, Vol. 88, pp. 106945, (2021) (PubMed).

Pilipović, Stojić-Vukanić, Prijić, Jasnić, Leposavić: "Propranolol diminished severity of rat EAE by enhancing immunoregulatory/protective properties of spinal cord microglia." dans: Neurobiology of disease, Vol. 134, pp. 104665, (2020) (PubMed).

Rawji, Young, Ghosh, Michaels, Mirzaei, Kappen, Kolehmainen, Alaeiilkhchi, Lozinski, Mishra, Pu, Tang, Zein, Kaushik, Keough, Plemel, Calvert, Knights, Gaffney, Tetzlaff, Franklin, Yong: "Niacin-mediated rejuvenation of macrophage/microglia enhances remyelination of the aging central nervous system." dans: Acta neuropathologica, Vol. 139, Issue 5, pp. 893-909, (2020) (PubMed).

Do, Guran, Jarosova, Ondrackova, Sladek, Faldyna, Adam, Zitka: "MALDI MSI Reveals the Spatial Distribution of Protein Markers in Tracheobronchial Lymph Nodes and Lung of Pigs after Respiratory Infection." dans: Molecules (Basel, Switzerland), Vol. 25, Issue 23, (2020) (PubMed).

Pseudonymes pour IL-1 beta Anticorps

interleukin 1 beta (IL1B) Anticorps
interleukin 1, beta (IL1B) Anticorps
interleukin 1, beta (il1b) Anticorps
interleukin 1 beta (Il1b) Anticorps
IL-1 Anticorps
IL-1 beta Anticorps
IL-1B Anticorps
Il-1b Anticorps
IL-1b Anticorps
IL-1BETA Anticorps
IL-1beta Anticorps
il1-b Anticorps
IL1-BETA Anticorps
IL1B Anticorps
IL1beta Anticorps
IL1F2 Anticorps
zgc:111873 Anticorps
Vous êtes ici:
Chat with us!